病例1
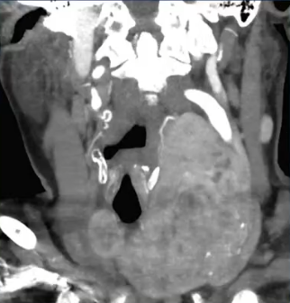
50岁甲状旁腺功能正常女性,表现为进行性固体食物吞咽困难。仰卧呼吸困难(侧卧而不是仰卧),声音嘶哑,甲状腺肿大
![]()
![]()
完全甲状腺切除术
放射性碘消融术
栓塞治疗(TAEGR)
![]()
方法和设备
![]() 术后过程 ![]()
轻度颈/肩不适(泰诺+阿德维)
无症状一过性高fT4 (第7、30天检查)
IR诊所和内分泌诊所随访: 如果心悸,考虑每日服用美托洛尔25毫克,
病例2
70岁女性,毒性多结节性甲状腺肿导致进行性难治性吞咽困难、窒息发作和呼吸困难
初始甲巯咪唑治疗控制甲状腺功能亢进,但进行性呼吸困难,随后放射性碘生化结果:失败-重新启动甲巯咪唑。影像学结果:缩小不明显,临床结果:咳嗽导致吸入性肺炎,现难治性症状经内分泌科、耳鼻喉科、胸外科、介入放射和影像学评估
完全甲状腺切除 Completion Thyroidectomy
Definitiva bulk raduction 治疗标准(ATA指南) Standard of care (ATA Guldelines) 合并症(既往中风,服用香豆素) Comorbidities (prior stroke, on coumadin) 胸骨切开/胸骨切开 Manubriotomy/Sternotomy 术后瘢痕,颈部瘢痕 Post-surgical scarred, hostilo neck
复发性神经损伤 Recurrent nerve irjury·→Voice loss 失声
复发性神经损伤Recurrent nerve injury.→Tracheostomy气管切开术
合成腔依赖Synthrold dependence
Hypoparathyroldism risk 甲状旁腺功能低下风险 放射性碘消融 Radioactive lodine Ablation 非手术性但因1-131术后尿失禁住院 Non-procedural but inpatient for herCurinary incontin ence after 1-131) Already falled this treatment 甲状腺微创 Thyroid RFAMinimally invasive, 门诊设备可用性 outpatient Device availability 胸后Retrostermal access 栓塞术(TAEGR)Embolization (TAEGR) 微创,Minimally invasine, 门诊outpatient
,
术后疗程:
轻度颈部/肩部不适 完全由对乙酰氨基酚+布洛芬治疗 无症状一过性高fT4 继续使用甲巯咪唑治疗 临床随访- 介入r门诊和内分泌 门诊等待随访中
| ||||||||||||||||||||
















