弹簧栓子的栓塞技术(一般技术)
-
技术之一,直接栓塞技术(point-blank occlusion):多指简单地将弹簧栓子推出导管将末端动脉栓塞。
-
末端动脉阻塞(end-artery occlusion)
末端动脉栓塞:医源性肾损伤-移植肾活检
 |
 |
 |
 |
|
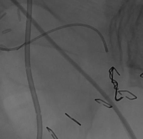
活检后动脉瘤破裂 |
微导管在载瘤动脉末端 |
载瘤动脉末端栓塞 |
Coil=3 |
2. 阻塞破裂的位置(occlusion at rupture site)
直接动脉末端栓塞的过程是简单推出弹簧栓子(simply pushed out coil),但要求弹簧栓子的直径≥血管直径
外伤后出血的栓塞
|

|

|
|
外伤后可见造影剂外溢 |
微导管选择至出血血管 |
|

|

|
|
出血血管的微弹簧栓子栓塞 |
栓塞后造影 |
肺动静脉畸形
 |
 |
|
肺动静脉畸形分为单发、多发和弥漫性 |
这一例为多发性肺动静脉畸形 |
 |
 |
|
显示巨大静脉池显影 |
回流至肺静脉 |
肺动静脉畸形
 |
 |
 |
|
选择其中一支畸形的滋养动脉 |
造影剂经静脉池回流至肺静脉 |
造影剂经静脉池回流至肺静脉 |
 |
 |
 |
|
栓塞开始:先致密填塞静脉池,再致密栓塞滋养动脉 |
造影显示部分静脉池不显影,滋养动脉闭塞 |
选择性肺动脉造影显示另一支滋养动脉和静脉池。 |
 |
 |
 |
|
选择性进入滋养动脉 |
栓塞后弹簧栓子逸出至右肺静脉 |
栓塞后弹簧栓子逸出至右肺静脉 |
 |
 |
 |
|
|
弹簧栓子在左心房“狂”跳 |
没啦? |
 |
 |
 |
|
去哪儿啦? |
在这儿! |
造影 |
 |
 |
 |
|
嵌在股深浅动脉分叉处 |
弹簧栓子被移除 |
继续栓塞 |
 |
 |
 |
|
研究静脉池出口情况 |
寻找最佳工作位 |
静脉池出口直径大 |
 |
 |
 |
|
静脉池出口直径大 |
放弃静脉池栓塞,仅栓塞滋养动脉 |
完成任务 |
-
技术之二,锚定和脚手架技术:主要用于大动脉阻塞,将弹簧栓子部分锚定在血管的某一分支上。弹簧栓子的直径>血管直径。往复推送弹簧栓子(go to and fro and push)
anchor scaffolding 技术
 |
|
可推送弹簧栓子的锚定(Anchor)技术,可以避免释放后移位,或增加截面积的填塞。如果第一个弹簧栓子被锚定,就无需担心其是否会稳定 |
脚手架技术(Scaffold technique)
 |
|
选用较大的弹簧栓子,利用高径向支撑力。可推式弹簧栓子的脚手架(Scaffold)技术。先非致密性阻塞血管,再将推送管重新推回起始点在释放弹簧栓子。 |
肺动静脉畸形的栓塞(锚定和脚手架技术)
|

