Ernest Starling (1894)
正常肝淋巴贡献胸导管30%-40%淋巴流 Normal liver lymph contributes 30-40% of the flow to the TD
每天估计500-800ml Estimate 500-800 ml/day
通过胸导管回到血流的全部人体蛋白40% 40% of total body proteins returned to blood circulation through TD
蛋白丢失综合征的病理生理概念PLE Pathophysiology Concep生理 :
肝产生白蛋白并通过肝淋巴系统释放到血液中
肝淋巴有高浓度蛋白
慢性充血性心衰患者肝内淋巴流显著增加
假设蛋白丢失肠病中的蛋白丢失是由于肝淋巴漏到肠道 Liver Lymph Production
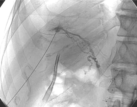
肝淋巴系统解剖
PLE-Leakage Diagram
Itkin, M., et al. (2017). Protein-Losing Enteropathy in Patients With Congenital Heart Disease. Journal of the American College of Cardiology, 69(24), 2929–2937.
蛋白丢失性肠病治疗概念
Guez, D., Nadolski, G. J., Pukenas, B. A., & Itkin, M. (2014). Transhepatic lymphatic embolization of intractable hepatic lymphorrhea. Journal of Vascular and Interventional Radiology :, 25(1), 149–150.
Protein Losing Enteropathy
Liver Lymphangiogram PLE
蛋白丢失性胃肠病栓塞结果 PLE Embolization Outcome
8 patients
3 patients temporary response
3 patients sustained response
363 days (range 84-1005)
2 duodenal bleeding
包括经皮经肝淋巴造影技术,经淋巴结造影技术和磁共振造影技术对于评价淋巴管异常时非常有用的方法
IL, DCMRL, and HL are highly valuable tools in the evaluation of lymphatic abnormalities
胸导管外引流、胸导管支架置入术、淋巴结NBCA注射、经肝淋巴管栓塞术是治疗先天性淋巴发育不良、塑性支气管炎、乳糜性腹水/淋巴囊肿和甘林巴性蛋白丢失肠病的新的有效技术
Thoracic duct externalization, thoracic duct stenting, lymph node glue injection, and transhepatic lymphatic embolization are novel and effective techniques in the treatment of congenital lymphodysplasia, plastic bronchitis, chylous ascites/lymphoceles, and hepatic lymphorrhea/protein-losing enteropathy, respectively
淋巴干预是介入放射学的一个领域,随着对淋巴系统的理解的增加,它将增长对淋巴管系统疾病的认知
Lymphatic interventions is an area of interventional radiology that will grow with increased understanding of the lymphatic system
| ||||||||||||||||||||||||















