经淋巴结穿刺淋巴造影Intranodal lymphangiography淋巴造影技术分传统淋巴造影技术和新淋巴造影技术。经淋巴结穿刺淋巴造影 Intranodal lymphangiography,是淋巴造影技术的新进展
淋巴造影的意义在于诊断淋巴循环的异常和发现淋巴管入路。
优点1. 穿刺时间短 2. 技术简单 3. 碘油通过快
经淋巴结穿刺造影 Intranodal Lymphangiogram
Nadolski GJ, Itkin M. Feasibility of ultrasound-guided intranodal lymphangiogram for thoracic duct embolization. J Vasc Interv Radiol. 2012
超声引导经淋巴结淋巴造影技术
1. 25G腰麻穿刺针/静脉输液针(25 G spinal needle - IV perfusion needle) 。
标准的穿刺针组件:从25或26G脊随穿刺针上取出内针,通过短连接管连接3ml 聚碳酸酯注射器,并用碘油(ethiodol)冲洗
超声引导的腹股沟淋巴结内造影剂注射,通常用25-27G脊髓穿刺针注射碘油。被注射的碘油通常不稀释,这有助于淋巴管/胸导管形成连续的显影。碘油也有潜在的治疗效果,可以在淋巴管产生硬化和阻塞的效果(50%-75%的成功率)。总剂量不应超过30-30ml,剂量过高有肺栓塞的风险。明确淋巴漏时,可以增加最高剂量,因大部分会从淋巴管漏外溢。
经验认为,加热的碘油可以有助于实现更高的造影剂注入速度 被注射的造影剂也可以用于CT或MR诊断目的水溶性碘造影剂或钆造影剂)
2. 超声引导下双侧腹股沟穿刺(Ultrasound-guided bilateral groin puncture),也可以每侧多个淋巴结注射
超声引导下双侧腹股沟淋巴结的进入是以浅角度、纵向入路淋巴结靶中心,在皮下,针的路径越长,针尖越稳定,越不容易在注射造影剂时从淋巴结脱出,造成造影剂外溢。
Nadolski et al.Feasibility of ultrasound-guided intranodal lymphangiogram for thoracic duct embolization. J Vasc Intervent Radiol 2012
3. 针尖:淋巴结门/过渡区皮质(Needle tip : transition zone cortex/hilum of lymph node)
针固定 Needle fixation
4. 透视下手推缓慢注射(Slow hand injection (0.5 ml Lipiodol / min) under fluoroscopic guidance)
手注碘油,每隔5分钟,注射1ml碘油,每个淋巴结注射总量在3-6mL,注射时,不时透视确认针位。
也可以应用机械和电子注射器注射碘油
NL- Lipiodol injection
5. 一旦碘油到第三腰椎水平,等待碘油自己上升(Progression of Lipiodol up to L3,Wait for spontaneous Lipiodol progression)
如果没有发现乳糜池显影,改注射盐水1ml/5min 病例:乳糜胸
6. 碘油注射总量20-30ml 基于淋巴造影治疗性碘油作用机制 Working mechanism of therapeutic Lipiodol-based lymphangiography - 当碘油外溢时碘油刺激肉芽肿反应 Lipiodol induces granulomatous reactions when extravasating
- Aquous hydrolysis 水水解
- 周围脂肪组织的皂化 saponification of the surrounding fat tissue
Gruber-Rouh et al. Eur J Radiol 2014
Alejandre-Lafont et al. Acta Radiol 2009
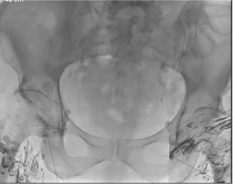
胰腺癌,乳糜腹水
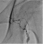
双侧经淋巴结淋巴造影
Rajebi et al, JVIR 2011 and Nadolski, JVIR 2012
![]() ![]() ![]() ![]()
1. 较少技术要求 Less technical demanding
2. 见到胸导管栓塞的时间 Decrease TDE time
3. 减少整个操作的时间 Decrease total procedure time
4. 超声引导下经淋巴结淋巴造影及胸导管栓塞可作为治疗乳糜胸一线方案 US guided IL could broaden TDE as first line treating chylothorax
经皮淋巴造影 Percutaneous Lymphography
足背淋巴造影 88.7% (361/407) ;经淋巴结淋巴造影IL 11.3% (46/407)
![]()
Nabolski et al 2012 Kim et al, JVIR 2015
经淋巴结淋巴造影并发症 IL - complications
| |||||||||||||||||||||||||||||||||||||||||||||||||||||||||||||||||||||||||||||||||||||||||||||||||||||||||||||||||||||||||||||




































































