直接栓塞技术,就是在血管内单纯的将弹簧栓子推出导管头外边。简单栓塞技术也被称为 point-blank occlusion(近距离阻塞)。直接栓塞技术是Coil栓塞的基础。临床主要应用于出血栓塞,血流导向,减流(配合其它栓塞材料的应用降低血流速度) 必须是: 1. 末端动脉的阻塞 2. 被阻塞血管的靶位必须精确,如血管破裂的位置, 3. Coil的直径≥血管的直径 4. 单纯将Coil推出导管头之外,还需要知道导管头的稳定性
• 位置尽可能稳定(更深层通常更稳定)
• 在手术过程中保持血流(越深入越容易痉挛和楔崁)
微弹簧栓子优势
1. 通常不适合0.035''弹簧栓子
2. 导丝可塑形
3. 比5Fr 导管更适合选择性导管术
4. 比5Fr 导管更少痉挛/血流限制
5. 释放弹簧栓子时位置稳定
6. 释放Coil 更精确
• 弹簧栓子释放旨在通过导管实现最佳稳定性,但需要与血流的保持进行权衡
• 在释放弹簧栓子之前确认导管稳定性
• 标准5Fr的诊断导管合适大部分弹簧栓子的释放
• 但是当需要时,不要犹豫转换为微导管
![]() 重要的事再说一遍
1. 终末动脉阻塞 end-artery occlusion
2. 阻塞破裂的位置 occlusion at rupture site
3. 简单推出弹簧栓子simply pushed out (micro)coil
4. 栓子直径>血管直径 coil diameter ≥ vessel diameter
终末动脉是指外周动脉分支的末端。弹簧栓子栓塞终末动脉(Coil embolization of end-arteries) 往往对脏器功能的损伤较少。
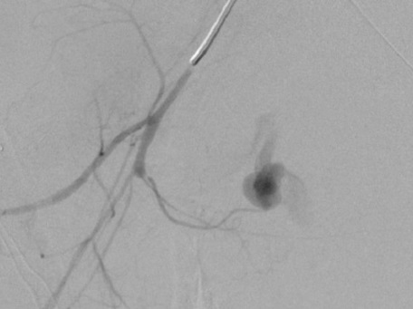
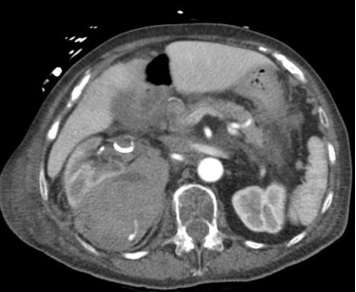
医源性肾创伤,移植肾活检后,动脉瘤
![]()
产后出血子宫动脉微Coil末端栓塞:导管头尽量接近出血点
直接栓塞/终末动脉栓塞/产后大出血栓塞
男,30,输尿管近端结石,体外碎石后,大量血尿
Coil:血流导向
|



































