SIRT:栓塞所有动脉
			
			
				时间:2023-07-23 23:55来源:www.ynjr.net 作者:杨宁介入医学网 
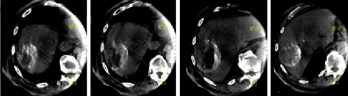
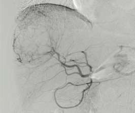
            	TACE经验:肝癌有N多的供血动脉 SIRT 也同样要求栓塞所有的供血动脉 需要分别超选择三支供血动脉 position 1 Position 2 Position 3
			
			
				| TACE经验:肝癌有N多的供血动脉
 
 
  
 SIRT 也同样要求栓塞所有的供血动脉
 
 
 
 
 
 
 
 
	
		
			|  |  
			| 需要分别超选择三支供血动脉 |  
 
  
 
	
		
			| position 1 |  
			|  |  
			| Position 2 |  
			|  |  
			| Position 3 |  
 
 
 
 | 
			
			 
			
			
			
			
			
			
			
			
				------分隔线----------------------------