栓塞技术(Embolisation: Technique)
双侧进入( bilateral access)
• Arteries targeted 可能栓塞的血管包括(Embolization in the Treatment of PPH):
– 髂内动脉前组(Anterior division of IIA)
• 子宫动脉(Uterine)
• 阴道动脉(Vaginal)
– 卵巢动脉(Ovarian)
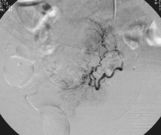
Embolization technique
卵巢动脉
栓塞剂(Embolics)
明胶海绵栓塞
明胶海绵经验性栓塞
明胶海绵经验性栓塞
栓塞与否取决于发现出血的来源(Embolize whether source identified or not!),但大多数病例并不能看到活动性出血(in the majority of cases NO active bleeding is seen!)
明胶海绵是最好的栓塞剂 Gelfoam (torpedos or slurry) preferred embolic。明胶海绵栓塞更接近近端和临时阻塞,就像一个塞子。 Gelfoam for more proximal & temporary occlusion acting like a “plug”
Embolic material
导管(Catheter Types)
• Only one rule…..Whatever works
– C 2: 4 or 5 Fr.
– Regular or glide
– Roberts / Lev / Sos
子宫动脉栓塞使用共轴导管或不适用共轴导管(Co-axial or Not)
• 多种不同导管(Multiple different types)
• 共轴导管室<3.5Fr的微导管与5-6Fr普通导管共轴使用(Co-axial are micro catheters < 3.5 Fr that telescope into larger 5-6 Fr catheters)
• 共轴微导管不能使用直径超过900μm的微粒(Co-axial catheters cannot use larger particle sizes >900um)
• 共轴导管使用明胶海绵会阻塞导管(Co-axial catheters struggle with gelfoam)
• 理论上,微导管栓塞的效果较好(In theory get better embolization)
Micro Co-axial Catheters
产后大出血的表现
|








































