Use of occlusive balloon micro-catheter in trans-arterial chemoembolization has been demonstrated to increase lipiodol deposition within hepatocellular carcinoma【1】 and its safety with drug-eluting embolics [em'bɒlɪk] was recently reviewed【2】.
Exploiting [ɪksp'lɔɪtɪŋ] that data, we prospectively [prəs'pektɪvlɪ] evaluated technical efficacy [ˈefɪkəsi] of balloon micro-catheter assisted drug eluting beads trans-arterial chemoembolization (BDEB-TACE) in the treatment of hepatocellular carcinoma (HCC) in this pilot study.
• No stringent [ˈstrɪndʒənt] 严格的 inclusion criteria was established for this study design, however all the patients fulfilled the criteria for trans-arterial chemoembolization (TACE) in accordance [əˈkɔrdns] with the Barcelona Clinic Liver Cancer (BCLC) guidelines.
• In each case, the common hepatic artery was catheterized [TTS 发音】 with a 5 French selective catheter and the segmental hepatic arterial branch supplying the tumour of interest was selected with an occlusive balloon micro-catheter (OcclusafeR, Terumo).
• Doxorubicin [ˌdɒksə'rubɪsɪn] drug eluting beads (100- 300µ) suspended in iodinated [aɪədɪ'neɪtɪd] contrast were infused into the tumour through the occlusive balloon catheter under fluoroscopic guidance following the measurements ['meʒəmənts] of the segmental arterial stump pressures before and after inflating the balloon.
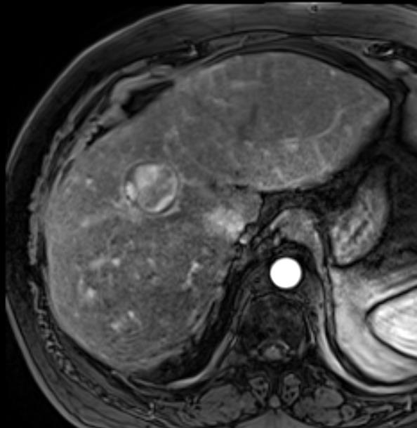
• The Modified Response Evaluation Criteria in Solid [ˈsɑlɪd Tumours (mRECIST) guideline was utilized as a benchmark for interpreting follow-up imaging performed 4-6 weeks after BDEB-TACE.
stump:the end of sth or the part that is left after the main part has been cut, broken off or worn away 残余部分;残根;残段
Initial results by including use of occlusive balloon micro-catheter in DEB-TACE, where there is a significant arterial stump pressure difference showed impressive [ɪmˈpresɪv] radiological responses. However further research is required in this nascent [ˈnæsnt] therapy.
impressive (of things or people 事物或人) making you feel admiration, because they are very large, good, skilful, etc. 令人赞叹的;令人敬佩的 nascent (formal) beginning to exist; not yet fully developed 新生的;萌芽的;未成熟的 1. T. Hatanaka, H. Arai, and S. Kakizaki, Balloon-occluded transcatheter arterial chemoembolization for hepatocellular carcinoma, World J Hepatol. 2018, 27; 10 (7): 485-495
2. P. Lucatelli, L. Corradini, G. De Rubeis, B. Rocco, F. Basilico, A. Cannavale, Balloon-Occluded Transcatheter Arterial Chemoembolization (b-TACE) for Hepatocellular Carcinoma Performed with Polyethylene-Glycol Epirubicin Loaded Drug-Eluting Embolics: Safety and Preliminary Results, Cardiovascular and Interventional Radiology. 2019
|


