脾钝性创伤分检(triage)最重要的是主要影像学特征评估。,这是因为传统损伤分级系统受到限制。 了解目前脾损伤分级的改进是为了提示病人的处理,此类病人的影像学精确的评估使其从介入放射学处理过程中获益。 脾是腹部钝性损伤最常见的受损器官。早期CT诊断和分检(triage)是优化治疗方案所必须的。CT动脉期和延迟期表现是创伤后诊断脾损伤的金标准。历史上,美国创伤协会(American Association for the Surgery of Trauma(AAST)分级系统一直以来用于外伤的分类和指导进一步治疗。 众所周知这一外伤分级系统对非手术处理的结果的预测云泥之差,因此AAST在外伤分拣上是不可靠的【1】。 AmericanAssociation for the Surgery of Trauma (AAST) Classification of Splenic Injury
Marmery 和 Shanmuganathan 已经描述了新的CT分级系统可以更精确地发现,哪些病人需要进一步干预,而哪些病人更需要保守的治疗【2】。而在以前,由于担心保守治疗的失败,往往积极地鼓励立即外科探查。在过去的10年,血管造影及经导管脾动脉栓塞越来越受到欢迎【7】,拥护者认为,介入治疗可以增加脾拯救的机会,避免开腹探查和脾切除的风险【1,3,4】。 Thompson等人建议设定基于分级标准的CT标准【15】,包括脾血流被阻断或脾实质撕裂超过50%(AAST III-V)、静脉增强CT有活跃造影剂外溢,假性动脉瘤形成以及大的腹腔出血(hemoperitoneum)。 非手术治疗失败率(J Trauma 2000; 49:177-87)
CT检查方法 双团注剂量提供同时发生的(synchronous)动脉和静脉期影像 CT 表现 影像学表现:脾创伤CT的“陷阱”,脾正常动脉后期的表现-先天裂(congenital cleft)-可以被误解为损伤
延迟脾破裂(Delayed Splenic Rupture,DSR) DSR 的存在被认为是痛觉缺失(analgesia)后血管松弛和再水化(rehydration)相关,其导致创伤初期保守治疗的病人48~72小时再出血
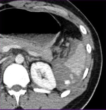
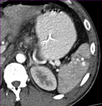
脾创伤的CT特征和非手术治疗的失败率增加有关,决定这类病人是否需要紧急的血管造影或栓塞,甚至是外科手术【3】。其中最重要的两条是活动性出血的象征,造影剂外溢和脾血管损伤的证据如假性动脉瘤、损伤后动静脉瘘。 造影剂外溢 造影剂外溢的表现:不规则和线样造影剂外溢出现在脾实质或包膜下间隙。
脾血管损伤:假性动脉瘤,外伤后动静脉瘘。在动脉期很难和活动性出血鉴别,但延时期会消失(wash-out)。
栓塞适应症(依据CT发现)
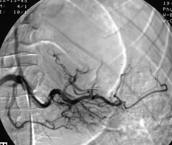
对于不稳定的病人,外科手术的策略是脾切除(splenectomy)或脾修补术(splenorrhaphy)。但究竟不稳定的病人应该直接去手术室,还是导管室?特别是符合伤,或尚不能决定出血的来源患者。对于稳定的病人非手术治疗的策略应该是卧床休息、观察、CT,和明确脾损伤的情况下酌情栓塞。 决定者还要考虑的是附带损伤(collateral damage)如肠道损伤,胰腺损伤等。诊断性腹腔灌洗(diagnostic perito-neal lavage,DPL)和各种稳定病人措施。是否在黄金时间快速进入导管室,还是有争论的问题。另一个需要关心的病人是非出血病人的延迟出血(later bleeding)。可能对NOM有效的病人,初始与临床表现相一致的CT表现(Shanmuganathan et al Radiology 217:75, 2000;Davis et al J Trauma 44:1008, 1998;Bee et al J Trauma 50:230, 2001)并不意味着日后不出血,24小时-72小时重复CT扫描,血管损伤可能并不是最初的表现。 ![]() 172例有CT证据的脾损伤,150例为稳定患者进行了非手术处理(NOM);60例弹簧栓子栓塞患者中56例获得成功(Sclafaniet al J Trauma 39:818, 1995)。 栓塞技术 根据栓塞水平,有两种主要的脾动脉栓塞技术【5】。近端脾动脉栓塞技术和超选择远端脾动脉栓塞技术。 (1)近端脾动脉栓塞技术
Desoud 等人(Besoud, Denys Eur Radiol 2003)曾利用0.014英寸压力导丝测定脾近端栓塞后,弹簧栓子远端脾动脉压力,结果如下:
病例1:近端脾动脉栓塞
病例2
病例3
病例4:近端脾栓塞后胰腺侧支循环形成
13例钝性创伤,近端脾动脉栓塞术,远端到胰背动脉,近端到胰大动脉,阻塞过程需要10分钟,3例外加弹簧栓子。1例后来进行脾切除,其它脾保留(Widlus et al. JVIR 2008)
(2)超选择远端栓塞
钝性脾外伤主要关注是非手术处理,介入和脾拯救,而不是开腹探查和脾切除。理想化治疗和减少开腹手术,适合非手术治疗脾外伤病人的发现是非常重要的;发现血管损伤和活动性出血可考虑进行血管栓塞。脾外伤栓塞后脾拯救率77~97%。 尽管脾动脉栓塞技术精确的适应症还有争论,但是CT评估和临床特征应该可以发现持续出血的病人。近端脾动脉栓塞和远端超选择脾动脉分支的栓塞脾拯救和栓塞后并发症的结果相似。一旦有可能弹簧栓子释放到胰大动脉开口以远的脾动脉【11~14】。
Success of non-surgical mgmt with SAE:(86-97%)
并发症【17】 轻度并发症23%,严重并发症19%。 脾梗死是最常见的严重并发症,脾脓肿或导致败血症少见,弹簧栓子移位罕见。其它包括胰腺炎、疼痛(栓塞后综合症)以及治疗失败。 结果【17】
脾动脉栓塞改善了80%的IV-V级脾损伤,脾拯救率达87%【16】
