定义:腹部与盆腔解剖结构相同,根据淋巴漏来源不同称为腹部淋巴漏或盆腔淋巴漏 病因:这些渗出液是由于淋巴管被破坏,实际上是淋巴管被切断,淋巴液渗出形成死腔,间质腔隙内出现液体累积。由此形成的淋巴囊肿常发生在妇科、移植术、血管和任何其它外科手术之后.。也有形成游离的腹腔积液。
入迷腹分为创伤性和非创伤性(先天、恶性相关等)Traumatic and non-traumatic (congenital, malignancy-related etc.) etiologies
外科术后乳糜腹水是最常见原因Post-surgical chylous ascites is most common (up to 1/10 of major abdominal surgeries)
非外科原因预后较差 Non-surgical cause has worse prognosis
随恶性肿瘤和外科手术增加,发病率增加Increasing incidence along with increasing incidence of malignancy and aggressive surgical procedures.
死亡率40-70% Mortality: 40-70%
M. Weniger. Amer J Surg. 2016:211(1);206–213
上游淋巴管渗漏(Upstream lymphatic leakage)是一种严重的并发症,在外科手术后导致胸膜腔渗出或腹部乳糜腹水取决于损伤部位和手术方式,这种并发症可能发生在多达2.5%[【1】。
1. Miao L, Chen H, Xiang J, Zhang Y. Journal of Cancer Research and Clinical Oncology. 2015;141:941–950
保守治疗,包括饮食和不同的药物(例如。 奥曲肽)可能是无效的33-25%的这些患者【2-5】,特别是在高输出淋巴漏。
不在本栏目阐述的非创伤性原因包括炎症/传染病(结核、丝虫病、放射、胰腺炎)、肿瘤(淋巴瘤)、创伤/术后(钝腹部创伤、主动脉手术和腹膜后淋巴结切除术是最常见的原因) 另一个不在本栏目讨论的是儿童乳糜性腹水,它可能与原发性淋巴管发育不全和Sd.Klippel Trenaunay综合征有关。
创伤性乳糜腹水根据引流量,通常首先保守治疗和改善饮食,对于反复发生和高引流量严重病例及早干预
症状和并发症Symptoms and complications
临床过程:
滑石粉,四环素抗生素,乙醇,Polidocanol,红霉素,OK-432,纤维蛋白胶,聚维酮碘,博莱霉素...。所有的目的都是通过诱导炎症刺激组织表面的纤维粘附,治疗效果从20-85%不等,这种有限性的成功必须坦率的承认。 持续不懈的引流是共识Continued and unremitting drainage is a recognized issue 保守治疗Conservative Management 策略 Strategy
缺点 Disadvantages
Bhardwaj R, Journal of clinical and translational hepatology. 2018;6:105-113. Inoue M, Radiographics. 2016;36:2199-2211.
保守治疗,包括饮食和不同的药物(例如。 奥曲肽)可能是无效的33-25%的这些患者【2-5】,特别是在高输出淋巴漏。
2. Milonakis M, Chatzis AC, Giannopoulos NM, Contrafouris C, Bobos D, Kirvassilis GV, Sarris GE. Journal of cardiac surgery. 2009;24:369–373
3. Lorenz K, Abuazab M, Sekulla C, Nguyen-Thanh P, Brauckhoff M, Dralle H. Langenbeck's archives of surgery/Deutsche Gesellschaft fur Chirurgie. 2010;395:911–917
4. Leibovitch I, Mor Y, Golomb J, Ramon J. The Journal of urology. 2002;167:449–457
5. Evans JG, Spiess PE, Kamat AM, Wood CG, Hernandez M, Pettaway CA, Dinney CPN, Pisters LL. Journal of Urology. 2006;176:1463–1467
包括胸导管栓塞术(TDE)在内的经淋巴结淋巴造影(INL)提供了一种微创的治疗方案
外科治疗
Surgical management 适应症 Indication
外科选择 Surgical options
败血症sepsis, 小肠梗阻 small bowel obstruction, 弥漫性血管内凝血DIC 气栓 air embolism etc. 碘油淋巴造影
Oil-based lymphangiography
实施淋巴介入寻求保守及外科治疗以外更为安全有效的方法。首先需要淋巴造影
自从经腹股沟淋巴结注射淋巴造影问世后,由于技术简单,实施病例不断增加Increasingly performed after introduction of inguinal intranodal lymphangiography
