背景TIPS和门静脉血栓形成
对于患有门静脉血栓(PVT)的患者而言,进行经皮经肝穿刺门静脉取栓术(TIPS)的依据是什么?
通过何种方式可到达门静脉以进行治疗? 这是否是一种比其它经皮途径更安全的通路? 经颈静脉肝内门体分流术(TIPS)是否有助于保持门静脉的通畅? TIPS是否能便于再次到达门静脉/脾静脉? 在这些患者中进行/尝试进行 TIPS 手术可能会存在哪些潜在的弊端? 如上所述门静脉海绵样变面临诸多的临床问题,本栏目先解答“对于患有门静脉血栓(PVT)的患者而言,进行经皮经肝穿刺门静脉取栓术(TIPS)的依据是什么?” TIPS 与 门静脉海绵样变再通术的比较
这个问题实际上取决于血栓形成的程度。
在急性阶段,如果肝脏功能正常,血管再通比经颈静脉肝内门体分流术(TIPS)更为重要。
通过TIPS(小TIPS)可以将血液回流至肝窦,进行抗凝治疗。
而在慢性阶段,如果存在门静脉高压症,则TIPS的作用更为明确。
此时肝脏已经接收到了较少比例的第一通过门静脉的血液。
经颈静脉肝内门体分流术(TIPS)的生理学依据这在一定程度上取决于门静脉血栓形成(PVT)的病因。
如果肝脏为正常状态(10%-30%),(为肿瘤、炎症性肠病、易形成血栓状态、特发性),此前无任何问题。观察肝硬化的相关症状,可能需要进行活检(TJLBx),通过经颈静脉肝内门体分流术(TIPS)来恢复门静脉的通畅性不太可能实现。
事实上,TIPS 所提供的低阻抗旁路会使抗凝药物绕过肝内门静脉中的血栓,这可能会导致肝功能受损以及肝性脑病。 这段话的核心结论是:对于正常肝脏这种特定情况的病人,使用TIPS来疏通堵塞的门静脉,效果不好,不是首选治疗方案。 原因在于病人的肝脏基础功能很好,问题的根源很可能不在肝脏本身。TIPS在非肝硬化性门静脉血栓(PVT)中的应用:一个复杂的权衡
这里描述的情况——“肝脏为正常状态……此前无任何问题”——正是问题的关键。在这种情况下,TIPS的生理学逻辑发生了变化,风险收益比也完全不同。
1. 为什么要考虑TIPS?(潜在的积极依据)
对于非肝硬化PVT,考虑TIPS的唯一主要理由是:
恢复门静脉通畅性:对于急性或亚急性PVT,特别是血栓蔓延至肠系膜上静脉,有肠缺血风险时,通过TIPS建立的通道,可以为抗凝药物(如溶栓剂)提供一个直达血栓的路径,并结合机械取栓等手段,试图再通门静脉。这是一种“血管再通疗法”而非单纯的“分流减压疗法”。
2. 为什么说“不太可能实现”且风险很高?(核心矛盾与风险)
精准地指出了在肝功能正常者中行TIPS的巨大风险,其生理学依据如下:
风险一:窃取肝动脉血流与肝功能受损
正常肝脏的双重血供:正常肝脏约70-80%的血供来自门静脉,20-30%来自肝动脉。两者在肝窦水平汇合。当门静脉血流因血栓而减少时,肝动脉会代偿性扩张,增加供血(称为“肝动脉缓冲反应”),以维持总肝血流量和肝功能。
TIPS的破坏性效应:一旦建立了TIPS这个极低阻抗的通道,门静脉血流会大量经此短路直接汇入体循环,而不再灌注肝窦。这会导致:
门静脉血流方向逆转:从向肝血流变为离肝血流。
肝动脉“窃血”:大量血流被TIPS“偷走”,肝动脉的代偿机制被破坏,可能导致总的肝血流量严重不足。
后果:即使肝脏本身是健康的,长期处于这种低灌注状态,也可能导致肝细胞萎缩、肝功能不全甚至肝衰竭。这就是您提到的“可能会导致肝功能受损”。
风险二:肝性脑病(HE)
肝脏的首过效应:肠道吸收的氨、γ-氨基丁酸等毒素,正常情况下会通过门静脉进入肝脏,被肝脏代谢清除。
TIPS的绕行效应:TIPS使得这些肠道来源的毒素绕过肝脏的解毒作用,直接进入体循环,抵达大脑。
后果:在肝硬化患者中,这已是常见并发症。在一个肝功能原本正常的患者身上,人为造成如此大量的毒素直接入脑,诱发严重肝性脑病的风险极高。
风险三:技术难度与长期通畅性
在非肝硬化患者中,肝脏质地正常,穿刺和支架置入的操作难度更大。
没有肝硬化的高压环境,TIPS支架内血栓形成的风险也更高。
