卵巢动脉解剖学
什么时候需要栓塞卵巢动脉?
出血
产后出血
术后出血
有症状的子宫肌瘤(出血至贫血、压迫、疼痛)
卵巢残余综合征:是指患者在接受了双侧卵巢切除术后,由于仍有少量卵巢组织残留于体内,这些组织继续发挥功能(分泌激素、排卵),从而导致一系列临床症状的综合征。
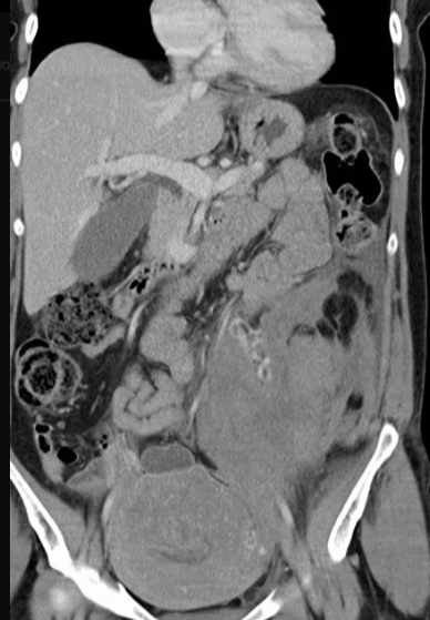
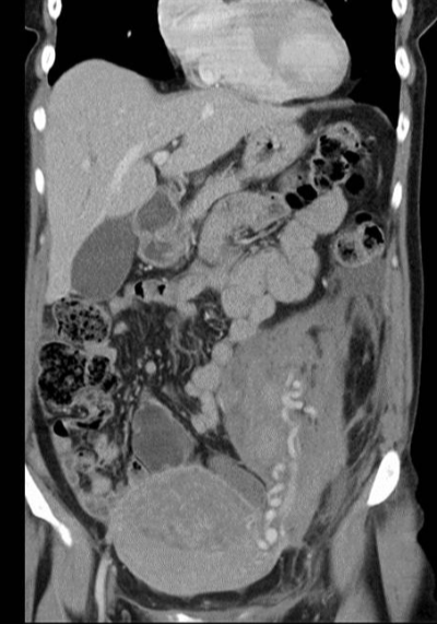
CT:卵巢静脉
卵巢动脉栓塞 子宫肌瘤栓塞术——最常用于卵巢动脉的治疗的场景
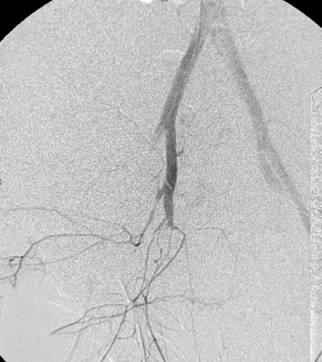
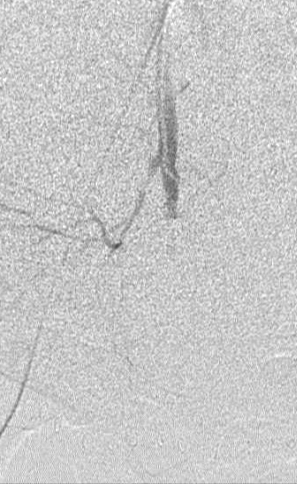
显影的卵巢动脉
在子宫肌瘤栓塞术前 -25%。(Binkert CA 2001)
UFE之后 -17%(White AM 2007)
栓塞前选择性子宫动脉血管造影 - 子宫 - 卵巢吻合
- 尽管如此,大量供血的情况仍然很少,还不到5%。绝大多数情况下子宫的供血来源于子宫动脉 - 卵巢动脉替代子宫动脉更为罕见,为1 ~ 2%。
- 网膜分支 - 腰动脉 - 圆韧带动脉
1. 孤立性卵巢动脉供应子宫肌瘤
Razavi Type II
Lippert Papst 1985 年解剖系列
子宫肌瘤栓塞术失败
补充性栓塞卵巢供血侧支循环通道
初始操作
在进行子宫肌瘤切除术/剖宫产手术并结扎子宫动脉之后
子宫动脉发育不良
后续操作
在子宫肌瘤疾病初次子宫动脉栓塞治疗失败后
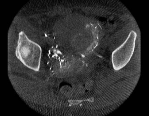
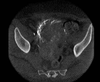
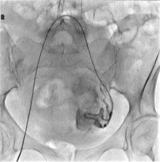
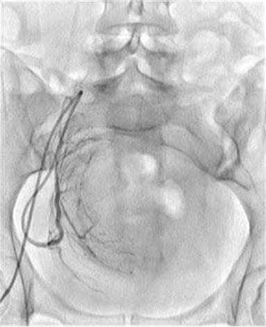
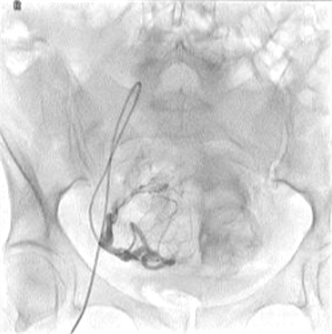
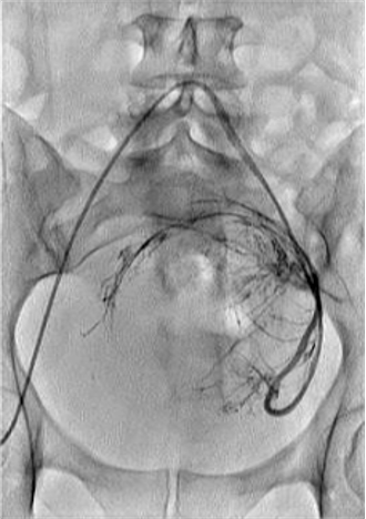
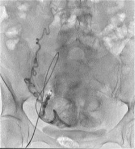
![]() 双侧子宫动脉发育不良 双侧卵巢动脉栓塞术 - 500 - 900 微米 未出现卵巢功能衰竭 ![]() 约10%-15%的患者在接受UAE后未见明显改善,其中一些病例可能是因为卵巢动脉提供了额外的血供。 文章通过回顾六例患者的治疗经验,探讨了卵巢动脉栓塞术(OAE)作为子宫动脉栓塞术(UAE)补充疗法的可行性和效果。研究发现,OAE能够成功地使肌瘤缺血坏死,并且大多数患者在术后症状有所改善。尽管存在技术挑战,但OAE似乎是安全有效的。此外,所有接受OAE治疗的患者均保留了正常的月经周期,这表明该手术可能不会导致卵巢功能丧失。然而,由于样本量较小,目前的研究结果尚不足以得出明确结论,需要进一步的研究来验证这些发现。 ![]() 评估在有卵巢动脉参与供血的症状性子宫肌瘤患者中,进行卵巢动脉栓塞术的安全性及临床结局。 共13名患者,均有症状性子宫肌瘤,且MRI或血管造影显示有卵巢动脉参与供血。并在初次或二次进行补充卵巢动脉栓塞术。
