Thyroid artery embolization for Goiter reduction,TAEGR 甲状腺肿大减容动脉栓塞
本栏目目标
学习者将能够: 1. 根据ATA指南了解甲状腺肿的类型和当前的治疗标准 2. 确定介入放射学模式(栓塞、RFA)能够支持和补充手术和药物治疗计划的情况。
3. 发展栓塞治疗甲状腺肿的方法,包括临床检查、设备选择、术中药理学管理、术后随访和并发症管理。
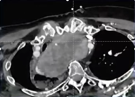
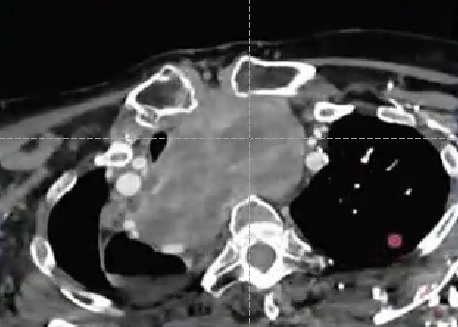
甲状腺肿大
没有大小共识 No size consensus;
;
根据杜克外科; 甲状腺体积是正常(~ 15ml)的两倍。
病因:不是癌症,但5%会含有甲状腺癌(PMID 31542786)
有争议,尚未达成共识。
|




