| 影像学对于肝癌的首要角色是发现病变,影像学的难点之一就是你可能发现不了病变。主要集中在小病变。尽量发现小病变主要依赖对危险人群的筛查,包括乙肝或丙肝病人,肝硬化病人,NAFILD,肥胖,肝腺瘤...。 小肝癌发现的意义?  上图可以看出,小肝癌意味着根治,5年生存率在50-75%,治愈性治疗达30%。文献报道的病例分析中,关于小肝癌的定义没有一个统一的标准,关于肿瘤的大小,主要有<2CM,<3CM,<5CM这几个标准,但也有少数是<3.5CM及<4.5CM的标准。 所谓发现病变,指肝脏有无病变和病变的定位。涉及影像学对肝癌诊断的敏感性。 而敏感性的定义  现代影像学究竟在多大程度上发现小肝癌,换句话说就是影像学发现小肝癌的敏感性是多少? 
 关于肝癌筛查,有一些非随机和发现性研究,但缺少随机对照研究。尽管病人顺应性低(60%),肝癌相关死亡率在筛查组显著降低【4】。 
	        Maluf 等人报告,肝移植被切除肝脏病理检查所示,术前被影像学检查丢失的HCC占36.4%【1】。即使用最现代的多排CT技术,并且采用精细的多期影像采集方式丢掉肝癌的几率仍为11%【2】。<2cm 结节,MRI的敏感性下降到85%,达到确诊的仅有62%的病例【3】。 
	       早期肝癌的诊断,还面临着发现难,需要改进诊断技术,或需要在细胞、分子甚至基因水平重新定义高危人群,或改变筛查程序(3个月?)。 对于肝硬化患者,早期诊断肝癌主要依赖定期筛查和随访。出现小的结节时应该和肝硬化其它结节鉴别。 
 
	        而对于非肝硬化患者,乙肝,其它慢性肝脏疾病,如Budd-Chiari,FAFLD,肝腺瘤恶性变,甚至正常肝脏都可能发生肝癌。 
 1. 第一个主要的特征:多血管性 
 
 在影像上的表现是动脉期增强 
 增强CT扫描,在动脉后期显示的增强病变应该考虑肝癌的可能性,虽然和造影剂注射速率、造影剂浓度和早期肝癌发现有关。敏感性高,而特异性差。 
 
 2. 第二个主要特点是 wash-out (清除) 
 
 
 在过去CT发现小肝癌的能力会略低: 
	CT发现早期肝癌的敏感性为56%(Takayasu K et al.  Am J Roentgenol 1995;164:885-890) 
	CTHA发现早期肝癌的敏感性为55%(Takayasu K, et al. Radiology 1995;194:101-105) 
	CTAP发现早期肝癌的敏感性为66%(Takayasu K et al. Intervirology 2004;47:199-208) 3. 医学影像学如何诊断不典型的肝癌 
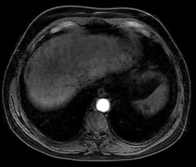
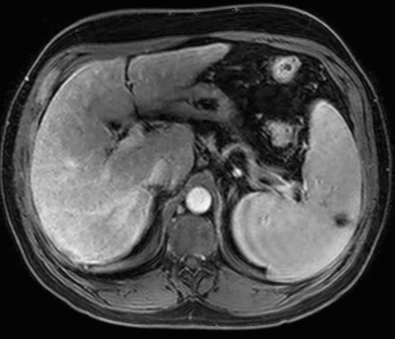
 磁共振肝癌的特征 
 Intra-lesional fat 
 
 
 2011年美国放射学会(the American college of radiology,ACR)发布了肝脏影像报告与数据管理系统(Liver Imaging Reporting and Data System,LI-RADS)。旨在标准化肝脏病变影像征象描述和诊断报告,减少影像报告的多样性,增加影像与临床科室之间的沟通,利于临床制订治疗方案、评估疗效和协作研究等。 LI-RADS(1.0)根据CT、MRI 影像学征象提示病变为HCC 的可能性大小,将肝脏病变分为5级:LR1(肯定为良性),LR2(可能为良性),LR3(可疑HCC),LR4(可能为HCC)和LR5(肯定为HCC)。 肝细胞特异性造影剂(Hepatobiliary contrast MR agents):Hypointensity on hepatospecific phase using Gd-EOB-DTPA【5,6】 
 Hepatobiliary contrast MR agents 
 Hepatobiliary contrast MR agents 
 
	How specific are the additional findings for diagnosing HCC? 
 如何处理倾向肝癌特征的病变? 根据大小、位置和恶性的可能(likelihood of malignancy),(1)治疗病变;(2)等待和观察;(3)影像引导活检,第一次活检无结论的可考虑第二次活检。 结论: 1. 当病变为多血管,造影剂快进和快出(wash-out),影像学足以诊断肝癌 2. 影像学 辅助发现(ancillary finding)或可增加或减少肝癌的可能;其中磁共振肝细胞特异性造影剂扮演重要角色 3. 不典型病变,可考虑活检 1. D. Maluf, R. A. Fisher, T. Maroney, A. Cotterell, A. Fulcher, J. Tisnado, M. Contos, V. Luketic, R. Stravitz, M. Shiffman, R. Sterling, M. Posner. Non-Resective Ablation and Liver Transplantation in Patients with Cirrhosis and Hepatocellular Carcinoma (HCC): Safety and Efficacy. American Journal of Transplantation Volume 3, Issue 3, pages 312–317, March 2003 2. . Luca A, Caruso S, Milazzo M, Mamone G, Marrone G, Miraglia R, et al. Multidetector-row computed tomography (MDCT) for the diagnosis of hepatocellular carcinoma in cirrhotic candidates for liver transplantation: prevalence of radiological vascular patterns and histological correlation with liver explants. European radiology. 2010;20(4):898-907. 3. Forner A, Vilana R, Ayuso C, Bianchi L, Sole M, Ayuso JR, et al. Diagnosis of hepatic nodules 20 mm or smaller in cirrhosis: Prospective validation of the noninvasive diagnostic criteria for hepatocellular carcinoma. Hepatology. 2008;47(1):97-104. 4. J Cancer Res Clin Oncol2004; 130: 417–422 5. Van Beers, J Hepatol 2012; 6. Golfieri Eur Radiol 2011; Sano Radiology 2011 | ||||||||||||||||||||||||||||||||||||||||||||||||||||||||||||||||||||||||||||||||||||||||||||||||||||||||||||||||||||||||||||||||||||

 
        
      


























































