淋巴囊肿介入
时间:2020-12-29 21:18来源:未知 作者:Mr.Editor
名词:淋巴囊肿 LYMPHOCELE 定义:无上皮囊包围淋巴的集合 原因:多数由于外科手术/创伤原因 治疗1:手术治疗:开放引流有袋 治疗2: 介入技术:经皮引流(超声,CT,透视引导穿刺) 和注射硬化剂 临床过程: 等待 出现淋巴囊肿或乳糜腹水,首先是希望等待自我
名词:淋巴囊肿 LYMPHOCELE
定义:无上皮囊包围淋巴的集合
原因:多数由于外科手术/创伤原因
治疗1:手术治疗:开放引流有袋
治疗2: 介入技术:经皮引流(超声,CT,透视引导穿刺) 和注射硬化剂
临床过程:
|
|
|
|
等待 |
出现淋巴囊肿或乳糜腹水,首先是希望等待自我吸收,实际上是等待淋巴管坡口的自我愈合 |
|
↓ |
祈祷 |
|
抽吸 |
希望通过穿刺吸尽囊液,促进淋巴漏口的修复 |
|
↓ |
祈祷 |
|
引流 |
希望通过持续导管引流促进淋巴漏口的修复 |
|
↓ |
|
|
等待 |
祈祷淋巴漏口修复 |
|
↓ |
祈祷期间可能由于淋巴管被破坏的广泛,或被破坏的淋巴管流量大 |
|
硬化 |
通过向囊肿内注射硬化剂使间质腔隙囊壁粘连,囊强封闭达到治疗的目的 |
|
↓ |
祈祷可以成功,若不能成功 |
|
再硬化 |
再等待→再硬化→...... |
滑石粉,四环素抗生素,乙醇,Polidocanol,红霉素,OK-432,纤维蛋白胶,聚维酮碘,博莱霉素...。所有的目的都是通过诱导炎症刺激组织表面的纤维粘附,治疗效果从20-85%不等,这种有限性的成功必须坦率的承认。
持续不懈的引流是共识
Continued and unremitting drainage is a recognized issue
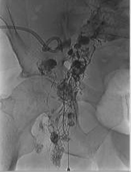
肾移植后淋巴囊肿:在高流量和与淋巴管沟通的情况下,考虑淋巴造影+/-栓塞
 |
 |
|
左前斜位显示有淋巴漏 位于先前经皮引流的治疗盆腔囊肿的旁边。通过导管被注射酒精硬化治疗。 后续超声随访显示,的淋巴囊肿消失。 |
|
------分隔线----------------------------