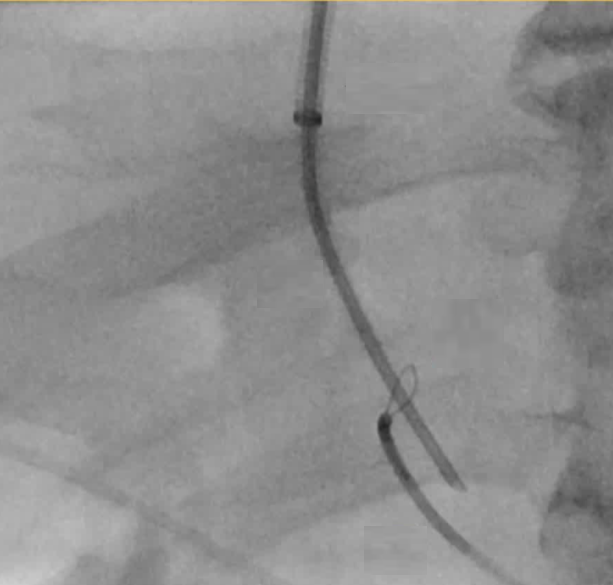
门静脉血栓形成(Portal vein thrombosis, PVT)可分为急性门静脉血栓,慢性门静脉血栓,大概还有慢性门静脉血栓急性发作。门静脉血栓导致门静脉慢性闭塞(Portal vein chronic occlusion of Portal vein, PV)【Kallini JR 2016】,可能导致门静脉高压症,且发病率不断升高【Meine TC 2022】。特别是在继发门静脉高压的情况下,门静脉再通术(PVR)和经颈静脉肝内门静脉系统分流术(TIPS)是治疗慢性门静脉阻塞和门静脉高压的有希望的选择【Meine TC 2022,Malik A, 2022 】。 慢性门静脉血栓开通可考虑 (1)经皮经肝路径 (2)经脾经脾路径 (3)经脾经颈静脉路径 (4)经肠系膜上静脉路径:在肝内门静脉正常的情况下可以直接开通门静脉,而肝内门静脉不正常的情况下,考虑经肠系膜上静脉路径行TIPSS PVR-TIPS( Portal Vein Recanalization–Transjugular Intrahepatic Portosystemic Shunt )重建门静脉流动,减压门静脉循环【4,5】。进入门静脉系统是PVR-TIPS的关键步骤。近年来,门静脉的经肝通路明显转向经脾通路【Habib A 2015】【Kallini JR 2016 】[然而,在某些情况下,经脾和经肝途径都不可行。少量病例报告将肠系膜静脉描述入路引导的PVR-TIPS的潜在替代通路]【Entezari P 2021 Ghosh A 2022】。 开腹肠系膜静脉入路 TIPS腹腔镜下肠系膜静脉路径TIPS腹腔镜辅助下直接经颈静脉门静脉接入术,以促进难以实现的门静脉再通以及经颈静脉肝内门体分流术(TIPS)的置入操作 46 岁男性,5 年前曾接受过胃袖状切除手术(减肥手术),现并发慢性门静脉血栓形成及门静脉高压,前来接受检查评估。 该患者此前曾接受过剖腹手术,并进行了肠道切除,以治疗由门静脉高压引发的肠系膜静脉缺血症。 尽管接受了强化利尿治疗,他仍需要频繁进行大量液体引流的腹腔穿刺术。 该病例被认定为具有挑战性,患者存在慢性中央门静脉血栓形成,并且血栓已通过脾静脉向外延伸。这使得门静脉的通路建立变得困难。 术前腹部增强CT 检查: 非肝硬化型肝脏形态。门静脉高压症的后遗症,包括脾肿大、腹水、上腹部静脉曲张(门静脉侧支,胃底食道静脉曲张)。 肝内门静脉及脾静脉闭塞。 肝外门静脉、肠系膜上静脉。 和胃袖状切除术后胃部变化影像。
成功实现了经肝通路对门静脉系统的接入,但该接入方式显示出的是一个迂曲的肝周静脉网,且没有合适的肝内门静脉靶点用于进行经颈静脉肝内门体分流术(TIPS)的置入。因此,决定寻找其他途径接入门静脉系统,以便在 TIPS 术前进行再通处理。 通过有限的脐上剖腹探查术,在直视下对肠系膜上静脉的一个分支进行了插管,从而能够置入一个 6 号规格的鞘管。 随后通过该通道实现了对中央/肝内门静脉的直接再通。接着,从肝门静脉窦通道取出一个套管,将其置入肝内门静脉系统,从而能够从中肝静脉进行穿刺操作。 凭借这一通道,椎间盘源性疼痛的手术置入操作得以顺利完成。 患者开始使用克赛(lovenox),并在手术后 3 天出院。 该患者无需再次进行腹腔穿刺,但在经颈静脉肝内门体分流术(TIPS)术后 2.5 个月,因中再次央门静脉狭窄接受了 TIPS 血管成形术并置入了中央支架延伸段。 此病例展示了在慢性中央门静脉血栓形成等复杂情况下通往门静脉系统的其他通路,从而能够进行经颈静脉肝内门体分流术(TIPS)的实施,并对门静脉高压症进行治疗。 1) 传统的门静脉通路方法包括经颈静脉、经皮经肝以及经皮穿刺脾内通路等。 2)若经颈静脉、经肝和经脾的通路均无法使用,则可考虑采用经肠系膜静脉通路进行操作。 3)在腹腔镜手术辅助下或开腹SMV穿刺术,是一种适用于慢性门静脉再通手术的、安全的门静脉穿刺方法。 除了开腹肠系膜静脉或腹腔镜下肠系膜静脉穿刺,也有作者探讨经皮超声引导下穿刺的安全性
“不可能”型 TIPS 的病例已经因经脾、经肝以及经肠系膜路径进入门静脉而缩小了。从慢性门静脉血栓过去的禁忌症已经成为常规的挑战。 IR 提供的服务已十分成熟:对于肝硬化患者,PVR-TIPS 可作为肝移植的过渡疗法;而对于非肝硬化患者,它则能解决未被满足的需求,惠及成千上万的患者。 IR 将继续发挥重要作用,助力实现使所有TIPS成为可能
|













