在新的指南2021 ETA/CIRSE中,作为多模式治疗方法的一部分,建议将MITs(微创治疗)用于:
- 有手术并发症风险或拒绝重复手术的患者、 - 生长缓慢的DTC(Differentiated thyroid cancers)淋巴结转移患者、 - 放射碘难治性局部复发患者、 - 远端放射碘难治性转移患者 - 作为多模式治疗方法的一部分
甲状腺消融技术的选择包括激光消融(LA)、射频消融(RFA)、微波消融(MWA)和冷冻消融(CA)。
欧洲甲状腺协会(ETA)和欧洲心血管介入协会(CIRSE)指南关于甲状腺癌的治疗的选择 治疗推荐 5,6,7,8 治疗低风险原发性甲状腺乳头状癌
对于有手术并发症风险或拒绝重复手术的患者,可以考虑进行甲状腺微创治疗。TA是一种替代即时手术的治疗方法。
治疗推荐 11-12-13:治疗甲状腺乳头状癌局部复发
术前手术甲状腺切除术,放射性碘难治性和局部复发累及的DTC 患者采用超声引导下的RFA治疗
建议13-14:淋巴结复发的治疗既往手术甲状腺切除术,放射性碘难治性和淋巴结复发累及的DTC患者采用超声引导下的RFA治疗
建议18: 肝转移的治疗既往手术甲状腺切除术和肝转移的PMTC患者已接受经动脉入路TARE治疗
建议18:肝转移的治疗既往手术甲状腺切除术和肝转移的mtc患者采用经动脉入路治疗
经皮右股动脉穿刺,选择性肝动脉插管,经同轴微导管灌注Y90的TeraSphere微粒,总活性为0.903 GBol
建议15-16:骨转移的治疗。DTC患者既往手术甲状腺切除术,放射性碘难治性和疼痛性骨转移已通过经动脉栓塞治疗病变,然后进行CT引导下4探针冷冻消融。
ETA/CIRSE指南推荐了在甲状腺恶性病变中使用微创治疗。包括热和冷冻消融技术和动脉内入路,保证了DTC复发和淋巴结/远处转移患者的量身定制治疗。
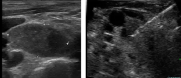
甲状腺癌复发消融
复发性甲状腺滤泡癌,累及气管
![]() ![]()
24例甲状腺乳头状癌46例异时性转移淋巴结报告肿瘤进展、治疗至最后随访的病程流程图
- CM颈部淋巴结转移、 - DM远处转移、
- Pt患者,淋巴结转移 Pt patient, In lymph node,
- 经皮激光消融 PLA percutaneous laser ablation
- LTP 局部肿瘤进展
![]()
用Cox回归模型估计局部肿瘤进展的总时间
L:lung
影像引导下的热消融治疗ptmcs安全有效,可作为手术和主动监测的替代治疗方法,可用于特定病例的减体积,可用于复发性甲状腺癌,可作为淋巴结转移患者手术的有效替代方法
![]()
原发性甲状腺癌和淋巴结转移 PROS
并发症比常规手术少 比手术便宜 住院时间短可恢复正常活动 保留甲状腺功能 比主动监测更容易被患者接受(治疗肿瘤) | ||||||||||||||||||||||||||||||||||||||||||||||||||||||||

































