背景因素子宫肌瘤影响了 70% 的生育年龄女性 25% 的女性存在具有临床意义的症状 反复流产的可能原因 子宫肌瘤切除术是保留生育能力的首选治疗方法。但其缺点在于:存在手术相关并发症,住院时间较长。
目前有一种趋势,即倾向于采用非侵入性的方法来替代外科手术干预:
高强度聚焦超声(HIFU) 磁共振引导聚焦超声手术(MRgFUS)
超声引导的聚焦超声手术(USgFUS) 子宫动脉栓塞术(UAE) 射频消融(RF) 磁共振引导下HIFU (MRgFUS)20世纪40年代,Lynn 等人提出了高强度聚焦超声(HIFU)的概念;
“当时这项技术并未得以开发,原因在于其定位不够精准。” 20世纪50年代,Fry 等人证实了这种技术可潜在用于临床实践。 1988 年关于超声波生物效应的研究。 1996 年,在“欧洲声化学学术协会”的第五次研讨会上,首次提出了高强度聚焦超声(HIFU)的生物焦点区域(BFR)这一假说【Wang ZB 1997】。
1998 年,美国食品药品监督管理局(FDA)首次批准了磁共振引导高强度聚焦超声技术——“ExAblate 2000”。 2004 年,美国食品药品监督管理局批准了 ExAblate 2000 用于治疗子宫肌瘤。【Hindley J 2004】 Sonalleve MR HIFU 产品由飞利浦公司生产,该产品已获得 CE 认证。 ![]()
聚焦超声是一种非侵入性技术,它通过对特定组织进行加热来实现对子宫肌瘤的非侵入性治疗。
聚焦超声波是在体外由一个换能器产生的。 声能被目标组织吸收,从而导致温度升高和凝固性坏死。 磁共振引导技术能够提供持续的成像以及实时的温度监测。【Napoli A 2014 Tempany CMC 2003】 技术上可行,没有严重的并发症【Tenpany CMC 2003】 优势
极其精确
局限性实时治疗监测器 完全非侵入式 保留相邻结构 - 并发症发生率低 几不需要全麻也不需要住院 有利于生育(引导分娩方式) Time cost (取决于肌瘤的大小)
患者高度选择性
清醒镇静,尿管置入 MRgFUS 适应症和禁忌症
患者选择与禁忌症 适应症 有症状的肌间子宫肌瘤和浆膜下子宫肌瘤 磁共振诊断标准(个数,位置,大小,可及性accesibility,结构和血管性) 孕育意愿 MRI子宫肌瘤的结构?
可及性 accessibility 在MRgFUS(磁共振引导聚焦超声)治疗子宫肌瘤的语境中,Accessibility 翻译为 “可及性”或“可达性” ,它指的是子宫肌瘤在解剖位置和特性上是否适合被聚焦超声波安全、有效地靶向和治疗。因此,accessibility 是筛选适合MRgFUS治疗患者的首要和核心指标,决定了该项微无创技术能否应用于具体某一位患者。 1. 物理路径的可达性(技术因素)
聚焦超声波需要从体外发射,穿过腹壁各层组织(皮肤、脂肪、肌肉等),最终精确聚焦在肌瘤上。因此,路径上不能有阻碍或高风险结构:
无骨骼遮挡:超声波无法穿透骨骼(如骨盆骨)。如果肌瘤位于超声波束的路径上正好有骨骼(如位于子宫后壁且被骶骨遮挡),则不可及。
安全避开重要器官:超声波路径必须避开或与重要器官(如肠道、膀胱、大神经、手术疤痕)保持安全距离。特别是肠管,如果其位于肌瘤前方且无法通过膀胱充盈或 rectal spacer 等手法推开,则会因为高热损伤风险而导致肌瘤不可及。
2. 肌瘤自身特性的可识别性与可治疗性(肿瘤因素)
在MRI上清晰可见:治疗全程依赖MRI进行精准定位、实时测温和治疗监控。如果肌瘤在MRI上边界不清或信号特征不典型,会影响治疗的准确性。
足够的血液灌注:MRgFUS通过热效应消融组织。血流量过大的肌瘤(富血供肌瘤)会像“散热器”一样将热量带走,导致升温困难,疗效不佳,即 “治疗可及性差”。