上面那句话有一点晦涩,换句话说:在肝切除术前,任由门静脉分支保持血栓形成的理论结果,与先进行门静脉栓塞术再进行切除的结果基本相同。
其实不尽然,PVE: 门静脉栓塞术。这是肝切除术前的一个有计划、有控制的步骤。目的: 当需要切除一大块肝脏时(比如右半肝),为了确保剩下的肝脏(左半肝)能够代偿并维持生命功能,医生会有意堵塞即将被切除那部分肝脏的门静脉分支。堵塞后,血流都流向要保留的肝脏,使其在几周内增生、变大(称为“未来肝脏残余”增生)。这样,手术就更安全,术后肝功能衰竭的风险大大降低。
PV branches thrombosed(门静脉分支血栓形成): 这通常指的是一种病理状态,比如因为肝脏肿瘤侵犯门静脉(如肝癌门静脉癌栓)或凝血功能障碍等原因,导致门静脉分支自发地形成了血栓,堵塞了血管。
以上话是在比较两种不同情况下的相同生理结果:
情况A(计划性的): 进行PVE。主动堵塞门静脉分支 → 血流改道 → 未来肝脏残余增生。
情况B(病理性的): 门静脉分支已经因为血栓而堵塞。被动地接受这个事实 → 血流同样会改道 → 未来肝脏残余同样会增生。
所以,“理论后果”指的是“未来肝脏残余的体积增大”。
这句话虽然说的是“结果基本相同”,但在临床实践中,这两种情况有天壤之别:
PVE: 时机是可控的。医生在栓塞后,会等待3-6周,让肝脏充分增生,然后选择最佳时机进行手术。
自发性血栓: 是不可控的。血栓可能不稳定,有脱落和扩散的风险,并且可能伴有炎症,影响患者状态。医生没有“等待增生”的这个准备期。
肿瘤学意义:
PVE: 通常在肿瘤未侵犯主要血管时进行。
自发性血栓(尤其是癌栓): 这本身就是一个负面的预后指标,意味着肿瘤更具侵袭性,分期更晚。处理起来更复杂,可能需要更广泛的手术(如取癌栓)。
手术难度:
自发性血栓可能使血管的解剖结构更复杂,增加手术难度。
慢性门静脉血栓病例中使用 TIPS 的原理
在这些情况下(至少 70% 的病例中)门静脉已经出现高血压症状
血液难以正常流入门静脉小静脉。 主要的临床问题是门静脉高压的症状以及胃肠道出血。 介入医生的任务是止血。 经颈静脉肝内门体分流术(TIPS)可以缓解门静脉高压,功能不良的肝脏将通过二次代谢继续运转,可能需要药物治疗或肝脏移植来辅助治疗。
从纯粹的‘血流动力学’和‘肝脏再生’理论角度来看,无论是有意地栓塞门静脉,还是它自己长了血栓,最终都会导致同一个结果:需要被保留的那部分肝脏会因为血流的重新分布而长大。因此,如果一个病人的门静脉分支已经因为血栓堵住了,那么在理论上,他其实已经‘自动’完成了类似PVE的预处理步骤。
但请务必记住,这只是“理论后果”相同。 在实际的临床决策中,医生会高度重视这两种情况在病因、可控性、肿瘤学风险和手术复杂性上的巨大差异。
临床表现的程度(Acuity)
严重的、急性且危及生命的门静脉血栓形成症多见于肝脏正常、伴有其他疾病(如术后并发症、易形成血栓状态等)的患者。
伴有腹痛及肠道缺血的情况 使用抗凝剂治疗后,大多数患者会有所好转,但有 10% - 20% 的患者治疗无效。 对于这些患者,应进行经皮经肝的血栓性门静脉(PV)穿刺、溶解、抗凝治疗,通常效果是足够的,越早发现病情越好。 经颈静脉的通路不建议作为首选方法,因为接受溶栓治疗的患者其并发症风险较高。 使用 t-PA 治疗后,肝内血流情况良好,且可见外周门静脉分支血管,继续使用 t-PA,并进行抗凝治疗。
急性门静脉血栓的TIPS
为那些对溶栓治疗反应不佳的患者预留床位
这些患者通常就诊较晚,且诊断有误,其肝脏发展为肝硬化的可能性很大。 经颈静脉肝内门体分流术(TIPS)能够维持或促进门静脉系统和脾静脉系统的通畅。 采用初始的经皮穿刺途径有助于实现 TIPS 手术。(初始经皮经肝导管作为门静脉穿刺标记) 门静脉与体循环之间的压力差有助于做出这一决定,但在没有血流情况明确的情况下,其准确性存疑。
