杨宁介入医学网
网站总站
会员中心
成为会员
论坛交流
首页
资讯
资源区
介入放射学发展史
介入放射学总论
介入医学各论
介入图谱
介入私房菜
读书笔记
关注医改
介入器械厂家和商家
搜索
检索标题
智能模糊
搜索
热门标签
门静脉-体循环静脉瘘
病例1
返回首页
首页
>
介入医学各论
>
周围血管疾病的介入治疗
>
周围血管动脉瘤的介入治疗
>
内脏动脉瘤的介入治疗
>
内脏动脉瘤介入治疗技术
>
把它们排除在外
>
病例1
>
把它们排除在外:肾动脉瘤腹膜支撑架技术
时间:
2019-11-18 23:06
来源:
未知
作者:
Mr.Editor
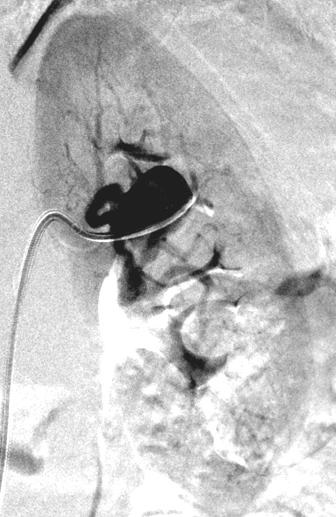
早期弥漫性皮肤系统硬化,手指和面部皮肤增厚。偶然发现肾动脉瘤 治疗技术 技术 - 引导导管在左肾动脉开口 - 将COBRA导管推进到后肾动脉中 - 置换0.35长导丝到远端肾下极动脉 分支痉挛 350mcg 硝酸甘油 右肾下极动脉立即痉挛:硝酸甘油 硝酸甘油部分有效;停
早期弥漫性皮肤系统硬化,手指和面部皮肤增厚。偶然发现肾动脉瘤
治疗技术
技术
- 引导导管在左肾动脉开口
- 将COBRA导管推进到后肾动脉中
- 置换0.35长导丝到远端肾下极动脉
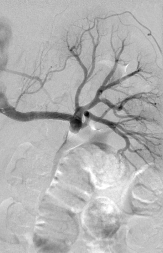
分支痉挛
350mcg 硝酸甘油
右肾下极动脉立即痉挛:硝酸甘油
硝酸甘油部分有效;停止手术?更多的肝素?
5 mm x 22 mm 覆膜支撑架
动脉瘤消失
肾下极血流消失
通过包膜的侧支循环血流
没有内脏动脉瘤逆行充盈
最后一次血管扩张药物后
事后思考
支撑架后疼痛和血压升高
前支内后门弹簧栓子
“Y"型支撑架
平行腹膜支撑架
前支裸支架并在动脉瘤内填充弹簧栓子
多层支撑架
溶栓和更多的硝酸甘油至下极分支
更多的肝素和/或Reopro/Integrlin
随访研究??
- MR增强
- 增强CT
- SPECT肾图
肾动脉瘤破裂很少见,是否该肾动脉瘤真的需要积极的干预?
顶一下
(0)
0%
踩一下
(0)
0%
------分隔线----------------------------
上一篇:没有了
下一篇:没有了
打印
推荐内容
热点内容
把它们排除在外:肾动脉瘤腹膜支
快讯
会讯
药械新知
临床进展
学术动态
最新杂志文章介绍
业界新闻
国内资源站
国外资源站
资料上传区
介入放射学的历史渊源
介入放射学的诞生
现代介入放射学的发展
中国介入放射学的发展史
介入手术分类
介入治疗的临床处置
血管放射解剖学和基本病变
介入放射科医生的临床职责
介入性放射学的管理
血管介入治疗总论
非血管介入治疗总论
肿瘤介入概论
介入治疗的放射防护
介入药房
介入医学经济
循证介入医学
介入手术知情同意书大全
乳腺癌的介入治疗
神经介入放射学
五官科介入医学
脊柱与脊髓
骨骼肌肉系统疾病的介入治疗
心脏疾病介入
大动脉疾病介入治疗
胸/呼吸系统疾病介入
消化介入
泌尿系介入
产科介入
妇科介入
周围血管疾病的介入治疗
淋巴介入
静脉疾病介入治疗
内分泌系统介入放射学
儿科介入
非常介入放射学
经皮腹腔脓肿引流
美容介入放射学
影像引导下疼痛管理
创伤介入
脑血管图谱
心脏图谱
肝胆胰图谱
颈部介入图谱
肺影像
医学摄影
周围血管阻塞性疾病
妇产科介入图谱
输入袢综合症的介入治疗
动静脉畸形
消化道
内脏动脉瘤
膝以下动脉
胆道疾病
妇科
价值医疗
介入放射学现状与展望
介入放射学的规则
我们可以信任的临床指南
肝癌个性化治疗
JVIR影响力
天上掉下来一个区块链
医疗改革历史
社会资本办医
为什么社会资本办医
医保改革
医疗体制
政府医改文件
医改专家观点
公立医院改革
第三方服务
医改论坛
国外介入器械厂家
国内介入器械制造商
中国介入网站名录
国外介入网站名录
互联网+介入
什么是互联网+?
互联网+介入
健康大产业与介入医学的挑战
互联网+ 的思维模式
高端虚拟医院
医生服务公司(医生集团)
互联网医院/互联网医院开发公司
CIREL 临床试验
武汉与世界:2019年10月
悄然而至的病毒
人类历史上大流行病
封城
病毒的来源之争
结语
甲状腺结节临床
甲状腺结节消融
甲状腺动脉栓塞
关于肝癌恶性肿瘤
基础篇(Basic)
我们看到的淋巴细胞是什么?
也谈介入放射学的未来
当需要TIPS,门静脉血栓
下消化道出血栓塞:需要栓塞多远?
关于DIC
PPS
关于介入放射学编码
关于门静脉高压
从天而降的区块链
学术生态与学术批评的类型/特点
HAIC老技术新方法?
究竟谁在蒙着眼狂奔
介入医学伦理
GGO/GGN 消融治疗?
Y90的 COST effect
肝细胞肝癌的临床
肝癌的介入治疗
肝癌靶向治疗与介入
肝癌免疫治疗与介入
肝癌靶免联合治疗
肝癌SIRT
HCC-How I Do it
肝癌治疗的进展