填塞技术又称为Parking 技术:

主要应用于窄颈动脉瘤和脾实质内动脉瘤
 |
|
既往否认任何疾病史,偶然发现2.5cm 脾动脉主干动脉瘤 |
脾动脉瘤弹簧栓子的栓塞,也被称为填塞(Packing)主要用于窄颈的脾动脉瘤。栓塞后可以保持脾动脉的开放流通。对于宽颈动脉瘤也可以考虑球囊(低压膨胀)或支架辅助的弹簧栓子填塞。
弹簧栓子栓塞有再通和compaction的风险
不能用于假性动脉瘤?
可以联合脾动脉瘤栓塞Trapping 技术(packing + trapping)
可能有脾梗死发生
费用高
中年女性,间断左上腹部疼痛3个月,近期加重。CT显示10厘米的脾动脉瘤,近期动脉瘤内出血(瘤内血栓后再有血流入)。
trapping 前后门技术+packing
 |
 |
 |
|
CT平扫:两种密度分界明显 |
增强CT可见一个巨大的脾动脉瘤,大小约10厘米。其内部分血栓形成 |
动脉期轴位和动脉期冠状面重建
|
腹腔造影证实为一个巨大的动脉瘤,脾动脉既是近端供血,也是流出道。导管成功进入流出道。
 |
 |
|
血管造影的另一个视图显示了脾动脉供体的造影剂喷射,以及对周围器官和血管造成肿块效应的动脉瘤的巨大尺寸。 |
 |
 |
|
造影剂外溢 |
流出道 |
腹腔血管造影的病人采取不同的投影,以更好的解剖可视化。血流入口(红色箭头)和流出口(黄色箭头)均暴露于脾动脉。在6Fr MachI作为引导导管的支持下,用5Fr 导管进入流出道,微导管经5F导管进一步进入流出道。
 |
 |
|
流入道 |
|
巨大脾动脉瘤是罕见的,并且由于其巨大的体积而难以栓塞。适用前后门栓塞的原则,但在如此大的动脉瘤中,后门插管是困难的。良好的支撑导管是关键。巨大的动脉瘤囊本身也被证明很难完全栓塞。可能需要不同栓塞剂的组合——在这种情况下是弹簧栓子/NBCA/凝血酶。以确保足够的流量进入这些巨大的动脉瘤。
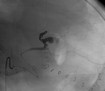
支架辅助Packing 技术
 |
 |
|
宽颈 |
支架植入,但看不清 |
remodeling technique
 |
|
7F引导鞘,双导丝操作入路,支架压住微弹簧栓释放导管(微导管);自膨式支架 |
既往抗血小板方案和围手术期肝素:非破裂动脉瘤重塑技术(remodeling technique)治疗必须使用
|