技术成功率:所有患者UAE+OAE均技术成功。
症状改善:10/13例患者症状改善或完全缓解,1例轻微改善,2例出现永久性闭经(均为47岁和48岁患者)。
肌瘤梗死率:7例完全梗死,4例>90%梗死。
卵巢功能:大多数患者月经周期正常,卵巢体积无显著变化。
并发症:仅1例出现穿刺点轻微刺激。
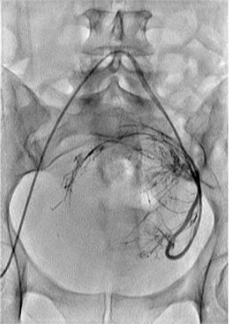
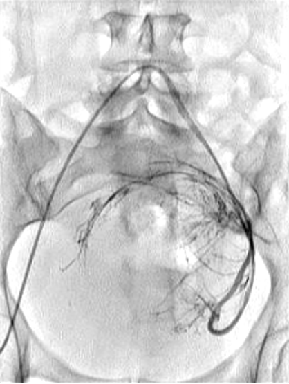
所有年龄超过 40 岁的患者, 卵巢受损 14%-43% 研究中闭经发生率(15%)与单纯UAE报告相似,可能与患者年龄(≥45岁)及卵巢储备自然下降有关。 ![]() 50岁,长期因子宫肌瘤导致月经出血过多,痛经和贫血。 子宫肌瘤栓塞术前,显示双侧子宫动脉发育不全,子宫肌瘤双侧卵巢动脉。 经皮股动脉穿刺双侧卵巢动脉栓塞,先500μm-700μm emboSphere 微球 术后4周,和6月的中短期随访,月经正常,子宫容积减少,贫血纠正,无卵巢功能衰竭。但看起来非灌注容积较少。 术后9月,由于子宫肌瘤持续存在,患者自己希望绝经,行全子宫和双侧卵巢切除术 术后病理,子宫内可见栓塞微粒伴有坏死,卵巢内也见栓塞微粒,但卵巢功能未受损。
双侧卵巢动脉栓塞术在选择性病例(如子宫动脉发育不全、卵巢动脉为主要血供)中是可行且有效的。
未引起卵巢功能衰竭,说明技术安全。
需长期随访以进一步验证其安全性。
卵巢动脉与子宫动脉的吻合 CTA?MRA? 铸造技术-微小的动脉血管网络以及微小的卵巢-子宫吻合口 【Quyang Z 2012 南方医院妇产科】 吻合口总是存在!anastomoses always there ![]() 血管铸型标本。A 子宫动脉,B 卵巢动脉,C 卵巢动脉-子宫动脉吻合口 卵巢动脉与子宫动脉的吻合 血液动力学对解剖结构的影响
子宫角的血液供应有所不同——在卵泡期和黄体期的情况【Cicinelli 2004】
卵巢 - 卵泡
子宫 - 黄体 这句话想表达的是子宫角(Cornual)区域的血供在月经周期的不同阶段(卵泡期和黄体期)会有变化。
输卵管卵巢疾病或手术、巨大肌瘤
更有可能是卵巢组织向子宫肌瘤的供应情况【Pelage】
注射速率
4Fr、5Fr 导管,微导管 不同速度或较慢速度下的栓塞剂注入速率 都可能有影响
|




































