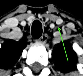
胸导管CT(CT of thoracic duct)
80 Patients
Thoracic Duct (TD) visible:
- Lower segment 81%
- Middle segment 54%
- Upper segment 69%
- Arch of TD 57%
Schnyder, P et al. Eur J Radiol 1983;3:18-23
乳糜池 Cisterna Chyli
胸导管弓
Arch of TD visible in 57%
CT after lymphography
| ||||||||||||||||||||










