"中速血管畸形“”病例一、盆腔动静脉畸形导致严重血尿 逆行髂内静脉球囊阻塞,减少血流后,再进行髂动脉栓塞
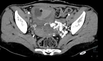
18岁女性,首次出现突发性肉眼血尿和失血性休克。急诊室复苏治疗后生命体征平稳。初步超声显示显示膀胱扩张伴血块、大的弥漫性盆腔AVM及双侧输尿管积水。开始膀胱冲洗以清除血块,MRI及CTA显示盆腔动静脉畸形。由于再次出现大出血,转介入放射科行血管栓塞术
治疗选择
反复栓塞供血动脉分支,(省略)
部分栓塞后患者不再出血,通过膀胱镜安全取出血栓,阻塞性症状改善。然而在血管栓塞的第6天,患者再出现严重的严重血尿和腹股沟疼痛发作,并休克,血压降至70/50 mmhg,患者复苏治疗的同时再次来介入导管室,计划重复紧急完全血管栓塞
血管内治疗栓塞的目的:
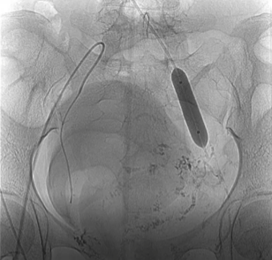
对最初针对膀胱壁成分的AVM进行部分断流,由于存在多个双侧动脉供血,完全闭塞被认为是不可行的,且非靶向栓塞的风险很高。计划是用NBCA混合碘油对滋养动脉进行超选择性分别栓塞,其浓度取决于选择性血管造影术的可行以及血流速度。防止NBCA向肺循环迁移是非常必要的。髂内静脉逆行球囊辅阻断,以减少血流。
球囊经右颈内静脉入路,膨胀于左髂内静脉
技术上的考虑:尽管有关快速动静脉畸形的分层还没有细化,已经有的也仅仅是解剖分类上的细化。但很明显有一类动静脉畸形并没有明显的静脉早期显影,甚至静脉畸形的部分也不明显。也有人称之为“中速血管畸形”这往往意味着经静脉路径动静脉畸形栓塞并不可行。经静脉逆行球囊阻塞可以降低血流速度,提高经动脉栓塞的安全性和有效性。
- 任何严重出血情况下都应考虑动静脉畸形的潜在可能性
- 多器官受累可能使盆腔动静脉畸形的手术切除变得不可能,勉强切除后快速复发是一种常态
- 动脉栓塞是是治疗这些复杂动静脉畸形病变的基石
- 尽管在可能出现严重出血的情况下需要考虑手术切除,但应优先考虑动脉栓塞
- 血管内治疗可能完全治愈动静脉畸形,但由于复发率高,建议进行严密随访
病例二 37岁男性,下腹部疼痛,恶心呕吐三天,无疾病史 增强腹盆部门血管造影计算机断层扫描显示左侧骨盆动脉窝位于左侧骨盆旁空间,伴有肿大、部分形成血栓的骨盆引流静脉以及由输尿管压迫和膀胱移位导致的双侧积水。 | ||||||||||||||||||||










