经皮经肝,经皮经脾以及经肠系膜静脉使不可能的TIPS可能 未被满足的需求 此前已探讨过 PVR-TIPS 在等待移植的肝硬化患者中的作用 大量非肝硬化患者的病例
中年
胃部袖状切除术 胃部切除术、 COVID 相关门静脉血栓形成 高凝状态
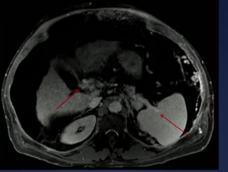
50岁 男性, 外科医生,25 年前的 PVT;目前胸水,工作繁重,生活受限,每周一次胸水引流,由于慢性肺静脉血栓形成而进行的移植手术
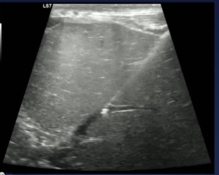
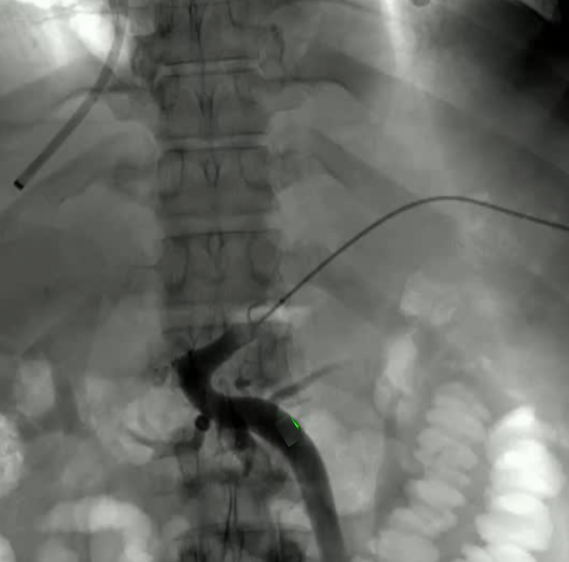
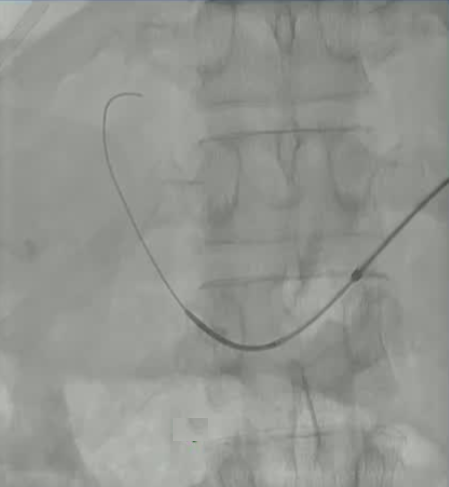
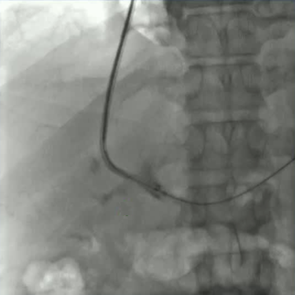
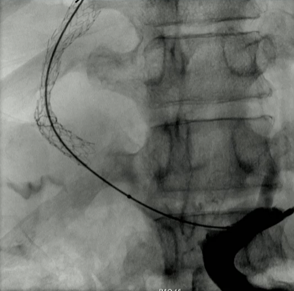
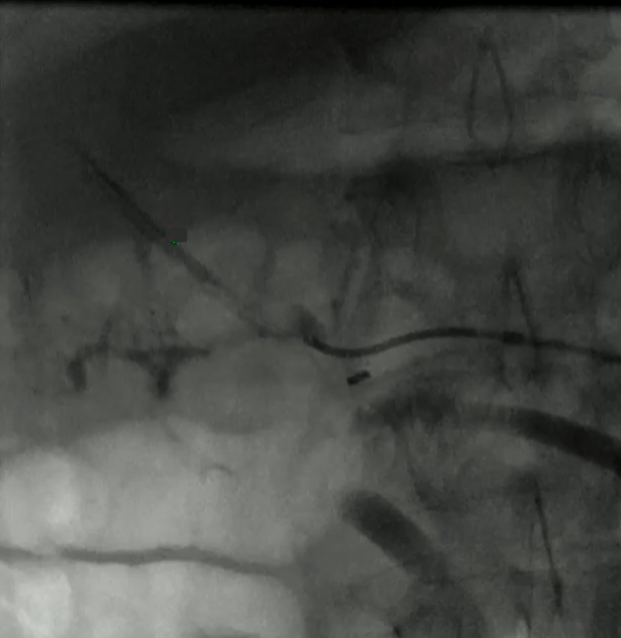
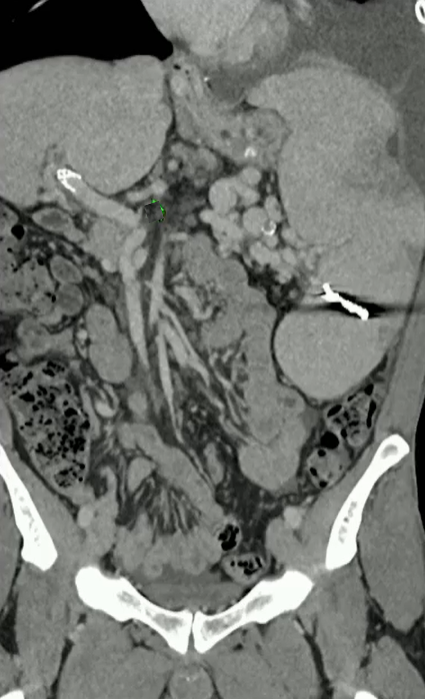
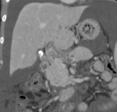
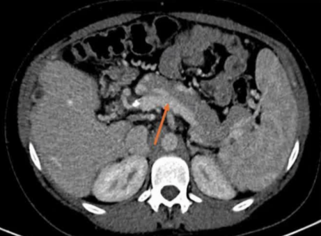
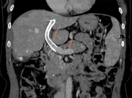
