脾门动脉瘤栓塞
时间:2023-07-10 23:13来源:www.ynjr.net 作者:杨宁介入医学网
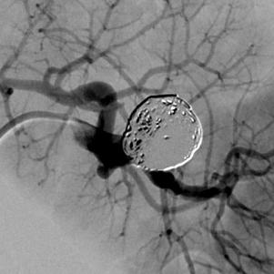
脾动脉远端动脉瘤栓塞 Hilar splenic aneurysm ~ 24 mm Coaxial catheterization / Rebar 18,Concerto detachable coils Coil packing density 28% Patent parent artery / Retained splenic perfusion Hilar splenic aneurysm Coaxial catheterization / R
脾动脉远端动脉瘤栓塞
 |
 |
|
Hilar splenic aneurysm ~ 24 mm
|
Coaxial catheterization / Rebar™ 18,Concerto™ detachable coils |
 |
 |
|
Coil packing density 28% |
Patent parent artery / Retained splenic perfusion
|
 |
 |
|
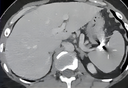
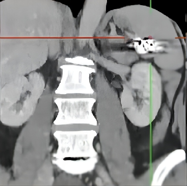
Hilar splenic aneurysm |
Coaxial catheterization / Rebar 18,Concerto™ detachable coils |
 |
 |
|
Coil packing density 17% |
Patent parent artery / Retained splenic perfusion
|
保存脾脏组织是一个重要的考虑
不同的治疗脾脏动脉瘤的方法
入路应根据解剖结构和患者需要选择
|
------分隔线----------------------------