背景
不可逆电穿孔是一种非热性的肿瘤消融技术。它的核心原理是利用短时、高强度的电脉冲,在细胞膜上永久性地形成纳米级的孔隙,破坏细胞的稳态,从而导致细胞凋亡(程序性死亡)
关键特点:
非热性:不像射频或微波消融那样依靠高温“烧死”细胞,因此能最大限度地保留肿瘤周围的重要组织结构,如血管、神经、胆管、尿道等。
诱导凋亡:细胞凋亡是一种有序的、免疫原性的细胞死亡方式。它会激活体内的免疫系统,可能产生“远位效应”,即免疫系统攻击其他未被消融的转移病灶。
精确的边界:消融区域边界清晰,医生可以精确控制消融范围。
主要应用:
最初主要用于治疗前列腺癌,现已广泛应用于肝脏、胰腺、肾脏、肺部等实体肿瘤,尤其适用于靠近大血管、胆管等危险部位的肿瘤。
第三代不可逆电穿孔
要理解“第三代”,我们需要先了解前两代的发展。
第一代 IRE
代表技术/设备:纳米刀
特点:
技术核心:使用单极脉冲。电流从一个电极发出,流经组织,回到另一个电极。
局限性:
肌肉收缩:由于脉冲较长,在治疗过程中会引起患者强烈的全身性肌肉收缩,因此必须在全麻并使用肌松剂的条件下进行,增加了麻醉风险和复杂度。
电场分布不均:单极脉冲的电场分布容易受组织导电性不均的影响,可能导致消融不彻底。
地位:开创了临床应用的先河,但存在明显的副作用和操作复杂性。
第二代 IRE
(高频不可逆电穿孔,H-FIRE)
技术核心:对脉冲波形进行了革命性改进,采用双极、高频、短时程的脉冲串。
特点:
极大减轻肌肉收缩:高频交替的脉冲使得神经和肌肉无法产生强直性收缩,因此可以大幅减少甚至避免使用肌松剂,降低了麻醉风险。
消融更精确:双极脉冲的电场更集中,边界更锐利,对消融形状的控制更好。
仍在发展:H-FIRE技术是当前研究的热点,被认为是IRE的一个重要升级方向。
第三代 不可逆电穿孔
“第三代”并非一个绝对统一的官方定义,而是在第二代H-FIRE技术基础上的进一步集成和智能化升级。它代表了当前最前沿的技术方向。
“第三代”的核心特征可以概括为:更智能、更集成、更精准。
脉冲技术的进一步优化
在H-FIRE的基础上,对脉冲的参数(如频率、时长、电压组合)进行更精细的调节,以实现对不同类型组织(如纤维化组织、不同密度的肿瘤)的最佳消融效果。
与先进影像技术的深度融合
这是“第三代”最显著的特征。不仅仅是术前的影像导航,更是术中实时监控和评估。
例如:将IRE设备与实时超声弹性成像 或 MRI电阻抗成像 相结合。医生在施加电脉冲的同时,就能在屏幕上看到组织电特性(如电阻抗)的实时变化。当组织电阻达到一个平台期时,就意味着消融已经完成。这提供了实时的治疗终点反馈,彻底改变了以往依靠经验模型预测的“盲操”模式,确保了消融的彻底性。
智能化的手术规划与执行系统
基于患者的CT/MRI影像数据进行三维重建,由计算机模拟出最佳的电极布针方案、预测电场分布和消融区形态。
手术机器人或机械臂辅助进行精准的电极植入,减少人为误差。
系统能够根据实时反馈的电流和电阻数据,自动调整脉冲参数,实现自适应消融,确保在不同组织条件下都能达到一致的消融效果。
治疗范围的扩大与组合疗法的应用
“第三代”技术通过优化,能够消融更大体积的肿瘤。
更强调协同治疗,例如:
电化学免疫疗法:利用IRE诱导的免疫原性细胞死亡,联合免疫检查点抑制剂(如PD-1/PD-L1抑制剂),激活全身性抗肿瘤免疫反应,攻击原发灶和转移灶。
电穿孔辅助给药:利用电穿孔暂时增加细胞膜通透性的特性,在IRE前后局部注射化疗药物或基因药物,大幅提高药物的细胞内浓度,增强疗效。
总结对比

