|
弹簧栓子栓塞的技术要点包括在释放前导管头在拟定阻塞的血管位点上必须有一个精确和稳定的位置。这有时需要共轴导管技术或三轴导管技术(triaxial technique。术前需熟悉被栓血管解剖和病理解剖,建立锚定点,即第一个栓子要明显大于靶血管了,利用较大的径向张力增加栓子与血管壁之间产生摩擦,以便栓子能在血管腔内被“塞住(pack)”。安全的释放弹簧栓子导管的稳定性最为重要,使用引导导管(Guiding catheter)或血管鞘,使用微导管,选择合适的病例都是增加安全和有控制释放弹簧栓子的有利条件。当然,不要使用带有边孔的导管释放栓子。
肺动静脉畸形栓塞锚定技术
锚定技术
脚手架技术(Scaffold technique)
共轴导管技术(coaxial catheter technique):利用微导管释放弹簧栓子。适合微小血管的弹簧栓子释放,迂曲血管,普通导管不能稳定地释放弹簧栓子的时候。
共轴导管技术,有的时候是普通导管+微导管,有的时候是引导导管+普通导管。
除了共轴导管技术,为了在更为迂曲的血管行程中稳定地释放弹簧栓子,可能需要三轴导管技术(triaxial catheter technique)即:引导导管+普通血管造影导管+微导管。 血管阻塞是弹簧栓子的填塞导致血管的局部阻塞,这一阻塞是一个过程,需要时间才能够发生血液在栓子处凝固过程。
弹簧栓子栓塞的基本原则: 1 在栓子释放前,在打算阻塞的靶血管上需要精确和导管头位置的稳定。可以在可能的情况下应用双轴导管技术。也有由于栓塞靶区血管过短,或过度迂曲5F普通导管难于稳定的情况,或改用微导管或放弃栓塞。除此以外可以采用锚定技术(见后图)。导管位置不稳定往往是释放位置不良的首要原因。 2. 血管阻塞是由于弹簧栓子填塞和血栓形成在血管局部共同结果,其需要时间充分形成血栓。 3. 弹簧栓子和导管系统必须匹配,防止弹簧栓子与推送导丝形成导管内嵌顿。为了不至于防止弹簧栓子的血管内嵌顿需要导管的内径与弹簧栓子导丝的直径相匹配。推送弹簧栓子的导丝应有一个椭圆形的导丝头,否则也会将导丝嵌顿在弹簧栓子与导管之间,甚至不能拔出。
4. 弹簧栓子释放后,其形状结构和大小会改变 5. 弹簧栓子直径大于血管直径的10%或更大,特别是第一个释放的弹簧栓子(第一个弹簧栓子释放稳定后,以后的弹簧栓子可以直径小)。如果担心弹簧栓子释放后流向血流的远端,弹簧栓子释放直径需要大于靶血管直径的10%以上(Oversize 1st coil),首先放置大的弹簧圈,再放小的弹簧圈。如果经验不足,不在较大的高血流的动静脉瘘中释放可推式弹簧栓子。也不在宽颈动脉瘤内囊内填塞可推式弹簧栓子。 推式弹簧栓子的局限性
弹簧栓子的并发症及处理 文献介绍中,弹簧栓子的主要并发症包括栓塞时栓子误放导致位置不良,或弹簧栓子释放后随血流到远端;导管内嵌顿,由于栓子或导丝导致的血管损伤,栓塞不充分,栓塞后感染[1]。 弹簧栓子的并发症:
弹簧栓子误放,钳夹取出过程
患者出血停止,随访CT显示正常。
Coil的主要困难在第一个和最后一个弹簧栓子。以及非常有挑战的困难病例。 第一个弹簧栓子放置的困难性在于如何适合靶血管的大小与形状。往往需要在术前精确地测量CT或/和血管造影,除了选择形状相应的弹簧栓子外,还要选择适合靶血管的血流,若对于高血流病变选择微弹簧栓子很难达到安全的栓塞。高血流的AVM需要在静脉一侧植入超大的弹簧栓子,使用球囊导管阻止或减少血流,用更长和更大的可脱弹簧栓子(0.035~0.038)。要么就找个分支“锚定”吧! 