因为弹簧栓子栓塞操作,导致患者暂时/永久损害,而需要另外的干预/延长住院时间被称为并发症;操作者需要知道在它们成为潜在的并发症之前如何避免和解决。 弹簧栓子栓塞并发症包括 (1)靶器官缺血 (2)非靶器官栓塞 (3)未到达栓塞目的,如未能止血或再出血 (4)弹簧栓子异位 (5)弹簧栓子移位 (6)血栓/痉挛/夹层 (7)弹簧栓子在导管内崁顿 靶器官缺血,例如肠缺血
在下消化道出血栓塞中 “栓塞足够" 意味着边缘动脉发出的直动脉栓塞。
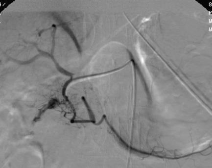
选择不足导致栓塞不足,栓塞不足时导致再出血的发生;栓塞足够往往导致器官出血,操作者需要谨慎的平衡两者。在消化道出血方面,“栓塞足亦(selective enough)” 意味着栓塞终末支的直动脉,甚至直动脉长支或短支的其中一支,最多不能连续超过三支;而上消化道出血对选择性要求相对差,栓塞足够意味着两头堵。 Ongoing bleeding / rebleeding
上消化道出血:需要两头阻塞
脾外伤出血,脾动脉栓塞
|

















