把它们关起来 把它们排除在外 填满它们联合治疗技术
返回首页

内脏动脉瘤联合技术

时间:2019-11-17 07:56来源:未知 作者:Mr.Editor
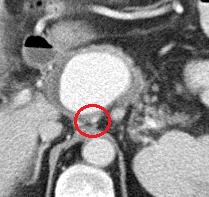
53岁,戒烟者心力衰竭,感染性左心辅助装置(LVAD)被移除,憩室病,胰腺炎,结肠造口术,部分结肠切除术,开放性伤口,3周前心脏移植。近期出现持续增加上腹部疼痛。 胃左动脉起自肝左 动脉瘤的顶 动脉瘤的底 胃左动脉(动脉瘤底) 胃左动脉 胃左动脉 胃左动
53岁,戒烟者·心力衰竭,感染性左心辅助装置(LVAD)被移除,憩室病,胰腺炎,结肠造口术,部分结肠切除术,开放性伤口,3周前心脏移植。近期出现持续增加上腹部疼痛。


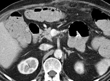
术前CT

   
  胃左动脉起自肝左

 
动脉瘤的顶  
  动脉瘤的底

 
胃左动脉(动脉瘤底) 胃左动脉
胃左动脉 胃左动脉(动脉瘤顶)



 
选择肠系膜上动脉,唯一清楚的是腹腔动脉仅发出胃左动脉,肝脾动脉被阻塞。
 
SMA不受影响,但能为肝和脾动脉提供侧支。
 
不知何故,不知造影剂来自何方,动脉瘤快速充盈,可能来自腹腔动脉-胃左动脉分叉处,可以确定的是在肝脾动脉充盈之前
 
经引导导管造影 经引导导管送入微球囊导管,似乎有帮助,动脉瘤充盈减弱


裸支撑架从腹腔动脉进入胃左动脉 通过裸支撑架网眼进入小囊,用弹簧栓子填塞瘤囊(Jail it)

术后第三天增强CT

动脉瘤仍然充盈,但密度减低,所有血管开放  

再次重复血管造影,寻找假性动脉瘤的通道

用微导管注射,淡淡动脉瘤显影,但微导管尝试进入动脉瘤完败 Chiba针直接穿刺瘤囊


开始注射凝血酶充盈囊腔,注射过程中造影显示所有动脉开放

为了注射更多的凝血酶

仅仅为了保护,置入腹膜支架到原先的裸支撑架  

完胜

   

二次术后复查
第二天:瘤囊内无血流 第三天:无变化 第7天


术后一个多月 术后半年


术后2.8年 术后4年


术后思考
  • 找到肝/脾分叉处的腹腔。
            - 确保漏出不远于肝脾动脉分叉
            - 弹簧栓子栓塞分叉处
  • 一开始就将腹膜支架从近端腹腔动脉置入左胃动脉。
顶一下
(0)
0%
踩一下
(0)
0%
------分隔线----------------------------
  • 上一篇:没有了
  • 下一篇:没有了
推荐内容