CARTOCoil-Assisted Retrograde Tranvenous Obliteration(CARTO) 弹簧栓子辅助逆行经静脉阻塞 为什么CARTO?CARTO是治疗孤立性胃底静脉曲张的新技术,也是对BRTO技术的一种改进。应用弹簧栓子+明胶海绵栓塞。为什么不做BRTO,改而做改良的BRTO-CARTO?主要因为BRTO的并发症 ![]()
肉眼血尿 Gross hematuria
肺栓塞 Pulmonary embolism
过敏反应 Anaphylaxis
快速肝功能衰竭Rapid hepatic failure
肾功能衰竭 Renal failure
门静脉血栓 Portal vein thrombosis
肾静脉血栓 Renal vein thrombosis
= 不需要滞留球囊 =不需要硬化剂 =没有血管塞大小的限制 安全性较高,并发症较少 =不用担心硬化剂的外溢 =不用担心肺栓塞 =不用担心肾衰和血尿 总的来说不需要ICU床位,不需要二次介入,操作时间快 ![]() CARTO的术前评估Lee EW et al. Clin Transl Gastroenterol 2014
- 胃静脉曲张 vs 胃食道静脉曲张的鉴别 Gastric varices vs. gastro-esophageal varices
- 胃肾分流和门腔静脉系统的评估 Gastrorenal shunt and portosystemic venous system
- 分流的直径 Shunt diameter
- 腹水/胸水/脾大 Ascites/Hydrothorax/Splenomegaly
- 脾静脉血栓/肝性门静脉高压 Splenic vein thrombosis/Sinistral portal hypertension
CT3期扫描 3-phase liver CT scan
CARTO 技术
STOP when you see the feeding (left, short or posterior gastric veins) gets filled with gelfoam
![]() ![]() CARTO 随访 (Post-CARTO Follow Up)
Post-CARTO complication assessment Side effects of CARTO (Ascites)
Lee EW et al. Clin Transl Gastroenterol 2014
lee EW et al. Clin Transl Gastroenterol 2014
病例一
Understand the shunt and varices!
Best Tip 2
Must completely embolize the varices
病例二
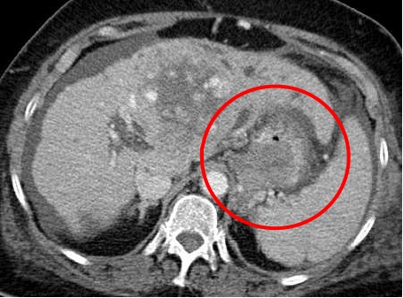
病例三女 67 MELD15 由于肝性脑病多次入院
术后第一天,Ammonia=77;患者的精神症状得到改善(A&Ox3)。术后第三天,Ammonia=60,CT大的胃肾静脉分流完全闭塞,精神状态进一步改善(A&Ox3或4) 术前
术后3天
术后1个月
术后半年
病例四女性54岁,I 型胃静脉曲张,曾消化道出血
术前
术后
弹簧栓子再胃肾分流内
病例五男 68岁 因消化道大出血,CT发现空肠静脉曲张
CARTO can thus be applied to various types of varices
![]() | ||||||||||||||||||||||||||||||||||||||||||||||||||||||||||||||||||||||||||||||||||||||||||||||||||||||||||||||||||||||||||||||

































