|

|

|
|
肺动静脉畸形 |
利用锚定技术将弹簧栓子头端释放到肺动脉其中一支后,其余部分释放到血管内 |
栓塞术后造影 |
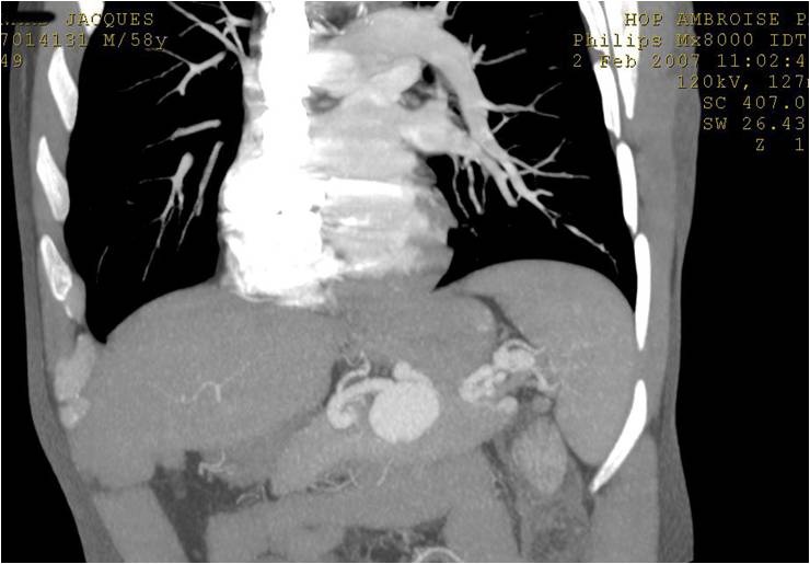
肺动静脉畸形的栓塞
|

|

|
|
肺动静脉畸形CT |
肺动静脉畸形血管造影(动脉显影) |
|

|

|
|
肺动静脉畸形血管造影(静脉显影) |
肺动脉栓塞后 |
-
技术之三,三明治技术(sandwich technique)即远端和近端的靶血管区域栓塞,有时也被称为前后门技术(front and back door)。
-
侧支循环网动脉的栓塞
-
用导管通过疾病的血管段
-
选择弹簧栓子的直径>血管的直径
-
从远端开始弹簧栓子的栓塞
-
最后栓塞血管近端
假性肝动脉瘤栓塞:sandwich technique
 |
 |
 |
|
肝动脉假性动脉瘤 false hepatic a. aneurysm |
sandwich 技术 |
栓塞后 |
胰十二指肠上、下动脉瘤(sandwich 技术+瘤囊填塞技术)
 |
 |
|
肠系膜上动脉造影显示胰十二指肠上动脉后弓及前弓各有动脉瘤 |
选择性第一空肠动脉造影显示胰十二指肠下动脉起自第一空肠动脉,其起始部见假性动脉瘤 |
 |
 |
 |
|
微导管经瘤腔释放微弹簧圈阻塞动脉瘤远端胰十二指肠下动脉前弓,避免侧支动脉充盈动脉瘤 |
阻断动脉瘤远端后同时进行动脉瘤内填塞 |
肠系膜上动脉胰十二指肠下动脉另一分支造影显示其起始部动脉瘤 |
 |
 |
 |
|
动脉瘤囊内微弹簧栓子填塞 |
填塞后 |
术后动脉造影 |
-
技术之四,近端球囊辅助技术栓塞技术 包括(1)较大动脉段阻塞技术;(2)依赖技术操作定位(微导管);(3)充盈近端定位球囊;(4)将血流停滞防止弹簧栓子移位;(5)将微弹簧圈推出导管。
近端球囊辅助栓塞
 |
 |
 |
 |
 |
|
椎动脉假性动脉瘤 |
椎动脉球囊阻塞试验 |
对侧椎动脉供血 |
球囊阻塞后释放栓子 |
用Amplatz血管阻塞装置辅助脚手架技术进行远端动脉栓塞
 |
|
|
-
技术之五,重塑技术(remodeling technique):(1)真性动脉瘤栓塞;(2)导管定位在动脉瘤腔内;(3)球囊或支撑架动脉瘤颈保护;(4)将弹簧栓子填塞动脉瘤腔。
脾动脉瘤:窄颈动脉瘤栓塞可以无需球囊或支撑架辅助弹簧栓子栓塞
用5F导管很容易进入腹腔动脉和脾动脉。不需要微导管。普通0.035导丝引进。
脾动脉瘤填塞:动脉瘤囊填塞技术
|