最后一个弹簧栓子的困难性,在于如果弹簧栓子太长、太大,靶血管已经填塞完成,多余的部分栓子无处可置,如果是可控的可脱式弹簧栓子,若为推送式弹簧栓子则可能发生并发症。如何知道和如何确保最后一个弹簧栓子不至于过长和过大。主要是要决定每次栓塞的终点。弹簧栓子填塞的%,预期所需栓子的大小和量,用球囊和支架辅助栓塞避免弹簧栓子移位。或用较少的弹簧栓子,添加液体栓塞剂如NBCA或Onyx。 弹簧栓子的困难病例主要包括解剖困难,比如所栓塞靶血管为短段,可以置放弹簧栓子范围太小,短段或靶血管痉挛。血管入路非常扭曲,特别是需要导管内腔较大或弹簧栓子导丝直径较大的时候,比如需要20mm直径的弹簧栓子阻塞较大的动静脉瘘,导丝的直径为0.042。血管迂曲和弹簧栓子太长可能导致弹簧栓子难以推动。除了困难的解剖,病人的情况好坏也是具有挑战队一件事。 栓塞肺动静脉畸形时要避免空气进入静脉,撤出导丝时应在盐水内进行。尽量接近动静脉瘤囊的位置实施截面闭塞(cross section occlusion,CSO)。术后需要使用抗菌素。肝素应用带有纤毛的可脱式弹簧栓子,考虑充分的肝素化,因为不必要的血凝块可能导致动脉系统的栓塞。而栓塞精索静脉曲张或盆腔充血综合征在有硬化剂辅助下不需要截面闭塞。
截面闭塞 cross section occlusion
不充分填塞(Inadequate packing)主要用于慢血流的血管畸形的栓塞或在高速血流的情况下减慢血流速度联合其它液体栓塞剂的应用。也可作为静脉血管的阻塞,比如动静脉畸形的静脉流出道的阻塞。而致密填塞(Dense packing),又称截面栓塞(Cross-Section Occlusion,CSO)主要用于出血,动脉瘤囊填塞,血流导向或肺动静脉畸形的栓塞等应用。对于肺动静脉畸形,CSO尽可能接近动静脉畸形巢或囊。精索静脉曲张或盆腔充血综合症不需要CSO技术,特别是在配合硬化剂的情况下。
盆腔充血综合征
弹簧栓子栓塞后,不需要肝素化的情况包括精索静脉曲张,盆腔充血综合征,创伤性病变使用前后门技术(front and back door),主动脉血管支撑架前阻塞髂内动脉。
血管阻塞是弹簧栓子在血管局部填塞和血栓形成的结果。需要充分的局部血栓反应和时间。所以对于出血的病变需要初次治疗就实施致密栓塞。
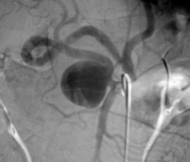
脾动脉瘤栓塞
理想的弹簧栓子应该具备哪些特性呢?理想的弹簧栓子首先是具备各种类型的弹簧栓子。适形于各种适应症在血管阻塞方面可以立即阻塞,目前采取的策略是弹簧栓子全长添加纤毛。可以随血管直径发生变化,即意味着弹簧栓子的直径可以在释放后逐渐增加。对于周围血管动脉瘤囊的填塞,使用3D型栓子,长的弹簧栓子。采用可脱式弹簧栓子。尽管高血流,呼吸运动和病人烦躁情况下都能精确地释放,一旦发生误放,过长或栓子过大都可以回收重新在放置。“熟手”和“生手”都能够安全释放的弹簧栓子。
don’t forget: always use a prime number of pushable coils
质数又称素数。指在一个大于1的自然数中,除了1和此整数自身外,没法被其他自然数整除的数。换句话说,只有两个正因数(1和自己)的自然数即为素数。 ![]() 1. JVIR 2007; 18: 697 2. Postgrad Med 1975; 59: 141-146 3. AJR 1978; 131: 1027-1030 |





































































