影像引导下经皮穿刺活检,几乎可以进入纵膈内所有病变的位置。直接纵隔入路,使胸膜外穿刺成为避免气胸风险的首选方法。允许胸膜外入路的技术包括胸骨旁入路、椎旁入路、经胸骨入路和胸骨上入路,这些入路在CT或超声引导下进行。当病变或间隔的纵隔脂肪延伸到胸骨外侧的前胸壁;胸骨旁入路用于前纵隔或中纵隔病变的活检, 乳内动脉血管损伤是一个潜在的并发症。椎旁入路用于隆突下和其他后纵隔病变的活检;通常注射生理盐水来扩大纵隔。经胸骨入路,包括通过胸骨放置针,用于胸骨旁入路无法到达的前或中纵隔病变的活检。上纵隔病变的活检可通过胸骨上入路进行。这些直接纵隔入路的替代方法包括将针穿过由现有胸腔积液或医源性气胸造成的胸膜间隙。另一种选择是经肺入路,它涉及到针头侵入肺和内脏胸膜,并且有很大的气胸风险。
直接纵隔入路(胸膜外)
— 胸骨旁的
— 经胸骨
— 脊椎旁
— 胸骨上的
— 剑突下
经皮经肺方法
穿过胸膜腔
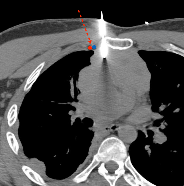
胸骨旁入路
Biopsy of Mediastinal masses parasternal approach
1. 注意两侧的乳内动脉
椎旁入路注意肋间动脉
经胸骨纵膈活检
同轴技术: 一种大口径骨活检系统和一种切割活检针几根普通的18号导针足以穿透胸骨【Astrom KG 2019】 经肺纵膈肿物活检o needle passes through the lung parenchyma and two layers of visceral pleura try to avoid: fissures, emphysematous bullae, and major intrapulmonary vessels increased risk of pneumothorax, alveolar hemorrhage, hemoptysisO 针穿过肺实质及两层内脏胸膜时 - 尽量避免: 叶间裂、肺气肿大泡及肺内大血管 - 增加气胸、肺泡出血、咯血的危险
| ||||||||||||||||||||||||||||||||||||||||||
![]() |
【Gupta et al 2005】
![]() |
|
| salinoma |
• saline infusion- "salinoma". lateral decubitus positioniatrogenic pneumothorax
技巧
盐水注射 - “盐瘤”(salinoma)
侧卧位
医源性气胸
侧卧位
![]() |
![]() |
| 仰卧位 | 侧卧位 |
纵膈活检的并发症
pneumothoraxhaemorrhage (mediastinal, extrapleural, hemothorax)hemoptysis if transpulmonary approach)vasovagal reáctionsintercostal neuritistransient Horner syndromeoesophageal injury气胸
出血(纵隔、胸膜外、胸血)
经肺入路时咯血
血管迷走神经反应
肋间神经炎
短暂性霍纳综合征
食管损伤
纵膈活检的结果

83 CT-guided biopsiescoaxial technique (3-4 samples)diagnostic sampling in 96%five minor complications- small pncumothorax (n-4)-hematoma (n=1)
83例CT引导活检
同轴技术(3-4个样品)
96%的诊断取样满意
五种轻微并发症
- 小气胸(n-4)
- 血肿(n = 1)
结论
- 经皮图像引导的纵隔肿块活检是一种安全的方法
- 几乎可以进入所有纵隔肿块
- 有不同的途径
- 诊断率高














