背景介绍 要求未来怀孕的患者,其子宫肌瘤栓塞是相对禁忌症。因为子宫肌瘤栓塞后怀孕有较高的并发症发生率,并伴有产科危险。此类患者通常考虑进行肌瘤切除术。 Walker 等人报告【1】,1200例子宫肌瘤栓塞患者,希望怀孕的108例,其中妊娠56例。成功怀孕为33例,占希望怀孕患者比率30.5%,占妊娠患者的58.9%。早产为6例(18.2%),剖宫产24例(72.7%)。流产患者为17例(30.4%)。 是否可以对子宫肌瘤不完全栓塞而增加怀孕的结果?JOÃO M. PISCO等人进行了研究。172例病人希望栓塞子宫肌瘤后可以继续怀孕,而在此之前没有人能够成功地怀孕。所有病人被告知子宫肌瘤栓塞后有关生育和怀孕的效果并不清楚。 所谓部分栓塞或不完全栓塞是指仅栓塞双侧子宫动脉末梢小血管
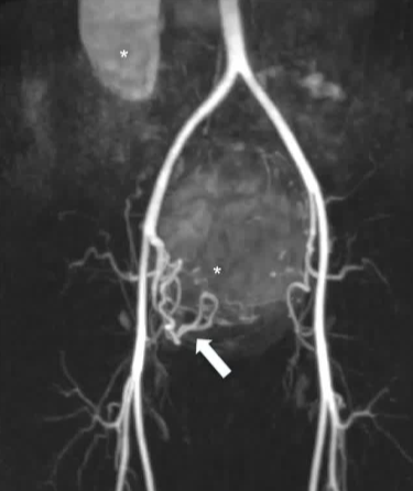
47 岁的 G1P1 女性因持续两年的月经过多症状前来就诊。 症状还包括盆腔痉挛性疼痛、尿频和背痛。妇科病史显示存在一种已知的苗勒管异常(MDA)。按照方案要求进行了盆腔磁共振成像(MR)检查,以评估子宫肌瘤栓塞术(UFE)的情况。检查结果显示为单角子宫,其主导的右侧子宫角存在强化的全层和黏膜下肌瘤,左侧则有一个相通的原始子宫角。 MR 还显示右侧有一个孤立的肾脏,右侧子宫动脉占主导地位,而左侧的子宫动脉和卵巢动脉均无法辨认。 子宫肌瘤被认为是导致月经过多和下腹肿块症状的原因。
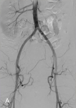
手术通过左侧桡动脉路径进行。 动脉造影显示右侧肾脏为单侧,右侧子宫动脉为单支,且左侧未发育的子宫角未获得明显的动脉供血。 通过一根微导管,使用直径为 500 - 700 微米的标定微球对右侧子宫动脉进行了栓塞,直至达到“修剪后的树状”终点位置。患者当天就出院了。 在三个月的随访中,患者表示所有症状都有所改善。
一例罕见的单角子宫伴症状性肌瘤病例,该病例通过子宫动脉栓塞术(UFE)得到了成功治疗。 在这种情况下,单独的一侧子宫动脉被进行了栓塞处理,取得了良好的临床效果,并没有发生不完全坏死。 虽然有关单侧子宫动脉栓塞术的疗效和效果的研究已有相关报道,但目前尚未有关于单动脉供血子宫肌瘤患者接受 UFE 手术的任何研究报道,此病例证实在左侧子宫动脉缺如的情况下,单纯栓塞右侧子宫动脉也可以达到完全坏死的情况。 1.Walker WJ, McDowell SJ. Pregnancy after uterine artery embolization for leiomyomata: a series of 56 completed pregnancies. Am J Obstet Gynecol. 2006 Nov;195(5):1266-71 | ||||||||||||||||||||||||












