纵膈活检的选择人工控制气胸辅助 纵膈活检的穿刺路径
返回首页

人工控制气胸:经胸纵膈活检技术

时间:2023-02-08 23:10来源:www.ynjr.net 作者:杨宁介入医学网
经肺入路活检可能面临下列并发症 气胸(危险因素 肺气肿和肺大疱)bullae emphysema 出血(血胸和咯血) 气胸和出血 如何避免这些问题 how to avoid those problems? 控制性气胸诱发肺塌陷是解决经肺纵膈活检的方案之一。人工气胸技术包括超声或透视引导,C


经肺入路活检可能面临下列并发症
  • 气胸(危险因素 肺气肿和肺大疱)bullae emphysema
  • 出血(血胸和咯血)
  • 气胸和出血

如何避免这些问题 how to avoid those problems?

控制性气胸诱发肺塌陷是解决经肺纵膈活检的方案之一。人工气胸技术包括超声或透视引导,CT引导下置6F导管于胸膜腔内,由CT监视下注射600-1600ml 空气产生肺塌陷,活检后经导管再将空气抽出,拔管。



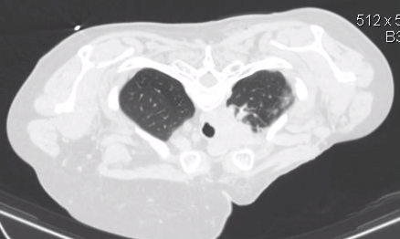
纵膈活检:病变箭头所示  


超声和透视引导胸膜腔定位



     


   

步骤和进针路径
  明胶海绵胶浆胶浆注射预防出血

气胸气体抽出后的CT
   



肺活检






术前影像学引导下胸腔导管置管对可控气胸形成安全有效;可控气胸可防止术后气胸和出血; 对于高危病例,建议采用这种技术



顶一下
(0)
0%
踩一下
(0)
0%
------分隔线----------------------------
  • 上一篇:没有了
  • 下一篇:没有了
推荐内容