液体栓塞剂的学习目标 描述在哪些临床情况下会使用液体栓塞剂,并阐述用于选择更优栓塞剂的临床数据,以监测手术的成功情况。 简单的回答是:液体栓塞剂被用于...
1. 血管内路径 endovascular
2. 经皮路径....
AVM(多血管入/出路的)
动脉瘤(假性) 阴茎深背静脉(勃起功能障碍) 消化道出血 Gl-bleeding ? 精索静脉曲张varicocele 盆腔淤血综合征(PCS) 门静脉栓塞 食管静脉曲张栓塞 主动脉支架内漏 动脉瘤样骨囊肿 ABC 肝癌 HCC 多发神经内分泌癌 mNET 转移性肾癌mRCC .......... 找到理想的患者是非常重要的 栓塞剂的种类,我们有很多可供临床选择和应用的栓塞剂,还有更多的产品在等待上市,或正在研究中 胶 Glue NBCA 碘油 Lipiodol Onyx 无水酒精 栓塞物的选择是 一项具有竞争力的决定,意味着一种临床情况,多种液体栓塞剂都在考虑中,甚至弹簧栓,血管塞,微粒栓塞材料。在很多情况下是栓塞材料的联合应用
![]() 影响栓塞剂选择的因素
手术/病变类型(例如:静脉畸形 vs. 动脉畸形) type of procedure /lesion (e.g. VM vs. AVM)
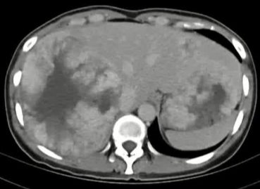
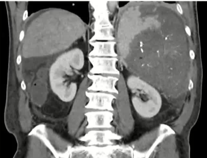
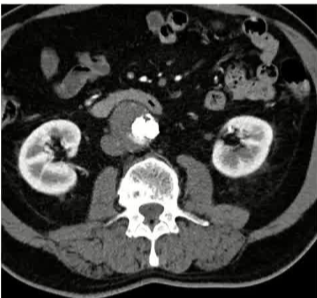
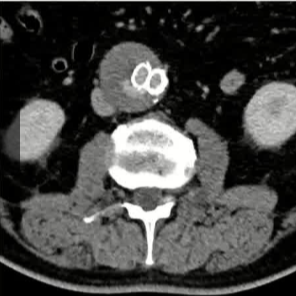
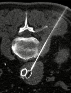
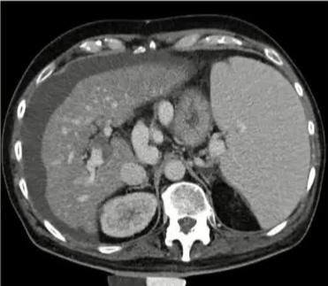
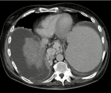
栓塞材料的可及性(例如病灶栓塞材料的可到达性)accessability (e.g. reachability of the nidus) 栓塞的预期深度intended deepness of embolization 如果需要让栓塞填满最后1mm 预期效果(例如:门静脉栓塞的炎症)intended effect (e.g. inflammation in PVE) 凝血状态(达到止血效果所需的时间)coagulation state (duration until hemostasis) 并发症(过敏、心律不齐、肺动脉高压、肝纤维化等)comorbidities (allergies, arrythmia, pulmonary hypertension, lung fibrosis etc.) 处于危险中的结构(包括下游部分-downstream和反流部分) structures at risk (downstream & backwash) 靶病变定位(浅层与深层) target lesion localization (superficial vs. deep) 不会选择一些会引起炎症的东西,因为那会病人来说真的很痛苦浅层病变 栓塞所需的速度(例如:危及生命的出血情况)required speed of embolization (e.g. life threatening hemorraghe) 院外专业人员(DSA技术人员和介入放射科医生)local expertise (technicians & IR's) 可用性与定价 availabilty & pricing Patient assessment for the choice of the ideal liquid emboli 影像学 62岁 男性
体检 脱掉病人的衣服!!!
腹腔侧支循环
腹水 水肿 jaundice 男性乳腺发育症 多血管蜘蛛状结构(提示存在食管静脉曲张) 肝掌 (palmar erythema) 指表皮或真皮层受刺激后毛细血管扩张引发的局部皮肤发红现象 和患者说话
肝性脑病
数字连接实验 ![]()
细胞溶解的指标(天冬氨酸转氨酶、丙氨酸转氨酶)
胆汁淤积(总胆红素、γGT) 肝细胞的合成功能(国际标准化比值、白蛋白) 脾亢(血小板计数) ![]()
临床评估以确定最佳方案 液体栓塞剂 - 栓塞术前成像
总结 look Talk Touch Think ![]() |




