栓塞:技术选择
Embolization: technical options
- 漏的位置 Leakage site
- 淋巴管流入道Inflow duct
- 上游淋巴结 Upstream lymph node
- 通过淋巴囊肿导管术 Catheterization through lymphocele sac
- 胸导管逆行性导管术 Retrograde catheterization through thoracic duct
- 经皮经肝淋巴管栓塞Transhepatic embolization
- 经肠系膜栓塞 transmesenteric embolization
- 等 etc
直接穿刺 Direct “needle stick”
直接淋巴漏位置穿刺 Direct puncture of leakage site
直接淋巴漏位置穿刺 Direct puncture of leakage site
病例一女性 31岁,宫颈非典型腺细胞(atypical glandular cells AGC)术后腹胀
引流前和栓塞后 Drainage before and after embolization
- Amount: 4,200 ml → 150 ml
- Color: milky → serous
病例二
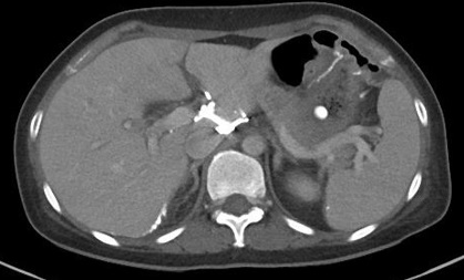
肾癌肾切除后乳糜腹水 Chylous ascites after nephrectomy for renal malignancy
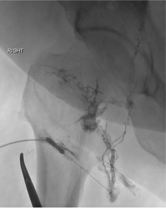
流入淋巴管栓塞
56岁 男性 肾癌根治术后乳糜腹水 | ||||||||||||||||||||||||||||||||||||||||||||||||||||||||||||||||||||||||||||||||||||||||||||||||||||||||||||||||||||||||||||||||||||||||||||||||||||||||||||||||||||||||||
![]() |
![]() |
![]() |
![]() |
![]() |
|
微导管进入囊内
|
胶注射 |
![]() |
![]() |
上游淋巴结栓塞
Upstream lymph node embolization
![]() |
![]() |
|
D5W(Dextrose 5% in water,5%葡萄糖) + NBCA 1:1
|
|
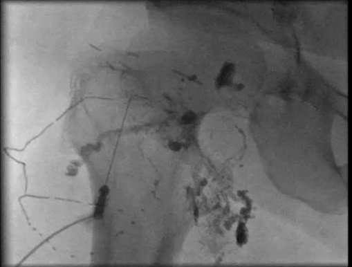
M/47, 结直肠外科术后(腹主动脉旁淋巴结清扫)Chylous ascites after surgery for rectosigmoid cancer (with para-aortic lymphadenectomy)
![]() |
![]() |
![]() |
![]() |
![]() |
![]() |
|
1:6 mixture of NBCA: Lipiodol
|
7 months later
|
病例一
55yo 起搏器导丝滞留>1年,经血管内电极取出失败后,开胸在下腔静脉口剪断。术后出现淋巴囊肿,经皮穿刺引流240ml/8小时,持续5天。后淋巴囊肿无水酒精硬化治疗失败
![]() |
![]() |
经淋巴结穿刺淋巴造影
![]() |
![]() |
![]() |
| 经皮淋巴结穿刺 | 淋巴漏进入淋巴囊肿 | 造影剂进一步扩大外溢 |
![]() |
![]() |
|
1: 4 nBCA 经淋巴结注射.,针道再次进入,证实是否还有漏
|
nBCA也直接注射到淋巴囊肿内
|
3天后漏仍然持续(>400ml/日)
![]() |
![]() |
|
漏没有减少,再次重复淋巴造影。原先周围nBCA仍然可见造影剂,
|
再穿刺两个淋巴结注射nBCA |
1周后漏引流减少,直到完全停止。 重复造影未见囊肿再显影。拔出导管.。3个月后影像学检查未再见囊肿.
基于淋巴漏有许多漏点,可以采取“阶梯方式”
基于淋巴漏有许多漏点,可以采取“阶梯方式”

![]() |
|
J Vasc Interv Radiol 2016; 27:1177–1186
|
Patient Flow
![]() |
|
术后淋巴漏 淋巴造影文献
![]() |
![]() |
![]() |
![]() |
![]() |
Case.1 38 years old / Male
淋巴造影影像
![]() |
![]() |
| 造影剂外溢 | 逆流至引流管 |

淋巴造影8天后淋巴漏确定改善
肾移植术后淋巴漏
Case.5 53 years old / Male
![]() |
![]() |
| 碘油外溢 | 碘油外溢 |

首次淋巴造影术后18天,淋巴漏显著改善
上游淋巴管渗漏(Upstream lymphatic leakage)是一种严重的并发症,在外科手术后导致胸膜腔渗出或腹部乳糜腹水取决于损伤部位和手术方式,这种并发症可能发生在多达2.5%[【1】。
1. Miao L, Chen H, Xiang J, Zhang Y. Journal of Cancer Research and Clinical Oncology. 2015;141:941–950
















持续不懈的引流是共识





























