组织成分适宜:通常,细胞型或普通型肌瘤(T2加权像呈中等或低信号)消融效果较好。而某些类型的肌瘤,如:
钙化型肌瘤:超声波难以穿透。
囊性变为主的肌瘤:热量不易沉积。
T2高信号的肌瘤(可能细胞密度高或含水量高):有时需要更高能量,且消融边界可能不清晰。这些都会影响治疗的可及性和有效性。
3. 患者因素的可及性(宿主因素)
身体条件:患者体型(如腹壁过厚)可能使超声波能量衰减过多。患者能否在长时间(通常1-4小时)内保持俯卧不动。
医疗禁忌症:如体内有MRI不兼容的金属植入物(心脏起搏器等)、对MRI造影剂严重过敏、怀孕等,会导致治疗完全不可及。
禁忌症 体重:超过 115 公斤 同时患有伴发严重疾病 磁共振成像禁忌症 妊娠 腹部瘢痕(例如剖腹手术) 带蒂肌瘤 为什么需要距皮肤距离<12cm才是适应症MRgFUS(磁共振引导聚焦超声)治疗对于治疗区域有严格的距离限制(通常要求从皮肤到治疗靶点的距离小于12cm),这主要是基于技术可行性和安全性的综合考量。以下是具体原因: 1. 技术限制:能量衰减与聚焦
超声波穿透深度有限:超声波在人体组织中传播时会逐渐衰减(被吸收和散射),随着深度增加,能量会显著下降。若距离过深(>12cm),到达靶点的能量可能不足以产生有效的热消融(通常需要升温至60°C以上)。
聚焦精度下降:深部靶点需要超声波穿过更多不同密度的组织(如脂肪、肌肉、骨骼等),可能导致声束偏移或散焦,影响治疗精确性。
2. 安全性考虑
途经组织损伤风险:超声波路径上的组织(如皮肤、神经、血管、肠管等)可能因能量累积而受损。距离越长,途经结构越多,风险越高。
热沉积效应:深部治疗需要更高能量输入,可能使皮肤和浅层组织过热,增加烧伤风险。临床中常通过皮肤冷却或分次治疗缓解,但深度过大会使这一风险难以控制。
3. 解剖结构的干扰
骨骼遮挡:超声波难以穿透骨骼(如肋骨、骨盆、颅骨),治疗路径需避开骨骼。若靶点过深,可能被骨骼阻挡,导致能量无法到达。
空腔器官风险:腹部或盆腔深部靶点可能靠近肠管等空腔器官,超声波在气体界面会产生强烈反射和产热,易造成穿孔等严重并发症。
4. 磁共振成像(MRI)的限制
成像质量与监测精度:MRI需清晰显示靶点和周围结构以实时监控温度。深部组织的MRI图像可能受运动伪影(如呼吸、肠蠕动)或信号衰减影响,降低温度测量的可靠性。
当前临床应用的典型场景
MRgFUS目前主要应用于相对浅表或中等深度的病灶,例如:
子宫肌瘤:通常位于盆腔,距离皮肤较近(<12cm)。
骨转移瘤疼痛治疗:多用于四肢、骨盆或脊柱的浅表病灶。
特发性震颤:通过颅骨开口治疗,深度可控。
前列腺癌:经直肠或经会阴路径缩短治疗距离。
未来发展方向
| ||||||||||||||||||||||||||||||||||||||||||||||||||||||||||||||||||||||||||||||
![]() |
![]() |
![]() |
![]() |
在开始该程序之前,会先进行手动分割操作。 随后,一款专用软件会自动制定出最佳的治疗方案。
在操作过程中,会进行多次超声波治疗,直至覆盖住足够的子宫肌瘤体积。 每次超声处理持续 20 至 40 秒,每次超声处理之间会有冷却时间(最长可达 90 秒)。 磁共振成像技术中质子共振频率的偏移特性使得能够监测每一个治疗点的温度。
经过治疗后,会进行核磁增强以评估被切除区域的范围。
![]() |
![]() |
| 术前 | 术后 |
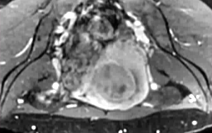
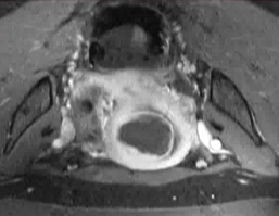
因子宫肌瘤接受磁共振聚焦超声治疗的患者的治疗前后 CE-T1W 磁共振成像图像。 治疗结束后立即进行增强型磁共振成像检查,结果显示存在未灌注区域。
