六、载药微球技术上的考虑
药物荷载方法和微球大小不同时表阿霉素荷载微球的洗脱特征【12】 ![]() 两种方法
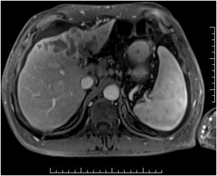
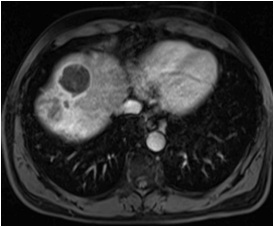
女 75 肝癌
肝左叶染色和栓塞
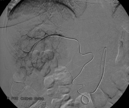
1. 需要超选择血管导管置入?Catheter Placement Selective? 这是必须的,因为可以 2. 较好地微粒控制(Better control) 3. 最少的返流(Minimize reflux)以及 4. 微粒在瘤内的可视性好(Better visualization of beads)。 5. 应用C-arm CT可以在栓塞前,验证栓塞的正确性。肿瘤可视(visualize the tumor)
技术成功的证明,意味着可以获得预期中的肿瘤反应,也意味着药物灌注到肿瘤段(Perfusion tumor segmentation) 6. 与造影剂混合比例 4:1 7. 注射缓慢,每分钟注射1ml;避免导管嵌顿在血管中保留血流动力学;间断晃动注射器,使微粒均匀;稀释很重要
8. 灌注终点是计划中的剂量完全灌注到肿瘤内 9. 发生反流前停滞或肝动脉2~3级分支停滞,返流前停止注射
10. 停止注射后,10分钟再造影观察,是否需要再注射 11. 不需要进一步不含药物的空载微粒注射 12. 治疗终点:一次治疗完全去血管化,还是多次治疗实现去血管化。
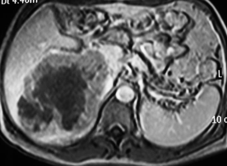
MRI 显示完全坏死,29个月没有复发。
男,49,巨大肝癌,DEB-TACE
药物洗脱微球的原理得到体外实验、实验病理、临床病理和临床实验的证实。在技术上的考虑接近达成共识:
DEB-TACE的结果
DEB-TACE 在技术考虑上正朝标准方案努力
No visible – off target embolization
no off-target embolization
no off-target embolization
Target and non target embolization
七、载药微球安全性研究
安全性研究
30 patients clinical and pharmakokinetic study Randomized for TACE vs HepaSphere treatment【9】
significantly lower (Cmax) of doxorubicin and smaller (AUC) with Hepasphere (mean Cmax 495 ± 293.9 ng/ml, mean AUC 69.7 ± 26.9 ng/ml min) compared to controls (mean Cmax 1,928 ± 560.8 ng/ml, mean AUC 165 ± 32.3 ng/ml/min; both p < 0.001).
van Malenstein 等人【9】的研究DE-TACE没有Grade 3或4 骨髓毒性,肝酶的升高也不明显。
(责任编辑:Mr.Editor) |


















































































