技术上的考虑:How performing UAE for adenomyosis【Lohle et al. 2007;Smeets et al. 2012;Popovic et al. 2011;Chen et al. 2008】
虽然2000年以前子宫腺肌症子宫动脉栓塞的初步结果令人失望,后来的研究表明,大多数接受治疗的子宫腺肌症患者的临床情况得到了实质性改善
导管技术与子宫肌瘤相似,但是血管栓塞的终点应该是完全造影剂停滞【Lohle et al. 2007】
显示没有首选的栓剂使用,然而为了最佳的梗死可能需要栓塞剂深度穿透。栓塞剂 embolic agents:
- 在以前最广泛的应用是非球形的PVA 200-900μm most widely used, non-spherical PVA 255-900 microns.
- 后来用校准微球500-700 calibrated microspheres 500-700 microns.
不同于子宫肌瘤栓塞,子宫腺肌症病变的新生血管要少。
关于子宫腺肌症的栓塞技术:
Kim 设计了一种1-2-3-栓塞方式PVA颗
- 从150 ~ 250μm开始,逐渐增加到250 ~ 355μm和355 ~ 500μm
- 直到完全停滞
在子宫腺肌症中使用微球作为UAE的PVA当量
- 尺寸300 - 500μm直到完全停滞
Kim报告说: 子宫腺肌症暗低信号t2加权MR像是UAE症状改善的有利预测因素,与坏死程度密切相关。
栓塞终点
患者慢性盆腔疼痛曾误诊盆腔瘀血综合征
nsPVA 255 μm ~ 900 μm
Embospheres 300-500-700μm
BeadBlock 700 - 900μm
Embozene 500 - 900μm
子宫腺肌症(纯)栓塞的客观反应率
- 类似于UFE的导管技术,相似栓塞剂,充分子宫动脉水平段停滞作为适当的血管造影栓塞终点
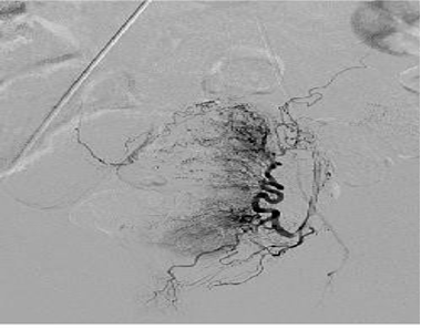
50岁,严重经期出血 栓塞 微球400μm ,每侧2ml,然后改 500μm 每侧1ml
3个月后随访,经期出血减少
| ||||||||||||||||||||||||||||||||||||||||||||||||||||||
























