经皮乙醇注射:在超声引导下,将20-22G针头插入囊性结节。几乎完全抽吸囊性内容物,然后注入约为原始体积50-70%的无水酒精。
轻度敷料压迫 敷10分钟后再抽吸。
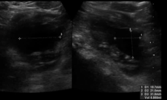
53岁男性患者因颈部前部左侧可见肿块并伴有突发性失音和轻度左上睑下垂(霍纳综合征)而就诊于急诊科。怀疑为颈部浸润性肿瘤,CT扫描显示左侧甲状腺叶有一个巨大的囊性结节,直径160 mL
经外科转到介入。超声引导抽吸(细胞学分析),随后皮质类固醇周期和言语治疗,使声音完全恢复。
几个月后发现肿块复发,超声检查证实为囊性复发。在硬化前进行抽吸和第二次细胞学检查以确认良性
10ml 无水乙醇硬化治疗
本病例强调了介入放射学在治疗有症状的良性甲状腺结节中的作用。对于完全或主要囊性结节,吸出后用乙醇治疗硬化是一种快速、安全、可靠和经济的治疗方法。即使非常大的结节能够压迫喉返神经和戏剧性的临床表现,也可以成功地使用这种方法治疗。
|

















