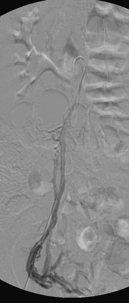
介入联合治疗是指 1. 不同栓塞材料的联合应用 2. 多静脉的联合栓塞 3. 介入治疗+ 不同栓塞材料的联合治疗(E. Aksungur cirse 2015) 1. 器械栓塞 vs 器械栓塞+化学硬化治疗 评价标准:VAS;questioning nine items according to SIR recommendations 结果:双侧栓塞41(45%),左侧栓塞38(42%),右侧栓塞12(13%) Bilateral ovarian vein insufficiency and pelvic varicous veins
总VAS中位值下降35到8(p<0.0001) 随访期间,临床改善 97.9%,剩余2% 临床稳定 机械栓塞 vs 机械+化学硬化 没有显著意义,临床改善 (p=0.87)
疾病相关症状(all disease-specific symptoms)p<0.0001 没有操作相关严重并发症 结论: 血管栓塞对于治疗盆腔充血综合征是安全和有效的治疗方法。当比较联合机械+化学硬化治疗时,尽管缺乏优效性,但在血管内栓塞的治疗选择中,机械性栓塞应该成为优选的方法,因为较短的操作时间和较低的放射剂量。 |