|

|
|
脾动脉中段动脉瘤 |
用普通导管选择性进入瘤囊内 |
|

|

|
|
释放普通(0.035'')弹簧栓子入瘤囊内 |
栓塞后保留载瘤动脉开放 |
配合可控弹簧圈封口,减低患者费用。
肾动脉瘤重塑技术
 |
 |
 |
 |
|
肾动脉瘤 |
微导管头进入动脉瘤腔后用球囊(4mm x 20mm)充盈后封住瘤颈的口;释放微弹簧圈到动脉瘤囊内 |
微弹簧圈对瘤囊致密填塞
coil N=41 |
栓塞后造影显示瘤腔消失 |
支架辅助弹簧栓子栓塞
 |
 |
 |
 |
|
动脉造影未显示瘤颈 |
预防起见,支撑架辅助瘤囊填塞微弹簧栓子填塞 |
致密填塞后瘤囊显影消失
coils N=38 |
支撑架=5mm x 18mm |
肾动脉瘤填塞
 |
 |
|
|
|
弹簧栓子栓塞的主要适应症:永久性阻塞,相当于外科的血管结扎。
-
动脉性出血,经常用于急性消化道出血,创伤出血或动脉瘤出血。vessel rupture(acute bleeding)
-
动静脉瘘(辅助栓塞)
-
动脉瘤(填塞)
-
血流导向,即保护其它器官不致被栓塞和化疗,预防支撑架内漏(vascular territory protection)
-
血流再分布 flow redistribution
-
术前栓塞(preoperative embolization)
弹簧栓子用于改变血流方向
|

|

|
|
肝转移癌患者,肝动脉灌注放射性栓塞微粒前肝动脉造影,显示胃十二指肠动脉可能分流部分放射性颗粒,导致胃大弯侧放射性损伤 |
栓塞前阻塞胃十二指肠动脉 |
|

|

|
|
栓塞颗粒显影 |
栓塞后,胃十二指肠动脉闭塞 |
可控式弹簧栓子
除了Cookgroup 公司以外,Boston scientific公司也发展了自己的弹簧栓子血管栓塞系统。包括Interlock™ -35和Interlock™ -18。栓子导丝全长带有纤毛,不同于其它可推式Gianturco 弹簧栓子,该产品是可控的,即当弹簧栓子放置的位置完全合适的时候,才控制脱开释放。一旦认为不合适,或栓子释放的位置不理想可以回收重新释放,减少误放的潜在可能。它的主要危险是,过早地脱开释放,释放过程中被拆散(unraveling)以及并不是所有的栓子回收时顺利。
可脱式弹簧栓子
|

|
Cube |
Three Dimensional design allows for circumfrential wall apposition and great packability in visceral aneurysms. |
|

|
2D Helical |
Optimal Anchorability because the structure of the coil is in constant contact with the wall of the vessel. |
|

|
Diamond |
Occlusive Power is obtained by tapering the proximal and distal coil diameters, maximizing cross sectional flow disruption. |
可脱性弹簧栓子
|

|
|

|
|
目前这种可脱式带有纤毛的弹簧栓子 |
这种弹簧栓子重要用于周围血管疾病的大的囊性动脉瘤的填塞;锚定大的高流量的动静脉畸形的滋养动脉;阻塞与重要动脉分支短段血管;血管解剖不能确定释放时导管能否稳定以及任何需要控制性释放的其它情况。其它也可以考虑的情况包括靶血管大于颅内血管的时候,周围血管动脉瘤囊为宽颈,“生手”需要许多弹簧栓子的病变和需要简单快速释放系统的病变。应该还有更多更好的理由会使很多人喜欢可脱式带有纤毛的弹簧栓子。
“If you remember, I did mention possible side-effects” 这句话道出了这种弹簧栓子的优点。其它的优点详见《厂家介绍 》
|