淋巴介入成功三步骤( First successful 3 step procedure )![]() ![]()
1. 淋巴造影 Lymphangiography
2. 引导乳糜池穿刺 Guide cisterna chyli puncture
3. 胸导管栓塞 Thoracic duct embolisation
如果淋巴造影发现淋巴漏,最基本的入路有两个
1. 顺行性经皮经腹入路 Anterograde percutaneous transabdominal access
2. 逆行性经锁骨下静脉导管术 Retrograde catheterization from the subclavian vein
顺行性经皮经腹部入路包括 经皮经乳糜池穿刺胸导管入路![]() 胸导管入路 Thoracic Duct Access
胸导管入路技术 Thoracic Duct Access-Technique
![]() 胸导管栓塞最困难之一是胸导管进入 One of the challenging aspects of TDE is TD cannulation
– 靶淋巴管显影是困难度 Difficulty in opacification of lymphatic target
如何改善胸导管栓塞的技术成功率 How to improve the technical success of TDE?
- 婴幼儿很难进入胸导管 In small children it is difficult to access thoracic duct
- 用盐水冲洗 Saline Fllashing
胸导管注射 Lymphatic PB Thoracic Duct Injection
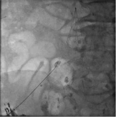
病例报告:食管切除后大量乳糜胸水
患者经右胸腹入路行食管切除术治疗食管癌。术后引流液增加至3000ml/天。进行胸导管栓塞术。经淋巴结穿刺淋巴管造影后,积液清晰可见。
在透视引导下,用21g千叶穿刺乳糜池。 将0.018英寸导丝导入胸导管中,然后插入2.0Fr 微导管沿导丝前进。
乳糜胸淋巴造影
| ||||||||||||||||||||||||||||||||||||||||||||



























