论文是发表在2022《Radiology》上, TRACE 试验 的正式报告,是一项比较两种肝癌局部治疗手段的 II 期随机对照临床研究。下面我用尽量清晰、结构化但不过于学术化的方式帮你解读。![]() 当我们质疑或在上述肝癌治疗 流程寻找TARE 的临床角色的时候,TRACE 临床研究.... 一、研究要回答的核心问题对于不能手术切除的早期或中期肝癌患者:(BCLC A 或B) · 标准治疗是DEB-TACE(载药微球化疗栓塞) · 备选方法是90Y-TARE(钇90放射性栓塞) 问题:TARE 的疗效和安全性是否不差于、甚至优于 TACE? 二、研究设计速览
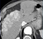
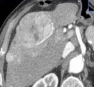
三、最关键结果(一句话总结)TARE 比 DEB-TACE 显著延长肿瘤进展时间,也显著延长总生存期,安全性相似。 在“经动脉放射性栓塞与化疗栓塞治疗肝细胞癌(TRACE)”试验中,随机分配至经动脉放射性栓塞(TARE)组或药物涂层栓子(DEB)经动脉化疗栓塞(TACE)组的参与者的疗效结果。Kaplan-Meier 图展示了(A)意向治疗组和(B)按方案组的总体肿瘤进展时间。P 值通过使用对数秩检验计算得出。虚线表示 95% 的置信区间。HR=风险比。
四、核心数据对比(ITT分析)
五、为什么 TARE 效果更好(TRACE 作者解释)1. 治疗范围更广
o TARE 多为叶水平(lobar)治疗(79%),能覆盖肿瘤周围的“高危肝实质”
o DEB-TACE 多为超选择性,容易遗漏周边微小病灶 2. 治疗周期更短
o TARE 中位治疗时间:32 天
→ 更长的治疗窗口期内,DEB-TACE 患者更容易出现非治疗区新发灶o DEB-TACE:82 天 3. 移植转化率更高
o TARE:10 人降期后移植
o DEB-TACE:4 人 六、安全性解读(容易被忽略的点)严重不良事件(≥3级)无统计学差异但死亡事件(grade 5):
o TARE:1 例(放射性肝病)
o DEB-TACE:5 例(败血症、肝脓肿、心梗等) 虽然 P 值不显著,但绝对值差异明显,说明 TARE 的安全性在实践中并不比 TACE 差,甚至可能更“安全”一点。 七、这项研究的局限性(必须知道)
八、对临床实践的意义作者结论TARE 可以作为 BCLC A/B 期、不能手术肝癌的合理局部治疗选择,但需要 III 期试验验证。合理解读· 对于肿瘤负荷较大、边界不清、容易肝内播散的患者,TARE 优于反复 TACE。
· 对于 |







