杨宁介入医学网
网站总站
会员中心
成为会员
论坛交流
首页
资讯
资源区
介入放射学发展史
介入放射学总论
介入医学各论
介入图谱
介入私房菜
读书笔记
关注医改
介入器械厂家和商家
搜索
检索标题
智能模糊
搜索
热门标签
门静脉-体循环静脉瘘
钇90联合治疗
化疗和放疗的相互作用
栓塞所有供血动脉
剂量学
栓塞分支动脉
CONE BEAM CT
返回首页
首页
>
肝细胞肝癌的介入治疗
>
肝癌的介入治疗
>
按路径分
>
肝细胞肝癌经血管的介入治疗
>
肝癌经血管内治疗的技术
>
放射性微粒栓塞
>
技术上的考虑
>
CONE BEAM CT
>
SIRT 肝转移癌 技术上的考虑
时间:
2023-07-26 07:16
来源:
www.ynjr.net
作者:
杨宁介入医学网
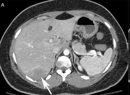
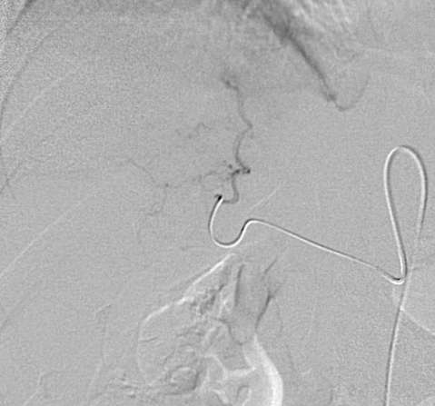
SIRT 在技术上的考虑首先要了解动脉解剖,采用微导管,使用使用高压注射器 另外要考虑Cone Beam CT的使用 6个月后,完全缓解 肝转移癌 增强CT Cone Beam CT
SIRT 在技术上的考虑首先要了解动脉解剖,采用微导管,使用使用高压注射器
另外要考虑Cone Beam CT的使用
6个月后,完全缓解
肝转移癌
增强CT
Cone Beam CT
顶一下
(0)
0%
踩一下
(0)
0%
------分隔线----------------------------
上一篇:没有了
下一篇:没有了
打印
推荐内容
热点内容
SIRT 肝转移癌 技术上的考虑
快讯
会讯
药械新知
临床进展
学术动态
最新杂志文章介绍
业界新闻
国内资源站
国外资源站
资料上传区
介入放射学的历史渊源
介入放射学的诞生
现代介入放射学的发展
中国介入放射学的发展史
介入手术分类
介入治疗的临床处置
血管放射解剖学和基本病变
介入放射科医生的临床职责
介入性放射学的管理
血管介入治疗总论
非血管介入治疗总论
肿瘤介入概论
介入治疗的放射防护
介入药房
介入医学经济
循证介入医学
介入手术知情同意书大全
乳腺癌的介入治疗
神经介入放射学
五官科介入医学
脊柱与脊髓
骨骼肌肉系统疾病的介入治疗
心脏疾病介入
大动脉疾病介入治疗
胸/呼吸系统疾病介入
消化介入
泌尿系介入
产科介入
妇科介入
周围血管疾病的介入治疗
淋巴介入
静脉疾病介入治疗
内分泌系统介入放射学
儿科介入
非常介入放射学
经皮腹腔脓肿引流
美容介入放射学
影像引导下疼痛管理
创伤介入
脑血管图谱
心脏图谱
肝胆胰图谱
颈部介入图谱
肺影像
医学摄影
周围血管阻塞性疾病
妇产科介入图谱
输入袢综合症的介入治疗
动静脉畸形
消化道
内脏动脉瘤
膝以下动脉
胆道疾病
妇科
价值医疗
介入放射学现状与展望
介入放射学的规则
我们可以信任的临床指南
肝癌个性化治疗
JVIR影响力
天上掉下来一个区块链
医疗改革历史
社会资本办医
为什么社会资本办医
医保改革
医疗体制
政府医改文件
医改专家观点
公立医院改革
第三方服务
医改论坛
国外介入器械厂家
国内介入器械制造商
中国介入网站名录
国外介入网站名录
互联网+介入
什么是互联网+?
互联网+介入
健康大产业与介入医学的挑战
互联网+ 的思维模式
高端虚拟医院
医生服务公司(医生集团)
互联网医院/互联网医院开发公司
CIREL 临床试验
武汉与世界:2019年10月
悄然而至的病毒
人类历史上大流行病
封城
病毒的来源之争
结语
甲状腺结节临床
甲状腺结节消融
甲状腺动脉栓塞
关于肝癌恶性肿瘤
基础篇(Basic)
我们看到的淋巴细胞是什么?
也谈介入放射学的未来
当需要TIPS,门静脉血栓
下消化道出血栓塞:需要栓塞多远?
关于DIC
PPS
关于介入放射学编码
关于门静脉高压
从天而降的区块链
学术生态与学术批评的类型/特点
HAIC老技术新方法?
究竟谁在蒙着眼狂奔
介入医学伦理
GGO/GGN 消融治疗?
Y90的 COST effect
肝细胞肝癌的临床
肝癌的介入治疗
肝癌靶向治疗与介入
肝癌免疫治疗与介入
肝癌靶免联合治疗
肝癌SIRT
HCC-How I Do it
肝癌治疗的进展