| 肝囊肿是先天性畸形,由胆管异常孤立形成,且不与胆道系统相通。肝囊肿通常无症状,在普通人群中患病率为 1% 至 5%,多在腹部影像学检查中偶然发现。1 单发的肝囊肿通常为单房性,伴有几个较小的囊肿,囊壁有上皮和分泌层,囊内为浆液性内容物。2 最常见的症状是腹痛,通常位于右上腹,疼痛程度不一,有时会因囊肿增大而加剧。
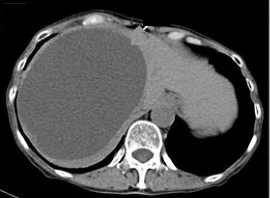
在 影像学检查中,肝囊肿可以是单发的,也可以是多发的,大小不一。单纯性肝囊肿的直径从不足 1 厘米到 30 厘米不等,且右肝叶更为常见【Marrero 2014 Bahirwani R 2008】。肝囊肿数量超过 20 个时,即被定义为多囊肝病(PLD)。单纯性肝囊肿通常容易与多囊肝病区分开来。
在显微镜下检查,单纯性肝囊肿外层为薄层纤维组织,内层为立方或柱状上皮细胞,类似于胆管上皮细胞,没有间质组织或细胞异型性【Lombardo 2010 Bahirwani R 2008】。由于分泌上皮细胞持续产生液体,肝囊肿的直径会逐渐增大,增大的肝囊肿可能会导致有症状或并发症。单纯性肝囊肿的死亡率很低,但出现囊肿相关并发症时会升高【Sanfelippo 1974 Mavilia 2018】。
无症状大多数单纯性肝囊肿患者没有常见症状。 腹部包块或肝大 尽管并发症很少见,但不断增大的肝囊肿可能会引起症状。患有大肝囊肿的患者在体格检查时可能会摸到腹部肿块或肝肿大,以及腹部周长增大。 有症状5%的患者会出现临床症状,这是由于肿瘤逐渐增大或压迫了邻近组织所致【Salemis 2007】。有症状的肝囊肿在女性中更为常见(女性与男性比例为 9:1)【Bahirwani R 2008】。肝囊肿通常不会损害肝脏或其他器官的功能;然而,由于对胆道、血管和胃肠道的机械性压迫,会导致肝功能障碍或血液供应和肠道的通过障碍。虽然不具有特异性,但由肝囊肿生长和压迫引起的患者主诉包括腹部不适、疼痛、腹胀以及恶心、呕吐、饱胀感和早饱等饮食症状【Lantinga 2013 Mavilia 2018】。
|

