可降解栓塞微球 degradable microsphere
也称为Resorbable microspheres 可吸收微球 : 在接受子宫动脉栓塞(UFE)并使用永久性栓塞材料进行栓塞治疗后,患者往往会担心体内存在异物和塑料物质。 监管机构还担心人体内残留的某些物质可能会引发我们的免疫系统产生长期反应。(ISO-10993),越来越多的人开始关注可降解栓塞微球。

这篇法文发表的文章讨论了可降解栓塞材料在医学领域的应用和发展。栓塞术是一种通过故意阻塞动脉来治疗肿瘤、止血或排除血管畸形的方法。随着技术的进步,传统的永久性栓塞材料逐渐被可降解材料所取代,因为后者可以在完成治疗作用后被身体吸收,减少长期炎症反应,并允许重复栓塞。文章回顾了栓塞材料的历史演变,详细介绍了不同类型的栓塞材料及其优缺点,并探讨了当前研究中的一些挑战和进展。
栓塞是通过使用颗粒、弹簧栓子、液体栓塞材料等等栓子经导管堵塞小动脉,以达到坏死肿瘤、止血或排除血管畸形。
:
近年来,研究人员和工业界致力于将栓塞微球转化为完全降解的临时植入物,以确保治疗后血管的再通,便于重复栓塞、恢复子宫动脉功能、促进血管伤口愈合和肿瘤组织吸收,同时减少短期异物反应。
这种可降解材料可以在完成治疗作用后被身体吸收,减少长期炎症反应,并允许重复栓塞。这需要满足多个难以协调的要求,包括适应细小导管的注射、执行越来越复杂的治疗功能、可控的材料消失过程、无残留碎片和毒性,以及适当的灭菌方法。
文章核心观点在于,可降解栓塞材料在医学领域,特别是肿瘤治疗中的应用正逐渐成为一种革命性的趋势。尽管目前市场上可商化的可降解栓塞剂种类有限,且面临设计和制造上的诸多挑战,但近年来的研究进展表明,这一领域正处于快速发展阶段。可降解栓塞材料不仅可以避免永久性异物的存在,还能够实现药物的精确释放和血管的再通,为患者提供更加安全和有效的治疗选择。未来的研究将继续致力于优化材料性能,克服现有局限,推动这一领域的进一步发展。
这是CIRSE 2025 会上发表的一项研究
用于子宫肌瘤栓塞术的再吸收微球 resorbable microspheres for UFE
目标:
在充分使肌瘤组织发生缺血并在微球吸收后恢复血管通畅
子宫肌瘤梗死后的器官功能恢复及保护作用,包括
子宫肌层和卵巢
子宫内膜,
在妊娠期间促进血管扩张以利于胎儿生长
在子宫肌瘤复发的情况下,仍要保持对重复子宫动脉栓塞患者的治疗通道畅通。
安全性和有效性:改善生活质量,子宫肌瘤梗死的程度
材料/方法/结果
可降解的基于明胶的亲水性校准型 Nexsphere 微球。平均使用2.5安瓶 500-700μm,使用5安瓶 700-900
尺寸范围为 500 - 700 微米 ± 700 -900 微米的微球
进行了有目的性的单侧6例或双侧20例栓塞手术。
基于术前的磁共振成像特征以及血管造影信息
 |
 |
|
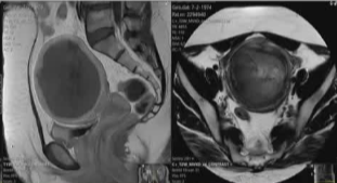
术前 |
术后 |
 |
|
双侧子宫动脉栓塞,右侧1安瓶 500-700μ吗,左侧4安瓶500-700μm +7安瓶 700-900μm 可吸收微球 |
收集并比较了基线及 3 个月时的生活质量调查问卷:— 采用经过验证的标准化 UFS-QOL 量表 获取了基线和 3 个月后的磁共振成像图像,并进行了对比:
子宫肌瘤梗死率 子宫肌瘤及子宫体积缩小手术
90% 子宫肌瘤梗死率
在其中一个病例中,两个肌瘤中只有一侧发生了梗死,这是通过单侧栓塞术实现的,目的是为了能够生育。
平均子宫肌瘤容积减少:最小185m³ 和44%
平均子宫容积减少 : 最少332cm³ 和 34%

并发症情况:没有并发症
研究的初步研究结果:新型的球形临时栓塞剂进行的 UFE 治疗:
- 确认了其安全性和有效性,且未出现任何操作上的并发症
- 纤维瘤梗死率极高(96%)
- 使用可吸收型耐斯pheres对子宫肌瘤进行栓塞后,女性的生活质量得到了改善。
相似的文献

研究背景与目的
背景:目前缺乏比较可吸收微球与永久性三丙烯明胶微球在UAE中应用的高质量数据。
目的:比较RM与TAGM在UAE治疗症状性肌瘤患者的疗效、术后疼痛、炎症反应及卵巢功能影响。
研究方法
设计:单中心随机对照试验,纳入60名症状性肌瘤患者,随机分为RM组(30人)和TAGM组(30人)。
主要终点:术后24小时内的疼痛评分(数字评分量表NRS)和芬太尼消耗量。
次要终点:炎症标志物、肌瘤坏死率、子宫动脉再通率、卵巢功能(抗缪勒管激素AMH)、症状改善及生活质量评分。
影像评估:术前及术后3个月行MRI评估肌瘤梗死和动脉再通情况。
主要结果
疼痛与镇痛需求:
两组在术后各时间点的疼痛评分无显著差异P >..99)。
芬太尼总消耗量亦无显著差异(RM组中位数423 μg vs TAGM组562 μg,P=.15)。
炎症反应:
RM组术后24小时的炎症标志物(白细胞计数、中性粒细胞百分比、NLR、CRP)显著高于TAGM组(P<.05)。
肌瘤坏死与再通:
两组在术后3个月的主导肌瘤完全梗死率均为97%,无显著差异(P>.99)。
RM组的子宫动脉再通率显著高于TAGM组(70% vs 17%,P<.001)。
卵巢功能:
两组术后3个月的AMH水平均较术前下降,但组间无显著差异。
提示UAE对卵巢功能有短期影响,但两组间无区别。
并发症与安全性:
两组在恶心、头晕、头痛等不良反应发生率上无显著差异。
RM组发生一例子宫肌瘤脱落并需宫腔镜取出。
结论
RM与TAGM在UAE治疗症状性肌瘤中具有相似的治疗效果和术后疼痛控制。
RM组表现出更强的炎症反应,但并未转化为更高的疼痛评分,可能与抗炎药物使用有关。
RM组的子宫动脉再通率显著更高,这可能为未来可能的再干预提供便利。
两组对卵巢功能的影响相似,均为短期下降。
研究局限性
单中心研究,操作者为同一名经验丰富的介入放射科医生。
样本量基于疼痛评分计算,可能不足以检测次要终点的统计学差异。
未评估长期疗效与再干预率。
临床意义
RM作为一种可吸收栓塞剂,在肌瘤坏死效果上与永久性微球相当,且术后疼痛控制良好。
高再通率可能为复发性肌瘤的二次栓塞提供更有利的解剖条件。
研究支持RM可作为UAE的安全有效选择,尤其适用于未来可能需要再干预的患者。
|