-
胰腺癌发病率增高 Pancreatic cancer Increased Incidence
-
癌症的原因死亡率:第4位 (<5% 5年生存率)。胰腺头部预后相对较好,由于早期出现黄疸As cause of cancer mortality: 4th (<5% 5yr surv)Head of pancreas better due to early presentation with jaundice
-
手术唯一的治愈手段,但只有5-20%是可切除的,其中只有20%存活5年;Surgery only curative modality but only 5-20% are resectable and only 20% of these live 5 yrs;
-
开始发现时40-45%已经出现转移,>40%大多数患者平均生存率3-6个月,局部晚期,大多数生存率6-11月 40-45% metastatic at outset, 3-6 mos mean survival>40% locally advanced, 6-11 mos survival
-
高风险手术:4-10%死亡率High risk surgery: 4-10% mortality
不可逆电穿孔IRE 介绍
不可逆性电穿孔(英语:irreversible electroporation,缩写:IRE)是透过极其短但强力的电场使得细胞膜上产生永久纳米孔的一种组织消融技术,透过扰动细胞稳态以让细胞死亡。这种手段导致细胞凋亡而不是其他基于热融、辐射的消融技术造成的细胞坏死。不可逆性电穿孔技术的主要用途是在需要维护重要细胞外基质、血流、神经的部位进行肿瘤消融。这个技术正在临床试验而还没有大规模的批准使用。
胰腺肿瘤的IRE活动和作用表现
① IRE暴露前的脂质细胞膜;
② IRE暴露时脂质细胞膜;
③ IRE后细胞膜破坏和细胞死亡情况
在肾脏,肝脏,肺和前列腺得到应用
在胰腺已经应用到 IIB(Borderline)和III期(Local advanced pancreatic carcinoma LAPC)
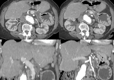
病例
73岁,女,超声偶然发现胰体卵圆形病变,活检粘液腺癌。CT 2X3cm 胰腺病变,Wirsung 管扩张,没有远处转移。CEA 9.74,CA19-9 2066 U/ml
MDT,患者合并有缺血性心脏疾病,高血压,II型糖尿病,巨大腹壁切口疝和腹主动脉瘤。不适合外科治疗,建议IRE

with percutaneous approachIRE treatment with lower probe repositioning and 1 cm pull back.
步骤
IRE OF PANCREATIC CANCER STEP BY STEP APPROACH
CT引导下 CT guidance
IRE已经第三代
全麻和完整的神经肌肉阻断 GA and complete neuromuscular blockade
经皮入路治疗,探针(19g,15mm),,3 probes (19 G with 15 mm exposition) 探头复位,后退1cm。
无围手术期并发症 No periprocedural complication noted
介入治疗方案
时间 Timing
-
消融时间约20分钟内 Ablation in about 20 minutes
-
消融针定位至关重要(推荐多孔皮肤穿刺) Needles positioning is crucial (multiperforated skin grid recommended )
-
经胃入路方案:Trans-gastric approach
方案 protocol
-
Protocol:90 (20+70) pulse 70μs.
止痛 Pain managment:
-
通常不会出现术后疼痛 Usually not post-op pain.
-
常见止痛药(扑热息痛/NSD) Common pain killers (Paracetamolan/NSD) or low dose opioid
 |
|
1年以后随访 ,肿瘤标志物 6.30ng/ml;CA19-9 129.9U/ml |
病变边缘清楚,不适合外科治疗
与重要器官有距离
没偶遇热沉降影响
住院时间短

参考文献
1.Martin RCG Irreversible electroporation of stage 3 locally advanced pancreatic cancer: optimal technique and outcomes. J Vis Surg. 2015 Jun 1;1:4.
2. Spiliopoulos S et al. Irreversible electroporation for the management of pancreatic cancer: Current data and future directions. World J Gastroenterol. 2023 Jan 14;29(2):223-231.3.
3. Scheffer HJ et al. Ablation of Locally Advanced Pancreatic Cancer with Percutaneous Irreversible s Electroporation: Results of the Phase I/II PANFIRE Study. Radiology. 2017 Feb;282(2):585-597..
4. Narayanan G et al. Multicenter randomized controlled trial and registry study to assess the safety and efficacy of the NanoKnife® system for the ablation of stage 3 pancreatic adenocarcinoma: overview of study protocols. BMC cancer,2011;21(1):785。
胰腺IRE
没有RCT研究。
治疗多在MDT3中讨论决定
在选择性病例中可的替代手术
创新的计算机辅助导航系统会有所帮助。
未来:针对IV其胰腺癌

|