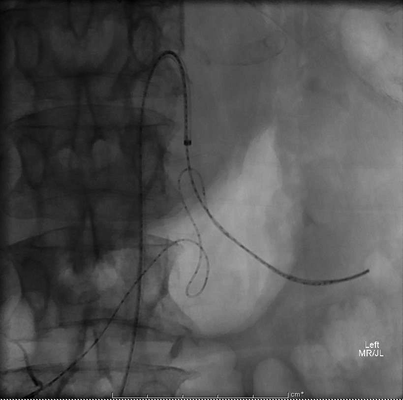
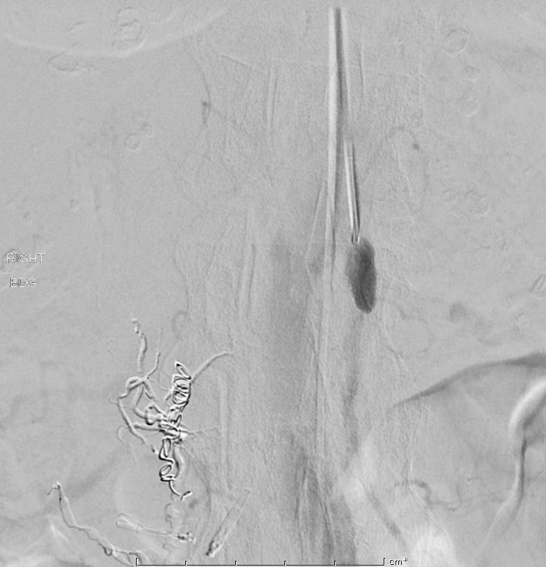
| 非食道静脉曲张消化道出血的血管内治疗围手术期相关并发症发生率大约在10%左右,包括血管造影相关并发症、血管收缩剂使用相关并发症和栓塞相关并发症和死亡。临床相关的患者基本条件如年龄和伴发疾病与围手术期相关并发症强烈相关;而操作相关围手术期并发症包括与临床结果无关的并发症和急性肠缺血并发症(<5%)。 1. 血管造影相关并发症 (1)穿刺部位相关并发症 ( Puncture site complications ) (2)CIN -造影剂肾病(Contrast-induced nephropathy:此病人人群较高 (3)其它全身并发症:心肌缺血、败血症和过敏反应 2. 血管收缩剂使用相关并发症:心律失常、血栓,心肌缺血,体液潴留(fluid retension) 3. 栓塞相关并发症[6,8] (1)肠道缺血(Bowel ischemia )/梗死:发生率0-4%;下消化道出血>上消化道出血;微粒>明胶海绵颗粒>弹簧栓子;缺血性改变大多数是自限性的。肠梗塞[5] :9%。 (2)意外栓塞:(?%)但罕见 女,74岁 多种疾病和间歇性消化道出血,红细胞标记扫描出血部位被定位在右下腹,回场末段或升结肠。早先血管造影和内视镜为阴性。两天后再次大出血。
(3)弹簧栓子释放位置不良或移位(1-3%)。
预防推式弹簧栓子释放时位置不良可选择正确直径大小或使用可脱微弹簧栓子。 (4)痉挛/夹层(2%)
(5)导管相关血栓形成(罕见) 4. 再出血 出血部位血管丰富(abundant vascular supply),缺血并发症的几率低,但潜在持续性或复发出血的几率高。上消化道出血栓塞后的再出血率为27% [1-3]。而外科术后消化道出血的再发生率也是27%。栓塞后30天再出血率为23%-45%,特别是经验性栓塞(血管造影并没有发现出血源)。上消化道出血栓塞后再出血的预测因子,临床相关最强因子是凝血障碍,操作相关的最强因子是单独使用弹簧栓子[6]。 Loffroy 等人曾综合复习了消化道出血栓塞相关并发症之再出血
反复栓塞仍然间歇性出血。 5. 死亡[6,7] (1)30天死亡率9%-31% (2)相关操作死亡率<5%
结论:血管内治疗消化道出血的并发症有多种,但发生率少见。也是可预防和处理的。
1. Ripoll C, Banares R, Beceiro I, et al. Comparison of transcatheter arterial embolisation and surgery for treatment of bleeding peptic ulcer after endoscopic treatment failure. J Vasc Interv Radiol 2004;15:
2. Defreyne L, De Schrijver I, Decruyenaere J, et al. Therapeutic decisionmaking in endoscopically unmanageable nonvariceal upper gastrointestinal hemorrhage. Cardiovasc Intervent Radiol 2008;31:897-905. 3. Eriksson LG, Ljungdahl M, Sundbom M, et al. Transcatheter arterial embolisation versus surgery in the treatment of upper gastrointestinal
bleeding after therapeutic endoscopy failure. J Vasc Interv Radiol 2008; 19:1413-8
4. S. Mirsadraee , P. Tirukonda , A. Nicholson , S.M. Everett , S.J. McPherson Embolization for non-variceal upper gastrointestinal tract haemorrhage: A systematic review. clinical Radiology 2011 Jun;66(6):500-9. 5. Lang EK. Transcatheter embolisation in management of hemorrhage from duodenal ulcer: long-term results and complications. Radiology 1992 1992 Mar;182(3):703-7. 6. Yap FY, Omene BO, Patel MN, Yohannan T, Minocha J, Knuttinen MG, Owens CA, Bui JT, Gaba RC. Transcatheter embolotherapy for gastrointestinal bleeding: a single center review of safety, efficacy, and clinical outcomes. Dig Dis Sci. 2013 Jul;58(7):1976-84. 7. Tan KK, Wong D, Sim R. Superselective embolization for lower gastrointestinal hemorrhage: an institutional review over 7 years. World J Surg. 2008 Dec;32(12):2707-15 8. Walker TG. Acute gastrointestinal hemorrhage. Tech Vasc Interv Radiol. 2009 Jun;12(2):80-91. 9. 10. 11. 12. 13. 14. 15. 16. |
































