| 挽救性CRC,多灶性,肝右叶病灶一次性治疗 scout dose (低剂量或侦查剂量)右肝动脉【Nima Kokabi 2022 最新的进展】 
 
 
 
 
 治疗后,低剂量(侦查剂量) vs 治疗剂量 
 
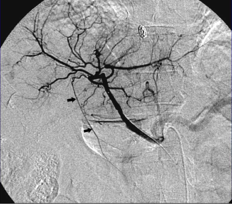
 注意肝左动脉(特别是,异位肝左动脉(replaced left hepatic artery)) 
 
 有问题的血管 
  
 
 
 | 
|   | 
| 挽救性CRC,多灶性,肝右叶病灶一次性治疗 scout dose (低剂量或侦查剂量)右肝动脉【Nima Kokabi 2022 最新的进展】 
 
 
 
 
 治疗后,低剂量(侦查剂量) vs 治疗剂量 
 
 注意肝左动脉(特别是,异位肝左动脉(replaced left hepatic artery)) 
 
 有问题的血管 
  
 
 
 |