| BONE TUMORS
• 典型病变的基础知识( Basic knowledge of typical lesions )
• 但是有些病例是非典型的 ...
But some cases are atypical…
• 影像分析: XRays, CT, MRI
• 典型技术 (Classic techniques )
• 高质量影像 (High-Quality images)
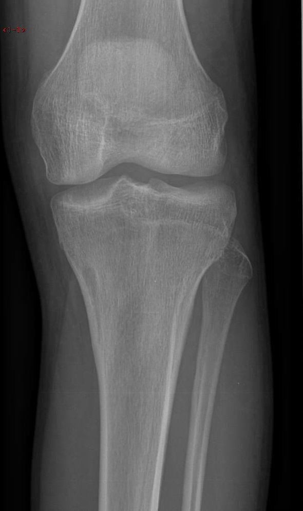
X-RAY ANALYSIS
CT ANALYSIS
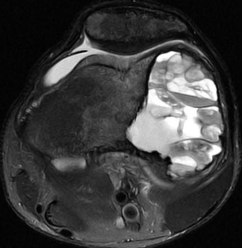
MRI 分析
• 活检、病理和治疗培训团队和相关中心
Reference centers and trained teams for biopsy, pathology, and treatment 分析列表
• 病人年龄 Patient age
• 任何已知的疾病 ?Any known disease ?
• 单独 或 多发 Unique or Multiple
• 骨病变的位置 Skeleton Location
• 边缘 Margins
• 影像矩阵 Matrix
• Periosteal Periosteal Periosteal reaction reaction
|













