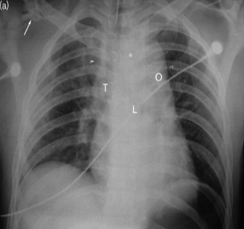
胸片 仰卧位 supine trauma patient ![]() 1. 上纵膈增宽 superior mediastinal outline widening 2. 支气管移位 tracheal deviation
3. 左侧支气管移位 displacement left bronchus
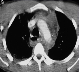
4. 主肺动脉窗消失 obliteration of aorto- pulmonary window.
5. 小肺尖帽 small apical cap.:肺尖帽为肺尖部的帽状病变,常由肺或胸膜纤维化向下牵拉胸膜外脂肪所致,也可能是慢性缺血导致的脏层胸膜透明斑形成的结果。其发生率随年龄增大而升高。也见于主动脉破裂所致血肿或其他位于壁层胸膜外或胸膜腔内的并发感染或肿瘤的积液者。
6. 肋骨骨折 rib fractures
|