该程序包含以下步骤: 经脾脏入路:在超声引导下,刺穿脾静脉内的一个实质内分支。 在通过脾静脉造影确认了静脉通路后,导管和导丝被推进,以穿过脾静脉并抵达血栓化的门静脉。在门静脉/右门静脉分支处放置圈套器,为TIPS穿刺精准定位。TIPS穿刺圈套器,并穿过圈套器完成TIPS
步骤: 鉴于慢性血栓形成的复杂性: 一种经脾脏途径的门静脉再通术(PVR)。 随后是经颈静脉肝内门体分流术 。
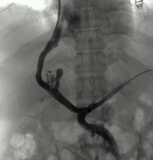
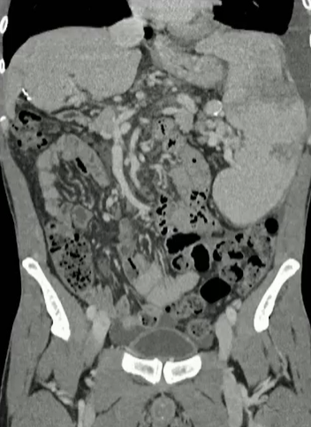
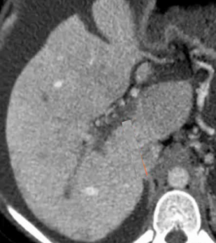
结果:术后影像学检查显示门静脉和脾静脉的血流情况有所改善,且残留血栓极少。
通过经颈静脉肝内门体分流术(TIPS)治疗慢性门静脉血栓时所涉及的技术复杂性和决策难题,尤其是在标准方法因血栓程度过重而无法实施的情况下更是如此。 采用脾经脏穿刺术治疗门静脉高压症的方法证明能够有效克服这些难题,从而成功实施了经颈静脉肝内门体分流术(TIPS)。 PVR-TIPS 作为一线治疗方案:PVR-TIPS 为慢性门静脉血栓的治疗提供了一种技术上可行的解决方案,克服了标准 TIPS 安装所面临的难题。 持久效果:该干预措施不仅恢复了门静脉的血流,而且在后续随访中还显示出持续的通畅性以及血栓的完全消散。
| ||||||||||||||||||||||||||||||||||||||||||||||||||||||||||||||||
































