| 。 消融治疗:通过穿刺针或体外聚焦产生热量损毁病灶。
如何选择与思考选择哪种方案,是一个需要综合考量的问题。你可以从以下几点与医生深入沟通:
总的来说,消融治疗为腹壁子宫内膜异位症提供了一种有价值的治疗新选择,尤其适合那些希望创伤更小、恢复更快的患者。 它并不能完全取代手术,但为个体化治疗提供了更多可能性。最终决定前,建议到经验丰富的医院进行详细评估。 文献趋势![]() 冷冻消融
|
![]() |
![]() |
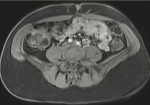
| 腹壁下病变 | MRI引导下 冷冻消融。装有热水的手套在皮肤表面保护皮肤 |
![]() |
![]() |
通常需要三根布针
![]() |
![]() |
隔离
![]() |
![]() |
隔离和布针

![]() |
![]() |
![]() |
|
endomuscular
![]() |
![]() |
![]() |
![]() |
![]() |
![]() |
![]() |

本文报道了一项关于经皮影像引导冷冻消融(Cryoablation, CA)治疗不常见解剖位置的疼痛性子宫内膜异位症病灶的研究。研究目的是评估这种治疗方法在缓解疼痛和相关程序结果方面的效果。
研究目的
- 目标:报告经皮冷冻消融治疗不常见解剖位置疼痛性子宫内膜异位症病灶的镇痛效果和程序相关结果。
材料与方法
-
患者选择:回顾性搜索机构放射学信息系统,共识别出15名患者(中位年龄35.5岁,四分位距33-38岁)。
-
数据收集:收集患者和病变特异性数据、程序信息以及随访信息,并使用描述性统计方法进行分析和呈现。
结果
-
病灶位置:16个疼痛性目标病灶位于脐部(7/16,43.8%)、膈肌(4/16,25.0%)、腹股沟管(3/16,18.8%)和子宫肌肉层(即腺肌症,2/16,12.4%)。
-
病灶大小:目标病灶的最大直径中位数为19毫米(四分位距13-22.3)。
-
镇痛效果:
-
初次完全镇痛率:86.7%(13/15患者)。
-
次级完全镇痛率:93.3%(14/15患者,其中一名患者因复发性疼痛接受了额外的冷冻消融)。
-
-
干预次数:每个病灶仅接受一次干预,共计进行了16次冷冻消融程序。
-
麻醉方式:11次干预在全身麻醉下进行(11/16,68.8%)。
-
影像引导方式:超声和横断面成像(CT或MRI)结合是最常用的影像引导方式(10/16,62.5%)。
-
保护措施:几乎所有干预都需要辅助保护措施,其中水分离术(13/16,81.3%)和水分离术与温盐水填充手套的皮肤保护结合(9/16,56.3%)是最常见的保护措施。
-
并发症:记录到2例(2/16,12.5%)并发症。
结论
- 有效性与安全性:经皮冷冻消融治疗不常见解剖位置的疼痛性子宫内膜异位症病灶似乎是高度有效且安全的。
总结
本文通过回顾性研究,展示了经皮影像引导冷冻消融治疗不常见解剖位置疼痛性子宫内膜异位症病灶的有效性和安全性。研究结果显示,大多数患者在接受冷冻消融后实现了显著的疼痛缓解,且并发症发生率较低。这些发现表明,冷冻消融是一种有前景的治疗方法,尤其适用于传统手术难以到达的病灶位置。核心观点是,该治疗方法不仅能够有效缓解患者的疼痛,而且具有较高的安全性和可行性。
极少的安全余量
采用冷冻循环(功率与持续时间)

随访
![]() |
![]() |
![]() |
![]() |
![]() |
|
![]() |
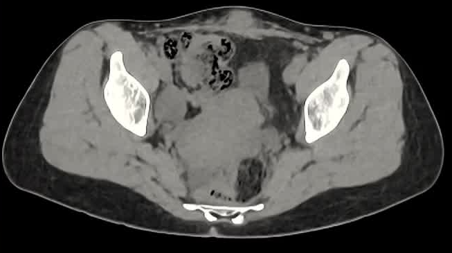
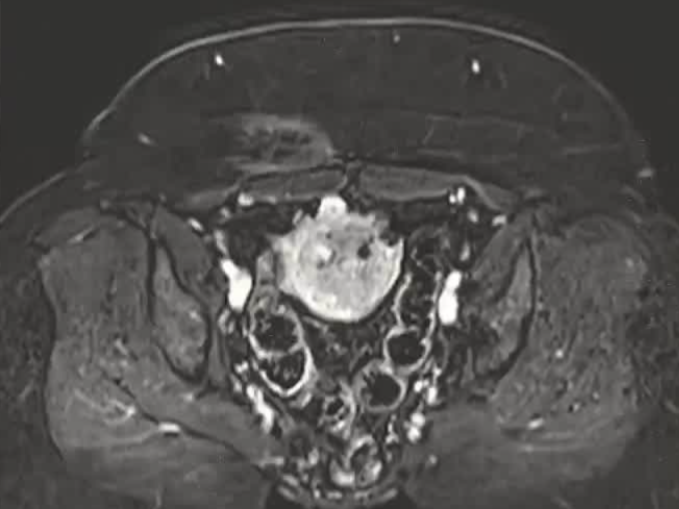
| 12个月后随访 |
结论
对腹壁子宫内膜异位症进行冷冻消融治疗是安全且有效的。
冷冻疗法比手术更安全,且效果同样显著。
浅表性损伤和深层损伤在技术上更具挑战性(防护措施+++)
随访 早期:咨询 + CE-MRI
中期:咨询 +/- CE-MRI





