急性病例,已有肠道缺血的迹象,经皮穿刺入路,尿激酶溶栓(t-PA),血流不畅,转为经颈静脉肝内门体分流术(TIPS),抗凝治疗
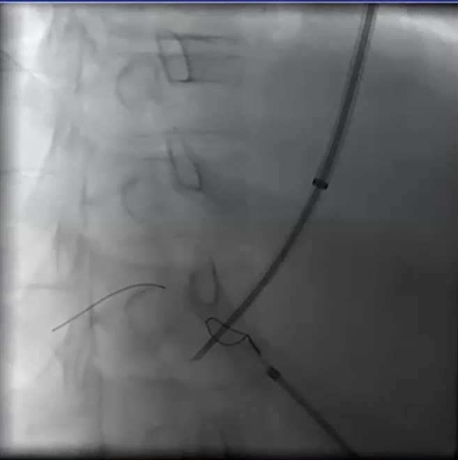
从技术层面来讲,要准确击中“PV 锁定点”并非易事,这个点的位置比预期的要靠后,需要使用斜位来瞄准发力。
急性门静脉血栓(续) 对于那些成功实施经颈静脉经肝到达门静脉内急性血栓内,并进行了溶栓和抗凝治疗的患者,是否应该进行经颈静脉肝内门体分流术(TIPS)呢(放支架)? 这一问题存在争议。 。一个过于激进的TIPS手术,导致门静脉分支没有血流,从而发展成肝硬化 妥协的操作是设置一个“小TIPS”,即放置一个直径较细(直径5毫米左右)的TIPS裸支架,溶栓导管经支架通过,进行抗凝和溶栓治疗后,同时保留 TJ 对 SMV/PV 的访问权限,以防再次发生血栓情况。 一例术后急性门静脉血栓病例,最终影像显示门静脉根部血流情况良好,这还不够理想,担心会再次发生血栓,且门静脉压(PSG)超过 12 毫米汞柱,因此增加了经导管动脉溶栓术(TIPS)的治疗方案。
|
![]() |
![]() |
![]() |
![]() |
![]() |
![]() |
慢性门静脉血栓形成和经颈静脉肝内门体分流术
这些患者大多表现出门静脉高压的症状,而非缺血症状。通常还会伴有出血现象,这使得溶栓药物的使用变得困难。
此外,患者肝脏通常较小且为肝硬化状态,可能还存在海绵状转化,因此经皮穿刺并非可行的选择。
在这种情况下,“Salem ”技术是最佳选择,即进行脾脏穿刺,疏通血栓,放置圈套器,并引导经颈静脉肝内门体分流术(TIPS)操作。
异常肝脏中的 PVT
大多数原发性肝性脑病病例发生在肝硬化患者身上,并且通常为慢性病症。
在这些情况下,异常肝血窦中的高阻力会在溶栓成功后导致持续的高门静脉压力,从而可能引发再次血栓形成。
这些患者将从减压型经颈静脉肝内门体分流术(TIPS)中获益。
此外,TIPS 术后血流速度(SMV/SV)的增加有助于维持静脉的通畅性。
经颈静脉肝内门体分流术(TIPS)可能会引发这些患者出现肝性脑病(HE),不过这种情况可以通过药物治疗来控制。
采用 TIPS 通路作为门静脉入路怎么样呢?
最初,在 PVT 病例中,经颈静脉入路是被考虑的主要通路。然而,这种方法试图进入血栓化或缺失的门静脉存在很高的难度。其可能造成的创伤,有可能使用溶栓药物/肝素的情况造成出血并发症。后来已经尝试了多种方法来改善这一通路。
TIPS 在慢性门静脉血栓形成伴海绵状变性中是被初始考虑的主要通路
![]() |
![]() |
![]() |
TIPS 的风险
在进行门静脉血栓治疗时施行经皮穿刺取栓术所增加的额外风险主要是由于创伤所致。 从技术层面来看,要穿刺进入血栓形成的血管是相当困难的,而且有可能会反复出现成功与失败的情况。 降低风险的方法包括对静脉瓣进行成像,或者安装一个装置来引导穿刺操作。
通过经皮经脾路径具有显著优势,能够使用 4Fr 细导管和导丝进行逆向再通操作,以 10 毫米的圈套器作为经颈静脉穿刺目标,通过Avitene 完成经颈静脉门静脉穿刺。
![]() |
![]() |
![]() |
门静脉血栓TIPS并发症
无论是在急性病例还是慢性病例中,如果能够成功置入一个稳定且有覆膜的经颈静脉肝内门体分流术(TIPS)支架,那么并发症及其影响都会得到减轻。 任何腹腔内的出血都应得到控制(除非是由于腹主动脉损伤所致) 缓解门静脉高压,减少静脉曲张引起的出血。关于“清除”门静脉的各种方法本站在其它栏目已经有所介绍。
门静脉血栓TIPS适应症总结
PVT 是急性病症还是慢性病症?
如果病情严重且肝脏本身状况良好,应着重进行溶栓和抗凝治疗,那么经颈静脉肝内门体分流术(TIPS)可能并非必要,而且并发症可能会干扰治疗进程。
如果慢性门静脉血栓,需要长期促进血液循环并缓解门静脉高压,经颈静脉肝内门体分流术(TIPS)则非常有用。
























