肺消融治疗并发症【Rose SC 2009, Steinke K 2003 Hiraki T 2006, Okuma T 2007】 轻度并发症,较常见
严重并发症
2007-2011 美国国家住院病人【Welch B 2015】
日本1000例 射频消融肺癌的严重并发症 9.8%【Kashima M 2011】
神经损伤 肺消融后潜在损伤的胸腔主要神经结构
1. 膈下神经(phrenic nerve):下叶肺肿瘤消融损伤危险 2. 迷走神经(vagus nerve) 3. 左喉返神经(left recurrent nerve) 4. 交感神经(sympathetic nerve)(下叶肺消融损伤危险)
神经损伤保护措施
Palussière J1, Canella M, Cornelis F, Catena V, Descat E, Brouste V, Montaudon M.Retrospective review of thoracic neural damage during lung ablation - what the interventional radiologist needs to know about neural thoracic anatomy Cardiovasc Intervent Radiol. 2013 Dec;36(6):1602-13.
.
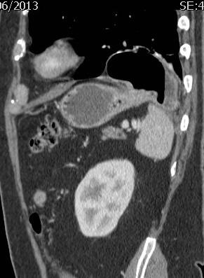
膈疝 电极通过膈肌,会有问题吗?
第三个月,在相应的膈肌部位发生变化
第九个月
胃疝出至胸腔内
膈疝2 右下肺结直肠癌转移,射频消融1年后。
膈疝(Diaphragmatic hernia)发生率<3%。主要危险因素包括,电极穿透膈肌,接触到膈肌的中间部分【5】。减少危险的方法,进行气胸、CO2、球囊间隔【6】或人工腹水(肝上部分肿瘤)【7】。 The central portion of the diaphragm
还不能定论的是采用冷冻治疗是否能够更多地保存胶原和纤维结构。 心脏或主动脉损伤 换句话说如果临近心脏或主动脉脉,射频消融是安全的吗?
«Radiofrequency ablation of lung tumors close to the heart or aorta was safely performed » 【8】
« Pulmonary radiofrequency ablation next to the heart is a relatively safe procedure. Major concern is that incomplete tumor ablation adjacent to the heart is probable as a result of the cooling effect of the circulating blood » 【9】
1. Rose SC et al., 2009, J Vasc Interv Radiol 2. Steinke K et al., 2003 J Comput Assist Tomogr 3. Hiraki T et al., 2006, Radiology 4. Okuma T et al., 2007, Cardiovasc Intervent Radiol 5. Alberti N,et al . Diaphragmatic Hernia After Lung Percutaneous Radiofrequency Ablation: Incidence and RiskFactors. Cardiovasc Intervent Radiol. 2014 Feb 12 6. Knuttinen MG, et al. Unintended thermal injuries from RFA: organ protection with an angioplasty balloon catheter in an animal model. J Clin Imaging Sci. 2014 Jan 30;4:1. 7, Kim YS, et al RFA of the liver in a rabbit model: creation of artificial ascites to minimize collateral thermal injury to the diaphragm and stomach. JVIR. 2006 Mar;17(3):541-7 8. Iguchi JVIR 2007, 9. Steinke K Surg Res. Oct 2003 |




