1. van der Vlies CH, van Delden OM, Punt BJ, Ponsen KJ, Reekers JA, Goslings JC. Literature review of the role of ultrasound, computed tomography, and transcatheter arterial embolization for the treatment of traumatic splenic injuries. Cardiovasc Intervent Radiol. 2010 Dec;33(6):1079-87. 2. Marmery H1, Shanmuganathan K, Alexander MT, Mirvis SE. Optimization of selection for nonoperative management of blunt splenic injury: comparison of MDCT grading systems. AJR Am J Roentgenol. 2007 Dec;189(6):1421-7. 3. Haan JM, Biffl W, Knudson MM, Davis KA, Oka T, Majercik S, Dicker R, Marder S, Scalea TM; Western Trauma Association Multi-Institutional Trials Committee. Splenic embolization revisited: a multicenter review. J Trauma. 2004 Mar;56(3):542-7. 4. Sclafani SJ, Shaftan GW, Scalea TM, Patterson LA, Kohl L, Kantor A, Herskowitz MM, Hoffer EK, Henry S, Dresner LS, et al Nonoperative salvage of computed tomography-diagnosed splenic injuries: utilization of angiography for triage and embolization for hemostasis.
J Trauma. 1995 Nov;39(5):818-25; discussion 826-7..
6. Killeen KL, Shanmuganathan K, Boyd-Kranis R, Scalea TM, Mirvis SE. CT findings after embolization for blunt splenic trauma.J Vasc Interv Radiol. 2001 Feb;12(2):209-14.
7. National Confidential Enquiry into Patient Outcome and Death (NCEPOD) Trauma: Who Cares? 8. Cooney R et al, Limitations of splenic angioembolisation in treating blunt splenic injury. J Trauma 2005 Oct;59(4):926-32 discussion 9324.Bessoud et al Nonoperative management of traumatic splenic injuries: is there a role for proximal splenic artery embolisation? AJR 2006 March;186(3):779-85 9. Wu et al Early selective angioembolisation improves success of non operative management of blunt splenic trauma Am Surg 2007 Sep;73(9):897-902 10. Brugere et al J Chir (Paris) Early embolisation in the non operative management of blunt splenic injuries: a retrospective multicenter study. 2008 March-Apr;145(2):126-32 11. Brugere et al J Chir (Paris) Early embolisation in the non operative management of blunt splenic injuries: a retrospective multicenter study. 2008 March-Apr;145(2):126-32 13. Hann JM, Biffl W, Knudson MM, Davis KA, Oka T, Majercik S, Dicker R, Marder S, Scalea TM. Splennic embolisation revisited: a multicenter review J Trauma 2004 March; 56 (3): 542-7 14.Bessoud et al Nonoperative management of traumatic splenic injuries: is there a role for proximal splenic artery embolisation? AJR 2006 March;186(3):779-85 15. Thompson et al. Novel computed tomography scan scoring system predicts the need for intervention after splenic injury
J Trauma 2006; 60: 1083-1986
16. Splenic Embolization Revisited: A Multicenter Review The Journal of Trauma 2004; 56: 542-547 17. J. Can Chir Vol 51 no 6:2008 December
|















































