脓肿位置可能不一样,膈下脓肿,腹腔脓肿,肠间脓肿或者盆腔脓肿的诊断可以通过各种影像学特征来完成。虽然脓腔的CT和超声特征已经阐述清楚,但其他腹腔内液体的聚集,例如血肿,胆汁瘤,囊状淋巴管瘤和囊肿等都应该区分开。而且,既然没有好办法事先确定积液内是否存在感染,不论何时只要有临床可疑时都应改进行穿刺引流。
诊断腹部脓肿最有效并且最常用的两种方法是CT和超声。超声具有便捷,迅速,没有放射,便宜等优点。诊断的准确率和CT相同。可以明确脓肿的大小、部位、深浅度,也可以在B超引导下穿刺进行诊断或引流。但是对于肥胖,肠梗阻,广泛性皮肤外伤/烧伤的病人就不能进行该检查。大多数病人,超声作为首选检查。脓腔典型的超声表现为无回声积液,其内带有一些回声性碎片。但是,根据内容物的不同,一些脓肿可能表现为混合回声或者高回声的病变。根据超声的特点进行脓肿病因的诊断还存在一些困难。
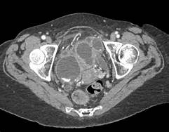
CT不依赖操作者的技术和身体条件能够提供更加标准的信息。当脓腔完全浊化时,诊断的准确率几乎在95%以上。另外,CT还能为经皮穿刺引流提供精确的引导(甚至可以使用透视CT进行实时引导)。当许多人认为当可疑存在腹部脓肿时超声为首选影像学手段时,也有很多人认为CT是性价比最高的影像学检查方法,因为它很高的精确度和特异性。在腹部脓腔探测方面,肠袢间不充分的肠壁模糊是基本要素。
|








