Ethylene Vinyl Alcohol
Ethylene Vinyl Alcohol Copolymer (EVOH)
微导管栓塞材料
液体栓塞材料是深度组织穿透材料
Ethylene Vinyl Alcohol Copolymer (EVOH)
EVOH: 不一样的特性 Unique properties• 甚至可能逆血流主动分布 Active distribution even against blood stream possible
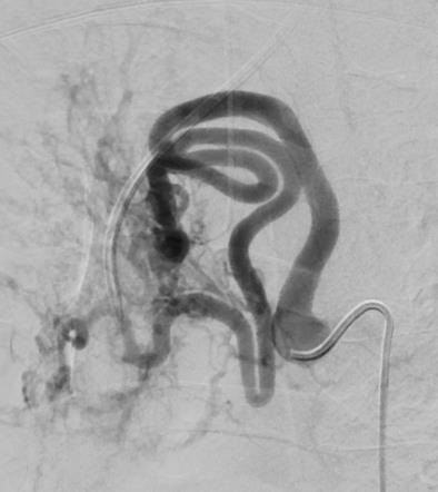
一 和NBCA,酒精血流相关被动分布相反,Onyx 逆血流主动分布 As opposed to passive, flow-related distribution (NBCA, alcohol)
一 可能从动脉到静脉 From transvenous to arteries possible
• “plug & push technique”• DSA下造影剂注射也是血流被动性的 CM-injection in DSA is flow-passive as well ..
一 DSA影像不能完全显示血管解剖 DSA-images may not display the complete angio-anatomy
一 动静脉畸形巢大于DSA所能看见的 AVM nidus is larger than visualised in DSA
AVM nidus is larger than expected in DSA
技术上考虑:technique consideration
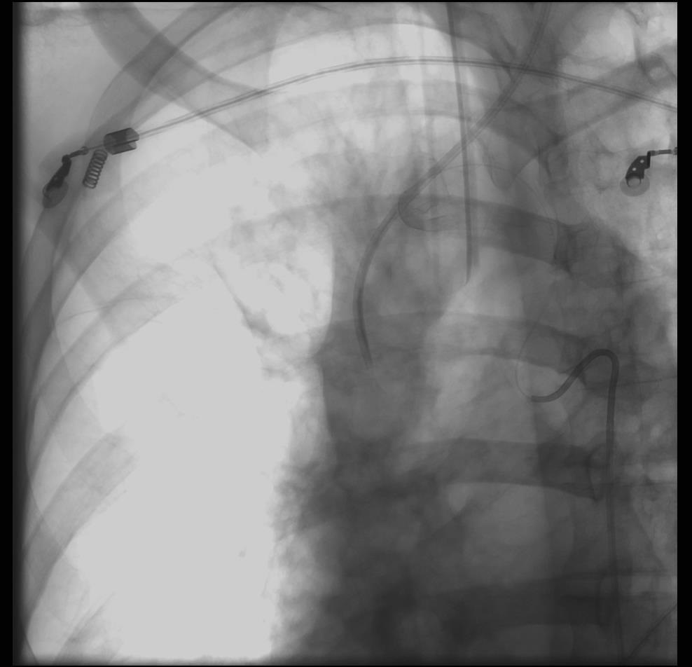
• 经动脉 Transarterial
• Plug & push: 可脱微导管尖 detachable tip microcatheter
• 各种长度 1.5, 2.5, 3, 5 cm
• 0.007 一 0.010微导丝 in micro guidewires
• 引导导管 Guiding Catheter (5 F or 6 F)
• 直接穿刺 Direct puncture
• 套管针直接穿刺 Direct puncture with canula
• 连接管:DMSO 兼容 Connecting tube: DMSO-compatible
• 诊断性动脉造影 Diagnostic transarterial angiography
• 逆行静脉 Retrograde transvenous
• 经静脉血管塞 Transvenous Plug (+/- AVP)
• Push-through to arterial side
Onyx 适应症
神经介入性放射学 Neurointerventional radiology: 动静脉畸形, Galen 静脉瘤,硬脑膜动静脉瘘,急性出血
AVM, V. Galen aneurysm, dAVF, Acute bleeding EVAR后内瘘 ( type II,type I)栓塞 Endoleak embolization after EVAR (type II, type I) 周围血管动静脉畸形栓塞
AVM embolization(body)
术前肿瘤栓塞 preoperative tumor embolization 胆瘘 (bile leakage) 各种其它适应症 Various other indication Onyx 脾动脉栓塞:脾减容术
反流期
总结 EVOH:• 深部组织渗透 Deep tissue penetration
– 有效栓塞,尤其是缺血高度危险的病例 Very effective embolization, includes higher risk of ischaemia
• 特殊技术考虑 Special technical considerations
– 主动血流分布,甚至逆血流分布(血管塞和推进技术)Active distribution, even against the flow (plug & push technique)
• 适应症范围 Broad range of indications
– 急性出血,II型内漏,动静脉畸形,神经介入..Acute bleeding, type-II endoleaks, AVM, Neuroradiology, etc….
![]()
Prof. Dr. Dr. Walter A. Wohlgemuth
Radiology + Interdisciplinary Vascular Anomalies Center, University Medical Center,
Regensburg, Germany
|












