消融区域坏死周边,残留的部分好像不少,会不会是MRgFUS 再干预机会大的原因
![]() |
![]() |

![]() |
![]() |
MRgFUS:疗效数据
在子宫肌瘤可行性研究后【Tempany CMC 2004】,早期研究结果显示:79.3%的接受治疗的女性在随访健康相关生活质量问卷中报告了显著的症状改善,支持了研究假设。:6个月后平均肌瘤体积减少了13.5%,但非增强体积(平均51立方厘米)仍在治疗后的肌瘤内存在【Hindley J 2004】。
单中心研究对252名患有子宫肌瘤的女性,平均年龄42.1岁。所有患者在接受MRgFUS治疗前均进行了MRI检查。治疗后非灌注体积(NPV)、症状严重度评分(SSS)、再干预率、妊娠情况和安全性数据进行分析。结果显示T1.低信号强度的对比增强T1加权脂肪饱和MR图像中的肌瘤NPV比率显著较高。远离脊柱(>3厘米)的肌瘤NPV比率较高。含有分隔、亚膜成分或远离皮肤的肌瘤NPV比率较低(p < 0.001)。NPV超过80%的患者中,超过80%的患者临床成功。再干预率为12.7%,平均随访时间为19.4个月。肌瘤排出(21%)与高临床成功率显著相关。未报告严重不良事件。【Mindjuk Irene 2015】
高强度聚焦超声治疗后的反应率与之相当的子宫肌瘤切除术/子宫切除术比较(OR = 0.64, ) 95% CI 0.30-1.36,р = 0.12)。
术后在干预率与子宫动脉栓塞和子宫肌瘤切除术比较
【Xu F 2021 】

荟萃分析
【Ji Y 2017】


本文报道了一项关于磁共振引导聚焦超声手术(MRgFUS)治疗子宫肌瘤和/或局灶性腺肌症后怀孕结果的研究。研究对象为51名女性,共54次怀孕。这些女性在接受MRgFUS治疗后,部分参与了临床试验,部分接受了商业治疗,还有部分正在尝试怀孕。研究旨在评估MRgFUS治疗对孕妇及其胎儿的影响。
主要观点
研究设计与参与者
-
研究对象:54次怀孕发生在51名女性中,其中8次怀孕是作为临床试验的一部分,26次怀孕是在商业治疗后,20次怀孕发生在尝试怀孕的女性中。
-
患者特征:
-
平均年龄为37.2岁(范围28-49岁),39%的女性在治疗时至少40岁。
-
种族分布:65%为白人,27%为亚洲人,4%为非洲人,2%为其他。
-
平均BMI为23.4,平均有1.3次妊娠史和0.6次分娩史。
-
症状多样,最常见的症状是月经过多(50%),其次是腹压(38%)和不孕(38%)。
-
治疗与怀孕结果
-
治疗情况:
-
大多数女性(45%)有一个肌瘤,37%有2到6个肌瘤,14%有超过6个肌瘤,4%有腺肌症。
-
每位女性平均接受1.4个肌瘤的治疗,75%的女性接受了单次MRgFUS治疗,24%的女性接受了两次治疗。
-
治疗后的平均非灌注体积(NPV)为117 cm³,平均NPV比率为40%以上。
-
-
怀孕结果:
-
41%(22/54)的怀孕以分娩结束,20%(11/54)的怀孕目前仍在继续(超过20周)。
-
13%(7/54)的怀孕选择了人工流产,26%(14/54)发生了自然流产,其中79%发生在孕10周内。
-
从MRgFUS治疗到怀孕的平均时间为8个月。
-
孕期并发症与分娩
-
孕期并发症:
-
常见的孕期并发症包括异常出血(27%)、妊娠糖尿病(14%)和肌瘤生长(9%)。
-
18%的女性在孕期住院,36%没有出现孕期并发症。
-
两名女性出现前置胎盘(9%)。
-
-
分娩特征:
-
93%的分娩为足月分娩,平均孕周为39周。
-
64%的女性进行了阴道分娩,36%进行了剖宫产。
-
平均新生儿体重为3.3 kg,没有低出生体重婴儿。
-
57%的怀孕没有围产期并发症。
-
严重并发症案例
-
严重并发症:
-
最严重的并发症发生在第7号患者的第一次怀孕中,包括产后出血、弥散性血管内凝血(DIC)和急性呼吸窘迫综合征(ARDS),需要重症监护。
-
同一位患者第二次怀孕因前置胎盘住院,最终通过剖宫产顺利分娩。
-
总结
本文通过对51名接受MRgFUS治疗后怀孕的女性的研究,评估了该治疗方法对怀孕结果的影响。研究发现,尽管部分女性在治疗后成功怀孕并分娩,但也存在一定的孕期并发症风险。总体而言,大多数怀孕结果良好,但也有个别严重并发症的发生。研究强调了MRgFUS治疗在特定情况下可能对怀孕安全性的潜在影响,并建议在临床应用中需谨慎考虑患者的具体情况。核心观点是,虽然MRgFUS治疗后怀孕具有可行性,但仍需密切监测和管理可能出现的并发症。
本文是一篇关于磁共振引导聚焦超声手术(MRgFUS)对子宫肌瘤患者生育影响的系统评价。MRgFUS是一种微创技术,自2004年引入以来,用于治疗子宫肌瘤。文章旨在探讨这种治疗方法对患者生育能力和生殖结果的影响。有多项病例系列报告指出,在接受MRgFUS治疗后,患者能够顺利怀孕且无并发症。文章核心观点在于,MRgFUS作为一种微创治疗子宫肌瘤的技术,不仅能够有效改善患者的生活质量和缩小肌瘤体积,而且可能成为希望未来怀孕患者的理想选择。然而,目前的研究结果尚不充分,需要更多的临床数据和长期随访来证实其在生育方面的安全性和有效性。因此,尽管初步结果令人鼓舞,但进一步的研究仍然是必要的。
在 12 个月时,子宫肌瘤的大小有所减小。
直径28.4%
容积 35.9%(按体积计算)
所有接受治疗的患者 子宫肌瘤相关症状显著减轻,
生活质量显著提高
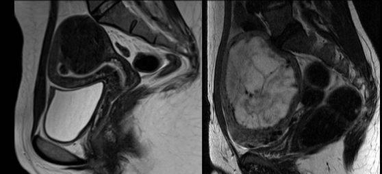
28 岁女性,下腹部疼痛及腹部紧张症状
![]() |
![]() |
| 治疗前后对比 |
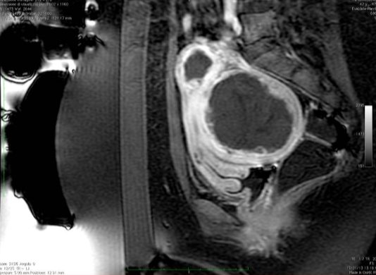
随访
![]() |
| 6个月和12个月随访 |
44岁,患有盆腔疼痛和阴道出血症状
MRgFUS:风险与并发症
不良事件发生率:9.1%
严重不良事件发生率:
重度皮肤烧伤、
肠穿孔、
坐骨神经损伤
现有数据表明,对于希望生育子女的女性而言,磁共振引导聚焦超声治疗是安全的。
在超声引导下进行高强度聚焦超声消融术后的阴道分娩似乎是可行且安全的。
然而,需要进行大规模的随机对照试验,以证明其在这些患者中的疗效优于手术治疗。
高强度聚焦超声技术与其他技术相比的主要不良事件
【Wang Ti 2021】
MRgFUS vs USgFUS
| 特点/特征 | MRgFUS | USgFUS |
| (1)解剖学解分辨率 | √ | × |
| (2)温度监测 | √ | × |
| (3)传感器移动 | × | √ |
| (4)患者体位摆放 | × | √ |
| (5)磁共振成像室与噪音 | × | √ |
| (6)治疗时间 | ×(3 至 4 小时) | √(1 到 2 小时) |
| (7)治疗效率(未灌注体积比率) | × (20%-50%) | √ (80%-90%) |
| (8)治疗费用 | × | √ |
| (9)操作员 | 介入放射科医生 | 妇科医生或受过专业训练的医生 |
结论
磁共振引导聚焦超声疗法为有症状的子宫肌瘤患者提供了一种有效的治疗选择。
MRgFUS 的主要优势在于其非侵入性,这一点与其他局部消融疗法不同。
方法 它不涉及使用穿刺针、探头或电极。
它无需住院治疗,而且可以在门诊环境中进行,这样能让人迅速康复。 正常活动
并发症发生率较低;对于患有子宫疾病的女性来说,这似乎是一种颇具吸引力的治疗选择。
希望怀孕的子宫肌瘤患者 仅在特定患者中,
再次干预的比率高于其他治疗方式。
子宫肌瘤经磁共振灌注成像所得灌注参数对治疗结果的预测:比较灌注区域与非灌注区域的定量分析


























